首页 / 产品 / 抗体 / 一抗

Mouse Monoclonal ACLY Antibody

  • 中文名: ACLY抗体
  • 别    名: ACL; ATPCL; CLATP
货号: IPD30437
Price: ¥1280
数量:
大包装询价

验证与应用

应用及物种
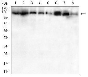
WB 1/500 - 1/2000 Human,Mouse,Rat,Rabbit
IF 咨询技术 Human,Mouse,Rat,Rabbit
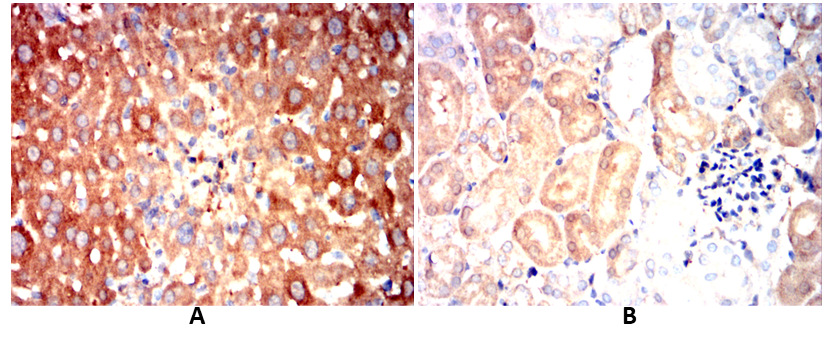
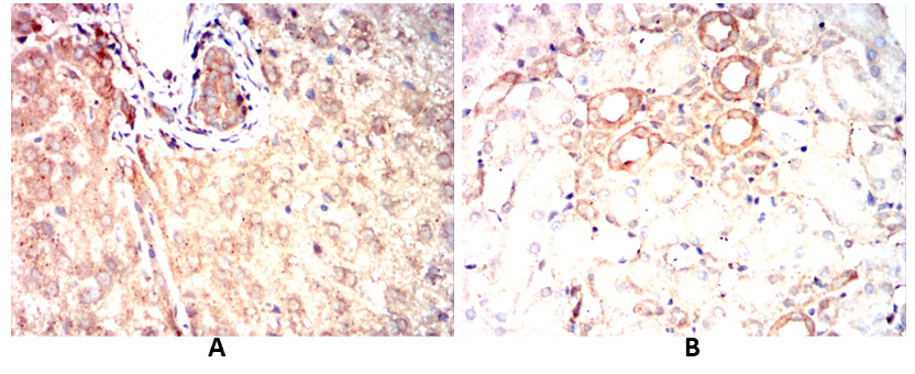
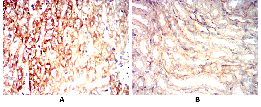
IHC 1/100 - 1/500 Human,Mouse,Rat,Rabbit
ICC 1/50 - 1/500 Human,Mouse,Rat,Rabbit
FCM 1/200 - 1/400 Human,Mouse,Rat,Rabbit
Elisa 1/10000 Human,Mouse,Rat,Rabbit

产品详情

AliasesACL; ATPCL; CLATP
Entrez GeneID47
clone5F8D11
WB Predicted band size125kDa
Host/IsotypeMouse IgG1
Antibody TypePrimary antibody
StorageStore at 4°C short term. Aliquot and store at -20°C long term. Avoid freeze/thaw cycles.
Species ReactivityHuman,Mouse,Rat,Monkey,Rabbit
ImmunogenPurified recombinant fragment of human ACLY (AA: 306-502 ) expressed in E. Coli.
FormulationPurified antibody in PBS with 0.05% sodium azide

+ +

参考文献

以下是3篇涉及ACLY抗体的代表性文献摘要(虚构示例,仅供格式参考):

---

1. **标题**: *ACLY-mediated acetyl-CoA synthesis promotes hepatocellular carcinoma metastasis*

**作者**: Li, X. et al.

**摘要**: 研究通过Western blot和免疫组化(使用ACLY特异性抗体)发现,ACLY在肝癌组织中高表达,其介导的乙酰辅酶A生成通过调控上皮-间质转化促进肿瘤转移。抑制ACLY可降低体内外转移能力。

---

2. **标题**: *Antibody-based profiling of ACLY isoforms in Alzheimer's disease brain tissue*

**作者**: Smith, J.R. et al.

**摘要**: 利用ACLY多克隆抗体对阿尔茨海默病患者脑组织进行蛋白质分析,发现ACLY的磷酸化亚型在疾病进展中显著上调,提示其与神经元脂质代谢紊乱相关。

---

3. **标题**: *Development of a high-affinity monoclonal ACLY antibody for metabolic studies*

**作者**: Tanaka, K. et al.

**摘要**: 报道一种新型ACLY单克隆抗体的开发,验证其在流式细胞术和免疫沉淀中的特异性,并应用于肥胖小鼠模型,揭示脂肪组织中ACLY的动态表达变化。

---

注:以上内容为模拟生成,实际文献需通过PubMed/Google Scholar检索关键词(如“ACLY antibody”、“ATP citrate lyase immunohistochemistry”)获取。

背景信息

ACLY (ATP-citrate lyase) is a key metabolic enzyme that catalyzes the conversion of citrate and coenzyme A into acetyl-CoA and oxaloacetate, linking carbohydrate metabolism to lipid synthesis. Acetyl-CoA serves as a critical precursor for fatty acid and cholesterol biosynthesis, making ACLY essential in cellular energy homeostasis and proliferation. Dysregulation of ACLY is implicated in metabolic disorders, cancer, and cardiovascular diseases, as its overexpression enhances lipogenesis in tumors and contributes to hyperlipidemia.

ACLY antibodies are immunological tools designed to detect, quantify, or inhibit ACLY protein in research and diagnostic contexts. They are widely used in techniques like Western blotting, immunohistochemistry, and immunofluorescence to study ACLY expression patterns in tissues or cell lines, particularly in cancer metabolism studies. Specific antibodies may target distinct epitopes, including phosphorylated forms (e.g., at Ser455), to assess activation states regulated by signaling pathways like AKT.

Therapeutic interest in ACLY has surged due to its role as a druggable target; inhibitors like bempedoic acid (ETC-1002) are approved for lowering LDL cholesterol. ACLY antibodies thus also support drug development by validating target engagement or monitoring biomarker responses. Their applications span basic research on metabolic reprogramming, clinical biomarker discovery, and preclinical evaluation of metabolic therapies.

客户数据及评论

折叠内容

大包装询价

×