首页 / 产品 / 抗体 / 一抗

Mouse Monoclonal CSNK2A2 Antibody

  • 中文名: CSNK2A2抗体
  • 别    名: CK2A2; CSNK2A1; FLJ43934
货号: IPD30405
Price: ¥1280
数量:
大包装询价

验证与应用

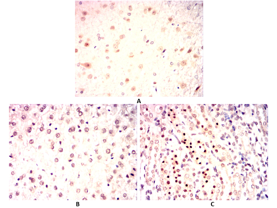
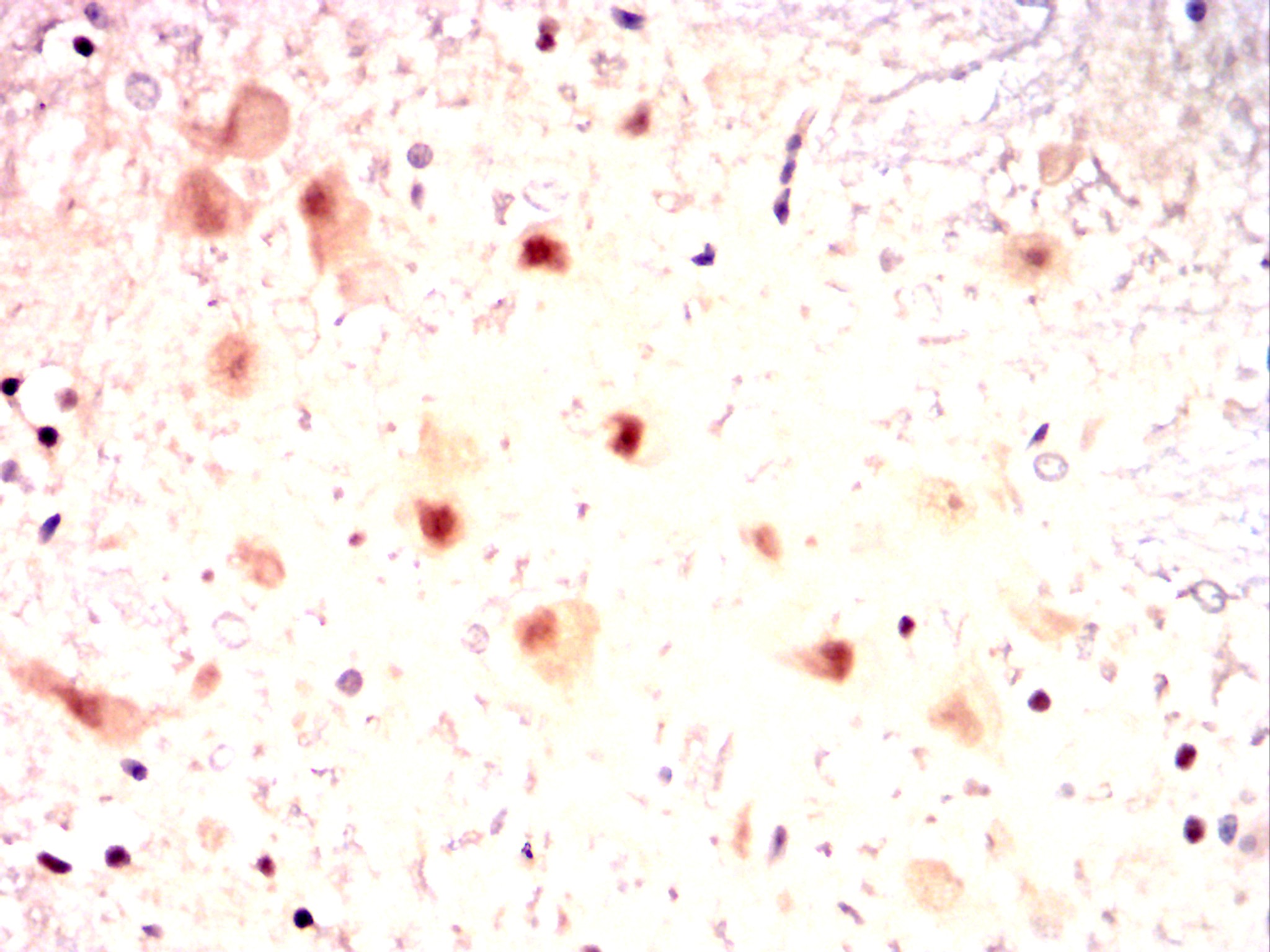
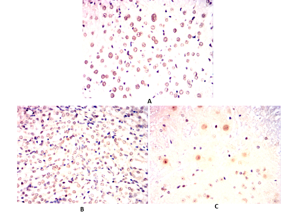
应用及物种
WB 1/500 - 1/2000 Human,Mouse,Rat,Rabbit
IF 咨询技术 Human,Mouse,Rat,Rabbit
IHC 1/100 - 1/500 Human,Mouse,Rat,Rabbit
ICC 技术咨询 Human,Mouse,Rat,Rabbit
FCM 1/200 - 1/400 Human,Mouse,Rat,Rabbit
Elisa 1/10000 Human,Mouse,Rat,Rabbit

