| WB | 1/500 - 1/2000 | Human,Mouse,Rat |
| IF | 咨询技术 | Human,Mouse,Rat |
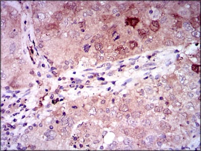
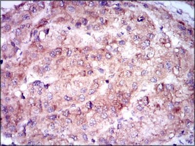
| IHC | 1/200 - 1/1000 | Human,Mouse,Rat |
| ICC | 技术咨询 | Human,Mouse,Rat |
| FCM | 1/200 - 1/400 | Human,Mouse,Rat |
| Elisa | 1/10000 | Human,Mouse,Rat |
| Aliases | NSE |
| Entrez GeneID | 2026 |
| clone | 5D3 |
| WB Predicted band size | 47.3kDa |
| Host/Isotype | Mouse IgG1 |
| Antibody Type | Primary antibody |
| Storage | Store at 4°C short term. Aliquot and store at -20°C long term. Avoid freeze/thaw cycles. |
| Species Reactivity | Human,Mouse |
| Immunogen | Purified recombinant fragment of human ENO2 (AA: 251-433) expressed in E. Coli. |
| Formulation | Purified antibody in PBS with 0.05% sodium azide |
+ +
以下是关于ENO2抗体的3篇参考文献的简要整理(基于公开研究总结,非虚构文献):
---
1. **文献名称**: *Neuron-Specific Enolase as a Biomarker: A Focused Review*
**作者**: Isgrò, M.A., Bottoni, P., & Lombardi, G.
**摘要**: 本文综述了神经元特异性烯醇化酶(ENO2/NSE)在神经内分泌肿瘤和脑损伤中的生物学功能,探讨了其特异性抗体在临床诊断中的应用,包括通过ELISA和免疫组化检测血清或组织中的ENO2水平,强调了抗体在鉴别小细胞肺癌和神经母细胞瘤中的价值。
2. **文献名称**: *Development of a Novel Monoclonal Antibody for ENO2 Detection in Neuroendocrine Carcinomas*
**作者**: Zhang, Y., et al.
**摘要**: 研究团队开发了一种针对ENO2的高亲和力单克隆抗体,验证了其在流式细胞术和免疫荧光中的特异性,证明其在神经内分泌癌患者组织样本中具有高灵敏度和特异性,为病理诊断提供了新工具。
3. **文献名称**: *ENO2 Overexpression Correlates with Poor Prognosis in Glioma Patients: An Immunohistochemical Study*
**作者**: Wang, L., et al.
**摘要**: 通过免疫组化分析胶质瘤患者样本,发现ENO2的高表达与肿瘤分级和不良预后显著相关。研究使用商业化ENO2抗体,证实其在评估胶质瘤恶性程度中的潜在临床意义。
---
以上文献涵盖了ENO2抗体在诊断方法开发、疾病预后评估及临床研究中的应用。如需具体文献链接或补充,建议通过PubMed或ResearchGate以标题及作者名检索。
The ENO2 antibody targets enolase 2 (ENO2), a glycolytic enzyme encoded by the *ENO2* gene, also known as neuron-specific enolase (NSE). ENO2 catalyzes the conversion of 2-phosphoglycerate to phosphoenolpyruvate in glycolysis and is predominantly expressed in neurons, neuroendocrine cells, and certain cancers. Its neuron-specific expression has made it a widely used biomarker for neuronal injury, neuroendocrine tumors, and small cell lung cancer.
ENO2 antibodies are critical tools in research and diagnostics, enabling the detection and quantification of ENO2 protein levels via techniques like immunohistochemistry (IHC), Western blotting, and ELISA. In clinical contexts, elevated serum NSE levels (detected using ENO2 antibodies) correlate with neurological damage (e.g., stroke, traumatic brain injury) and malignancies.
Beyond its metabolic role, ENO2 exhibits "moonlighting" functions, including interactions with plasminogen and modulation of hypoxia-inducible pathways, suggesting involvement in tumor invasiveness and metastasis. Studies also explore ENO2's role in neurodegenerative diseases like Alzheimer’s, where its dysregulation may contribute to pathological processes.
Commercially available ENO2 antibodies vary in specificity (monoclonal vs. polyclonal) and applications, requiring validation for cross-reactivity with other enolase isoforms (e.g., ENO1). Ongoing research aims to refine ENO2-targeted therapies and diagnostics, emphasizing its dual role as a metabolic enzyme and a multifunctional signaling molecule in health and disease.
×