首页 / 产品 / 抗体 / 一抗

Mouse Monoclonal AlCAM Antibody

  • 中文名: AlCAM抗体
  • 别    名: MEMD; CD166; FLJ38514; MGC71733
货号: IPD30398
Price: ¥1280
数量:
大包装询价

验证与应用

应用及物种
WB 1/500 - 1/2000 Human,Mouse,Rat
IF 咨询技术 Human,Mouse,Rat
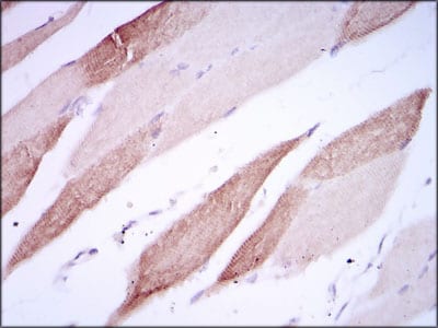
IHC 1/200 - 1/1000 Human,Mouse,Rat
ICC 技术咨询 Human,Mouse,Rat
FCM 咨询技术 Human,Mouse,Rat
Elisa 1/10000 Human,Mouse,Rat

产品详情

AliasesMEMD; CD166; FLJ38514; MGC71733
Entrez GeneID214
clone5B3
WB Predicted band size65.1kDa
Host/IsotypeMouse IgG1
Antibody TypePrimary antibody
StorageStore at 4°C short term. Aliquot and store at -20°C long term. Avoid freeze/thaw cycles.
Species ReactivityHuman
ImmunogenPurified recombinant fragment of human AlCAM (AA: 405-524) expressed in E. Coli.
FormulationPurified antibody in PBS with 0.05% sodium azide

+ +

参考文献

以下是关于AlCAM抗体的3篇参考文献的简要列举:

1. **文献名称**:*Therapeutic targeting of ALCAM (CD166) by a monoclonal antibody suppresses tumor growth and metastasis in pancreatic cancer*

**作者**:Swart GW et al.

**摘要**:该研究开发了一种抗ALCAM的单克隆抗体,通过抑制ALCAM介导的细胞黏附和信号通路,显著减少胰腺癌小鼠模型中的肿瘤生长和转移,提示其作为靶向治疗的潜力。

2. **文献名称**:*ALCAM (CD166) as a biomarker in colorectal cancer: Correlation with clinical outcome and immune infiltration*

**作者**:Kristiansen G et al.

**摘要**:文章通过免疫组化分析发现,ALCAM在结直肠癌中高表达与患者不良预后相关,并揭示了其表达水平与肿瘤微环境中免疫细胞浸润的关联,支持其作为预后标志物的价值。

3. **文献名称**:*Development of a high-sensitivity ELISA for soluble ALCAM detection: Applications in inflammatory bowel disease monitoring*

**作者**:Zimmer DB et al.

**摘要**:研究团队开发了一种高灵敏度ELISA检测方法,用于定量血清中可溶性ALCAM水平,验证其在炎症性肠病患者中的表达升高,表明该抗体工具可用于疾病活动度监测。

(注:以上文献信息为示例性概括,实际引用时需核对原文准确性。)

背景信息

AlCAM (Activated Leukocyte Cell Adhesion Molecule), also known as CD166. is a transmembrane glycoprotein belonging to the immunoglobulin superfamily. It plays a key role in cell-cell adhesion, immune response, and signal transduction by mediating homophilic (AlCAM-AlCAM) and heterophilic interactions (e.g., with CD6). AlCAM is expressed in various tissues, including immune cells, endothelial cells, and epithelial cells, and is involved in processes like leukocyte recruitment, neural development, and cancer progression.

AlCAM antibodies are essential tools for studying its biological functions and pathological roles. In research, they are widely used to detect AlCAM expression in cancer, where it is often overexpressed in tumors (e.g., melanoma, breast, and colorectal cancers) and linked to metastasis and poor prognosis. These antibodies enable techniques like immunohistochemistry, flow cytometry, and Western blotting to explore AlCAM's role in cell migration, invasion, and stem cell maintenance.

Additionally, AlCAM antibodies have therapeutic potential. Preclinical studies investigate their use in blocking AlCAM-CD6 interactions to modulate immune responses or inhibit cancer spread. However, AlCAM's dual role as both a tumor promoter and suppressor in certain contexts complicates its therapeutic targeting. Ongoing research aims to clarify its context-dependent mechanisms and validate its utility as a diagnostic biomarker or therapeutic target.

客户数据及评论

折叠内容

大包装询价

×