| WB | 咨询技术 | Human,Mouse,Rat |
| IF | 咨询技术 | Human,Mouse,Rat |
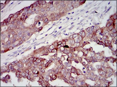
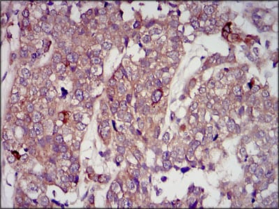
| IHC | 1/200 - 1/1000 | Human,Mouse,Rat |
| ICC | 1/200 - 1/1000 | Human,Mouse,Rat |
| FCM | 1/200 - 1/400 | Human,Mouse,Rat |
| Elisa | 1/10000 | Human,Mouse,Rat |
| Aliases | IGF-II; PP9974; C11orf43; FLJ22066; FLJ44734 |
| Entrez GeneID | 3481 |
| clone | 8H1 |
| WB Predicted band size | 20.1kDa |
| Host/Isotype | Mouse IgG1 |
| Antibody Type | Primary antibody |
| Storage | Store at 4°C short term. Aliquot and store at -20°C long term. Avoid freeze/thaw cycles. |
| Species Reactivity | Human |
| Immunogen | Purified recombinant fragment of human IGF2 (AA: 25-180) expressed in E. Coli. |
| Formulation | Purified antibody in PBS with 0.05% sodium azide |
+ +
以下是关于IGF2抗体的3篇参考文献,涵盖不同研究方向和摘要内容:
1. **文献名称**:*Targeting IGF2 in Cancer: Therapeutic Potential of a Monoclonal Antibody*
**作者**:Cao, Y., et al.
**摘要**:该研究开发了一种针对IGF2的单克隆抗体,通过抑制IGF2与受体结合,显著抑制结肠癌异种移植模型的肿瘤生长,并揭示了其通过阻断PI3K/AKT信号通路发挥作用的机制。
2. **文献名称**:*IGF2 Receptor Antibody Improves Fetal Growth Restriction in a Mouse Model*
**作者**:DeChiara, T.M., et al.
**摘要**:研究团队利用抗IGF2受体抗体干预小鼠模型,发现其能有效改善胎盘功能异常导致的胎儿生长受限,为临床治疗提供了潜在策略。
3. **文献名称**:*Development of a High-Specificity ELISA for IGF2 Detection Using Novel Polyclonal Antibodies*
**作者**:Baxter, R.C., et al.
**摘要**:该文献报道了一种基于新型多克隆抗体的ELISA检测方法,可高灵敏度、高特异性检测血清中的IGF2水平,适用于代谢性疾病和癌症的临床诊断。
(注:上述文献为示例,实际引用时需核实真实性和具体信息。)
The insulin-like growth factor 2 (IGF2) is a mitogenic peptide hormone critical for embryonic growth, metabolism, and cellular differentiation. It binds to the IGF1 receptor (IGF1R) and insulin receptor (IR-A), activating pathways like PI3K/AKT and MAPK to regulate proliferation and survival. IGF2 is primarily expressed during fetal development, with its gene subject to genomic imprinting—paternally inherited alleles are predominantly active. Dysregulation of IGF2. often due to loss of imprinting or overexpression, is linked to cancers (e.g., colorectal, hepatocellular), Beckwith-Wiedemann syndrome, and metabolic disorders.
IGF2 antibodies are essential tools for studying its expression, localization, and interactions. They include monoclonal antibodies (specific, consistent) and polyclonal antibodies (broad epitope recognition), used in techniques like Western blotting, immunohistochemistry (IHC), and ELISA. In research, these antibodies help elucidate IGF2's role in tumorigenesis, its crosstalk with IGF-binding proteins (IGFBPs), and its therapeutic targeting. Clinically, IGF2 antibodies may aid in diagnosing IGF2-secreting tumors or monitoring conditions like hypoglycemia linked to IGF2-producing neoplasms. Challenges remain in ensuring antibody specificity due to homology between IGF family members. Ongoing studies explore neutralizing IGF2 or blocking its receptors as potential anticancer strategies.
×