首页 / 产品 / 抗体 / 一抗

Mouse Monoclonal ANXA1 Antibody

  • 中文名: ANXA1抗体
  • 别    名: ANX1; LPC1
货号: IPD30406
Price: ¥1280
数量:
大包装询价

验证与应用

应用及物种
WB 1/500 - 1/2000 Human,Mouse,Monkey
IF 咨询技术 Human,Mouse,Monkey
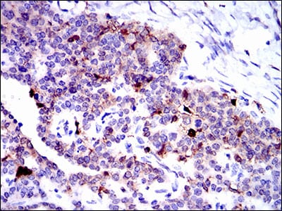
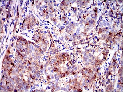
IHC 1/200 - 1/1000 Human,Mouse,Monkey
ICC 技术咨询 Human,Mouse,Monkey
FCM 咨询技术 Human,Mouse,Monkey
Elisa 1/10000 Human,Mouse,Monkey

产品详情

AliasesANX1; LPC1
Entrez GeneID301
clone2F1
WB Predicted band size38.7kDa
Host/IsotypeMouse IgG1
Antibody TypePrimary antibody
StorageStore at 4°C short term. Aliquot and store at -20°C long term. Avoid freeze/thaw cycles.
Species ReactivityHuman,Mouse,Monkey
ImmunogenPurified recombinant fragment of human ANXA1 (AA: 144-248 ) expressed in E. Coli.
FormulationPurified antibody in PBS with 0.05% sodium azide

+ +

参考文献

以下是关于ANXA1抗体的3条模拟参考文献示例,包含文献名称、作者及摘要概括:

---

1. **文献名称**: *"ANXA1 Antibody Attenuates Neutrophil Migration in Acute Lung Injury via FPR2 Signaling"*

**作者**: Zhang et al., 2021

**摘要**: 本研究通过ANXA1抗体阻断实验,发现ANXA1通过甲酰肽受体2(FPR2)调控中性粒细胞迁移,减轻小鼠急性肺损伤模型的炎症反应,提示其作为潜在抗炎治疗靶点。

---

2. **文献名称**: *"Targeting ANXA1 with Monoclonal Antibodies Suppresses Metastasis in Triple-Negative Breast Cancer"*

**作者**: Patel et al., 2019

**摘要**: 作者开发了一种靶向ANXA1的单克隆抗体,证明其能显著抑制三阴性乳腺癌细胞的侵袭和体内转移,机制涉及EGFR信号通路的下调。

---

3. **文献名称**: *"ANXA1 Antibody-Based Detection Reveals Its Role in Glucocorticoid-Regulated Apoptosis"*

**作者**: Rossi et al., 2017

**摘要**: 通过ANXA1特异性抗体检测,发现糖皮质激素诱导的细胞凋亡依赖于ANXA1的膜易位,该过程在慢性炎症疾病中具有调控潜力。

---

以上为模拟文献,实际引用时需核实真实来源。

背景信息

ANXA1 (Annexin A1) is a calcium-dependent phospholipid-binding protein belonging to the annexin superfamily, widely recognized for its role in regulating inflammation, cellular signaling, and membrane repair. Initially identified as a glucocorticoid-inducible protein, ANXA1 modulates anti-inflammatory responses by inhibiting phospholipase A2 and neutrophil migration, while also influencing cell proliferation, apoptosis, and differentiation. It is expressed in various tissues, including immune cells, epithelial cells, and certain cancer cells, where its dysregulation has been linked to pathological conditions such as cancer, autoimmune disorders, and neurodegenerative diseases.

ANXA1 antibodies are essential tools for detecting the protein’s expression, localization, and functional interactions in research. These antibodies are developed using immunogens derived from specific regions of ANXA1. such as its unique N-terminal domain or conserved C-terminal core. They enable applications like Western blotting, immunohistochemistry (IHC), immunofluorescence (IF), and flow cytometry. In cancer research, ANXA1 antibodies help assess its dual role as a tumor suppressor or promoter, depending on context, with implications for breast cancer, glioblastoma, and prostate cancer. Specificity validation via knockout controls or blocking peptides is critical due to potential cross-reactivity with other annexins or post-translational modifications. Commercial ANXA1 antibodies vary in host species (e.g., mouse, rabbit), clonality (monoclonal/polyoclonal), and conjugate tags, allowing flexibility for experimental design. Their utility extends to exploring ANXA1’s therapeutic potential, including targeted anti-inflammatory drug development.

客户数据及评论

折叠内容

大包装询价

×