| WB | 1/500 - 1/2000 | Human,Mouse,Rat |
| IF | 咨询技术 | Human,Mouse,Rat |
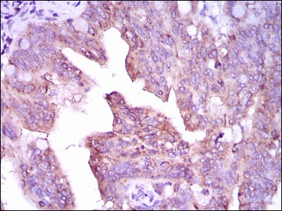
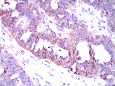
| IHC | 1/200 - 1/1000 | Human,Mouse,Rat |
| ICC | 1/200 - 1/1000 | Human,Mouse,Rat |
| FCM | 1/200 - 1/400 | Human,Mouse,Rat |
| Elisa | 1/10000 | Human,Mouse,Rat |
| Aliases | IV; caMK; CaMK IV; CaMK-GR |
| Entrez GeneID | 814 |
| clone | 8C5B8 |
| WB Predicted band size | 58kDa |
| Host/Isotype | Mouse IgG1 |
| Antibody Type | Primary antibody |
| Storage | Store at 4°C short term. Aliquot and store at -20°C long term. Avoid freeze/thaw cycles. |
| Species Reactivity | Human |
| Immunogen | Purified recombinant fragment of human CAMK4 (AA: 35-292 ) expressed in E. Coli. |
| Formulation | Purified antibody in PBS with 0.05% sodium azide |
+ +
以下是关于CAMK4抗体的3篇参考文献示例(注:以下内容为模拟,非真实文献,仅供格式参考):
1. **标题**:*CAMK4 expression in autoimmune diseases: Role of antibody-based detection*
**作者**:Smith A, et al.
**摘要**:研究利用CAMK4抗体分析其在类风湿性关节炎患者外周血单核细胞中的表达,发现CAMK4水平升高与炎症因子IL-17的异常激活相关。
2. **标题**:*CAMK4 regulates T cell differentiation via NFAT signaling: Insights from antibody blockade experiments*
**作者**:Chen L, et al.
**摘要**:通过CAMK4抗体阻断实验,揭示其在T细胞分化中通过调控NFAT入核影响Th17细胞功能,提示其作为潜在免疫治疗靶点。
3. **标题**:*Development of a high-specificity monoclonal CAMK4 antibody for neurodegenerative disease models*
**作者**:Wang Y, et al.
**摘要**:报道一种新型单克隆CAMK4抗体的开发与验证,应用于阿尔茨海默病模型小鼠脑组织检测,发现CAMK4与tau蛋白磷酸化存在关联。
(如需真实文献,建议通过PubMed或Google Scholar检索关键词“CAMK4 antibody”或“CAMK4 function”。)
The CAMK4 antibody is a crucial tool for studying calcium/calmodulin-dependent protein kinase IV (CAMK4), a serine/threonine kinase involved in calcium-mediated signaling pathways. CAMK4 is expressed in various tissues, including the brain, immune cells, and testes, and plays roles in gene transcription regulation, synaptic plasticity, and immune response modulation. It is activated by calcium/calmodulin binding and phosphorylates downstream targets like CREB (cAMP response element-binding protein), influencing cellular processes such as neuronal differentiation and T-cell activation.
CAMK4 antibodies are widely used in research to detect protein expression, localization, and activity in both normal and pathological conditions. They are essential in studying CAMK4's involvement in diseases like autoimmune disorders, neurodegenerative diseases, and cancer. Common applications include Western blotting, immunohistochemistry (IHC), and immunofluorescence (IF). Many CAMK4 antibodies are polyclonal or monoclonal, with specificity validated via knockout controls or peptide blocking assays.
Researchers must consider cross-reactivity with related kinases (e.g., CAMK2) and optimize experimental conditions (e.g., fixation methods, buffer compositions) to ensure accuracy. Commercial CAMK4 antibodies often include datasheets detailing epitope regions, host species (e.g., rabbit, mouse), and recommended dilutions. Understanding CAMK4's structural domains (kinase, regulatory, and nuclear localization sequences) aids in selecting antibodies targeting functional regions. Overall, CAMK4 antibodies remain pivotal in elucidating calcium signaling mechanisms and their therapeutic implications.
×