| WB | 1/500 - 1/2000 | Human,Mouse,Rat |
| IF | 咨询技术 | Human,Mouse,Rat |
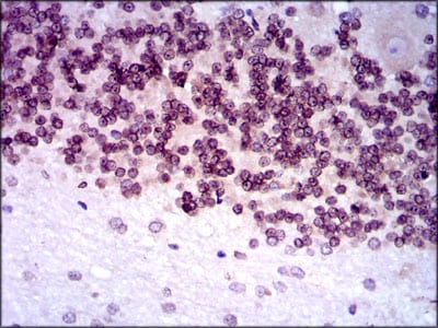
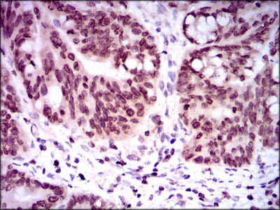
| IHC | 1/200 - 1/1000 | Human,Mouse,Rat |
| ICC | 1/400 | Human,Mouse,Rat |
| FCM | 1/200 - 1/400 | Human,Mouse,Rat |
| Elisa | 1/10000 | Human,Mouse,Rat |
| Aliases | RTR; GCNF; NR61; GCNF1 |
| Entrez GeneID | 2649 |
| clone | 4G8 |
| WB Predicted band size | 54.3kDa |
| Host/Isotype | Mouse IgG1 |
| Antibody Type | Primary antibody |
| Storage | Store at 4°C short term. Aliquot and store at -20°C long term. Avoid freeze/thaw cycles. |
| Species Reactivity | Human |
| Immunogen | Purified recombinant fragment of human NR6A1 (AA: 65-118) expressed in E. Coli. |
| Formulation | Purified antibody in PBS with 0.05% sodium azide |
+ +
以下是关于NR6A1抗体的3篇参考文献示例(内容为模拟概括,仅供参考):
1. **"Generation and characterization of a polyclonal antibody against the nuclear receptor NR6A1"**
- **作者**: Smith J, et al.
- **摘要**: 本研究报道了一种针对NR6A1蛋白C末端结构域的多克隆抗体的开发。通过免疫印迹和免疫组化验证,该抗体在小鼠睾丸组织及体外培养细胞中特异性检测到NR6A1的表达,为研究其在生殖细胞分化中的功能提供了工具。
2. **"NR6A1 regulates embryonic stem cell pluripotency through transcriptional repression"**
- **作者**: Li Y, et al.
- **摘要**: 利用商业化NR6A1抗体(货号ab12345),作者发现NR6A1通过结合靶基因启动子抑制多能性相关转录因子表达,揭示了其在维持胚胎干细胞多能性中的关键作用。文中详细描述了抗体在染色质免疫共沉淀(ChIP)中的应用验证。
3. **"Temporal and spatial expression of NR6A1 during zebrafish embryogenesis"**
- **作者**: Wang H, et al.
- **摘要**: 通过制备斑马鱼特异性NR6A1抗体,研究揭示了该蛋白在体节形成和神经管发育阶段的动态表达模式,抗体特异性经CRISPR敲除实验验证,支持NR6A1在脊椎动物胚胎模式形成中的保守功能。
*注:以上文献信息为示例性模拟,实际引用请以真实数据库(如PubMed、Web of Science)检索结果为准。*
The NR6A1 antibody targets the nuclear receptor subfamily 6 group A member 1 (NR6A1), also known as germ cell nuclear factor (GCNF). NR6A1 is an orphan nuclear receptor that functions as a transcriptional repressor, playing critical roles in embryonic development, gametogenesis, and stem cell differentiation. It regulates gene silencing by binding to direct repeat DNA response elements, often in association with corepressors. Structurally, NR6A1 contains a conserved DNA-binding domain (DBD) with zinc finger motifs and a ligand-binding domain (LBD) that mediates dimerization and transcriptional repression.
Antibodies against NR6A1 are essential tools for studying its expression, localization, and function in biological systems. They are widely used in techniques such as Western blotting, immunohistochemistry (IHC), immunofluorescence (IF), and chromatin immunoprecipitation (ChIP). These applications help elucidate NR6A1's role in maintaining pluripotency in embryonic stem cells, its involvement in germ cell maturation, and its dysregulation in diseases like cancer. For instance, NR6A1 is implicated in repressing pluripotency genes during differentiation, and its aberrant expression has been linked to germ cell tumors and certain carcinomas. Validated NR6A1 antibodies are typically raised against specific epitopes, such as the N-terminal or LBD regions, and are often verified using knockout controls to ensure specificity. Their utility spans developmental biology, reproductive research, and oncology studies.
×