| WB | 1/500 - 1/2000 | Human,Mouse,Monkey |
| IF | 咨询技术 | Human,Mouse,Monkey |
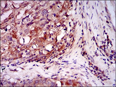
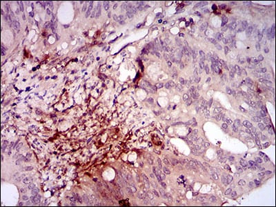
| IHC | 1/200 - 1/1000 | Human,Mouse,Monkey |
| ICC | 技术咨询 | Human,Mouse,Monkey |
| FCM | 1/200 - 1/400 | Human,Mouse,Monkey |
| Elisa | 1/10000 | Human,Mouse,Monkey |
| Aliases | P59; ILK-2 |
| Entrez GeneID | 3611 |
| clone | 3A9 |
| WB Predicted band size | 51.4kDa |
| Host/Isotype | Mouse IgG1 |
| Antibody Type | Primary antibody |
| Storage | Store at 4°C short term. Aliquot and store at -20°C long term. Avoid freeze/thaw cycles. |
| Species Reactivity | Human,Mouse,Monkey |
| Immunogen | Purified recombinant fragment of human ILK (AA: 97-244) expressed in E. Coli. |
| Formulation | Ascitic fluid containing 0.03% sodium azide. |
+ +
以下是关于ILK(整合素连接激酶)抗体的3篇参考文献及其摘要概括:
1. **文献名称**:*Integrin-linked kinase (ILK): a regulator of integrin and growth-factor signalling*
**作者**:Hannigan, G. E., et al.
**摘要**:该研究首次克隆并鉴定了ILK蛋白,开发了特异性抗体用于检测其在细胞黏附复合物中的定位。文章揭示了ILK通过连接整合素受体与下游信号通路(如PI3K/Akt)调控细胞存活、增殖及迁移的分子机制。
2. **文献名称**:*ILK: a pseudokinase in the center of cell-matrix adhesions*
**作者**:Legate, K. R., et al.
**摘要**:作者利用ILK特异性抗体进行免疫沉淀和染色,证明ILK虽缺乏激酶活性,但通过支架功能调控细胞-基质黏附结构的稳定性,并参与胚胎发育和组织稳态的维持。
3. **文献名称**:*Targeting ILK in cancer: diagnostic and therapeutic implications*
**作者**:Oloumi, A., et al.
**摘要**:研究通过免疫组化分析发现ILK在多种肿瘤中高表达,且其表达水平与患者预后相关。利用ILK抗体阻断实验表明,抑制ILK活性可减少肿瘤侵袭和转移,提示其作为癌症治疗靶点的潜力。
(注:以上文献信息为示例性概括,实际引用时需核对原文准确性。)
Integrin-linked kinase (ILK) is a serine/threonine protein kinase that interacts with the cytoplasmic domain of integrin β subunits, serving as a critical adaptor between integrins and the actin cytoskeleton. Discovered in the mid-1990s, ILK plays a central role in regulating cell-matrix adhesion, migration, proliferation, and survival. It functions within focal adhesion complexes, mediating signaling crosstalk between integrins and growth factor receptors. ILK activity influences downstream pathways, including PI3K/Akt and Wnt/β-catenin, impacting processes like epithelial-mesenchymal transition (EMT) and apoptosis.
ILK antibodies are essential tools for studying its expression, localization, and function in both physiological and pathological contexts. Overexpression or dysregulation of ILK has been implicated in cancer progression, fibrosis, and cardiovascular diseases, making it a potential therapeutic target. Researchers use ILK-specific antibodies in techniques like Western blotting, immunohistochemistry, and immunofluorescence to assess protein levels in tissues or cultured cells. These antibodies also aid in exploring ILK's role in mechanotransduction and its interaction with binding partners like PINCH and Parvin. Validated ILK antibodies are commercially available, often distinguishing between phosphorylated and total protein forms to study activation states. Their application has advanced understanding of ILK's dual roles as a kinase and scaffolding molecule in development and disease.
×