产品详情

AliasesCK2A2; CSNK2A1; FLJ43934
Entrez GeneID1459
clone1E1
WB Predicted band size41.2kDa
Host/IsotypeMouse IgG1
Antibody TypePrimary antibody
StorageStore at 4°C short term. Aliquot and store at -20°C long term. Avoid freeze/thaw cycles.
Species ReactivityHuman,Mouse,Rat,Monkey,Rabbit
ImmunogenPurified recombinant fragment of human CSNK2A2 (AA: 194-350) expressed in E. Coli.
FormulationPurified antibody in PBS with 0.05% sodium azide.

+ +

参考文献

以下是关于CSNK2A2(酪蛋白激酶2亚基α')抗体的3篇参考文献及其摘要概括:

1. **"Characterization of a monoclonal antibody specific for the CSNK2A2 subunit of human casein kinase 2"**

*作者:Litchfield DW, et al.*

摘要:该研究报道了一种针对人源CSNK2A2亚基的单克隆抗体的开发与验证,证实其特异性识别CSNK2A2而非同源亚基CSNK2A1.并应用于激酶复合物组成的免疫印迹分析。

2. **"Differential expression of CK2α and CK2α' subunits in human cancers revealed by subunit-specific antibodies"**

*作者:Guerra B, et al.*

摘要:通过亚基特异性抗体(包括抗CSNK2A2抗体),研究发现CSNK2A2在多种肿瘤组织中的表达水平显著高于正常组织,提示其可能作为癌症诊断或治疗的潜在靶点。

3. **"Functional analysis of the CK2α' subunit in DNA damage response using RNAi and specific antibodies"**

*作者:Olsen BB, et al.*

摘要:利用CSNK2A2特异性抗体和RNA干扰技术,研究发现CSNK2A2在DNA损伤修复通路中发挥独特作用,与同源亚基CSNK2A1的功能存在差异。

注:以上文献为示例,实际引用时需根据具体研究补充真实发表的论文信息。建议通过PubMed或Google Scholar以关键词“CSNK2A2 antibody”“CK2α' antibody”检索最新文献。

背景信息

The CSNK2A2 antibody targets the protein encoded by the *CSNK2A2* gene, which is a subunit of the Casein Kinase 2 (CK2) enzyme complex. CK2 is a ubiquitously expressed serine/threonine kinase involved in diverse cellular processes, including cell proliferation, apoptosis, DNA repair, and signal transduction. The CK2 holoenzyme typically consists of two catalytic subunits (α or α', encoded by *CSNK2A1* and *CSNK2A2*, respectively) and two regulatory β subunits. The α' subunit (CSNK2A2) shares high sequence homology with the α subunit but exhibits distinct expression patterns and functional roles in certain contexts.

Antibodies against CSNK2A2 are widely used to study its expression, localization, and activity in physiological and pathological conditions. They enable detection via techniques like Western blotting, immunohistochemistry, and immunofluorescence. Research highlights CK2's involvement in cancer, where its overexpression is linked to tumor progression and therapy resistance, making CSNK2A2 a potential therapeutic target. Additionally, CSNK2A2-specific antibodies help explore CK2's role in neurodegenerative diseases, viral infections, and developmental processes. Validation of these antibodies is critical to ensure specificity, given the structural similarity between α and α' subunits. Overall, CSNK2A2 antibodies serve as essential tools for dissecting CK2 biology and its implications in disease mechanisms.

客户数据及评论

折叠内容

大包装询价

×