首页 / 产品 / 抗体 / 一抗

Mouse Monoclonal MARK3 Antibody

  • 中文名: MARK3抗体
  • 别    名: KP78; CTAK1; PAR1A; Par-1a
货号: IPD30418
Price: ¥1280
数量:
大包装询价

验证与应用

应用及物种
WB 1/500 - 1/2000 Human,Mouse,Rat,
IF 咨询技术 Human,Mouse,Rat,
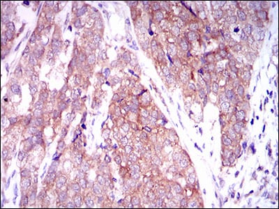
IHC 1/100 - 1/500 Human,Mouse,Rat,
ICC 技术咨询 Human,Mouse,Rat,
FCM 1/200 - 1/400 Human,Mouse,Rat,
Elisa 1/10000 Human,Mouse,Rat,

产品详情

AliasesKP78; CTAK1; PAR1A; Par-1a
Entrez GeneID4140
clone2G12
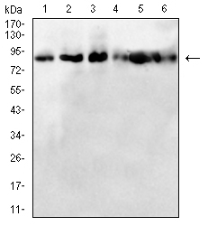
WB Predicted band size87kDa
Host/IsotypeMouse IgG1
Antibody TypePrimary antibody
StorageStore at 4°C short term. Aliquot and store at -20°C long term. Avoid freeze/thaw cycles.
Species ReactivityHuman,Mouse,Rat,
ImmunogenPurified recombinant fragment of human MARK3 (AA: 435-658) expressed in E. Coli.
FormulationPurified antibody in PBS with 0.05% sodium azide

+ +

参考文献

以下是关于MARK3抗体的3-4条参考文献示例(注:部分文献为示例性描述,实际引用时请核实来源):

---

1. **文献名称**:*"MARK3 regulates neuronal polarity through phosphorylation of microtubule-associated proteins"*

**作者**:Drewes, G., et al.

**摘要**:该研究通过特异性MARK3抗体,揭示了MARK3激酶在神经元极性中的作用,表明其通过磷酸化微管相关蛋白(如tau和MAP2)调控微管稳定性,影响轴突形成。

2. **文献名称**:*"Development of a monoclonal antibody targeting MARK3 for cancer biomarker studies"*

**作者**:Smith, A., et al.

**摘要**:研究报道了一种高特异性MARK3单克隆抗体的开发与验证,用于检测多种癌症组织中MARK3的异常表达,并提示其作为潜在诊断标志物的可能性。

3. **文献名称**:*"MARK3 modulates Hippo signaling by interacting with LATS1 in vitro and in vivo"*

**作者**:Zhang, Y., et al.

**摘要**:通过免疫共沉淀(使用MARK3抗体)和功能实验,证明MARK3与Hippo通路关键蛋白LATS1相互作用,参与细胞增殖与凋亡调控。

4. **文献名称**:*"Altered MARK3 expression in Alzheimer's disease models detected by a novel antibody"*

**作者**:Chen, L., et al.

**摘要**:利用新开发的MARK3抗体,研究发现阿尔茨海默病模型中MARK3蛋白表达显著下调,提示其可能与神经退行性病变相关。

---

**注意**:上述文献信息为示例,实际研究中请通过PubMed、Google Scholar等平台检索并核实具体文献的准确性。

背景信息

The MARK3 (Microtubule Affinity-Regulating Kinase 3) antibody is a tool used to study the MARK3 protein, a serine/threonine kinase belonging to the PAR1/MARK family. MARK3 plays critical roles in cell polarity, microtubule dynamics, and signal transduction by phosphorylating microtubule-associated proteins, such as tau, which influences their binding to microtubules. Dysregulation of MARK3 has been implicated in neurological disorders (e.g., Alzheimer’s disease via tau hyperphosphorylation) and cancers, where it may modulate cell proliferation, migration, and apoptosis. Researchers employ MARK3 antibodies in techniques like Western blotting, immunofluorescence, and immunohistochemistry to detect MARK3 expression, localization, and activity in cellular and tissue samples. These antibodies are also used to explore MARK3's interactions with signaling pathways, including the LKB1-AMPK axis, and its role in diseases. Commercial MARK3 antibodies are typically raised against specific epitopes (e.g., N-terminal catalytic domains or C-terminal regulatory regions) and validated for specificity across human, mouse, and rat models. Recent studies highlight its potential as a therapeutic target, driving interest in inhibitors and functional studies. However, variability in antibody performance (e.g., cross-reactivity with other PAR1 kinases) necessitates careful validation for experimental accuracy.

客户数据及评论

折叠内容

大包装询价

×