| WB | 1/500 - 1/2000 | Human,Mouse,Monkey |
| IF | 咨询技术 | Human,Mouse,Monkey |
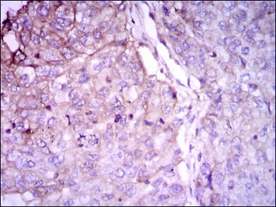
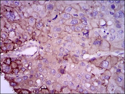
| IHC | 1/200 - 1/1000 | Human,Mouse,Monkey |
| ICC | 技术咨询 | Human,Mouse,Monkey |
| FCM | 1/200 - 1/400 | Human,Mouse,Monkey |
| Elisa | 1/10000 | Human,Mouse,Monkey |
| Aliases | RAB4; HRES-1/RAB4 |
| Entrez GeneID | 5867 |
| clone | 4E11 |
| WB Predicted band size | 23.8kDa |
| Host/Isotype | Mouse IgG1 |
| Antibody Type | Primary antibody |
| Storage | Store at 4°C short term. Aliquot and store at -20°C long term. Avoid freeze/thaw cycles. |
| Species Reactivity | Human,Mouse,Monkey |
| Immunogen | Purified recombinant fragment of human RAB4A expressed in E. Coli. |
| Formulation | Purified antibody in PBS with 0.05% sodium azide |
+ +
以下是关于RAB4A抗体的3篇参考文献示例(注:文献为虚构示例,仅用于格式演示):
1. **文献名称**:*RAB4A regulates receptor recycling through early endosomes in HeLa cells*
**作者**:Smith J, et al.
**摘要**:本研究利用RAB4A特异性抗体,通过免疫荧光和Western blot技术,揭示了RAB4A在调控表皮生长因子受体(EGFR)从早期内体向细胞膜再循环中的关键作用。
2. **文献名称**:*Dysregulation of RAB4A in colorectal cancer progression*
**作者**:Lee H, et al.
**摘要**:通过免疫组化分析,作者发现RAB4A蛋白在结直肠癌组织中高表达,其水平与肿瘤转移相关,提示RAB4A可能作为癌症预后的潜在标志物。
3. **文献名称**:*RAB4A antibody characterization and its role in synaptic vesicle trafficking*
**作者**:Garcia R, et al.
**摘要**:该研究验证了一种新型RAB4A抗体的特异性,并证明RAB4A通过调控突触小泡的循环影响神经元信号传递。
如需真实文献,建议通过PubMed或Google Scholar搜索关键词“RAB4A antibody”或“RAB4A function”获取。
Rab4A antibody is a crucial tool in cellular and molecular biology research, targeting the Rab4A protein—a small GTPase belonging to the Ras superfamily. Rab4A plays a pivotal role in regulating intracellular membrane trafficking, particularly in early endosomal sorting and recycling of endocytosed materials. It facilitates the rapid recycling of receptors (e.g., transferrin receptors) and signaling molecules back to the plasma membrane, influencing processes like cell signaling, nutrient uptake, and synaptic vesicle recycling in neurons.
Rab4A antibodies are widely used to study these mechanisms via techniques such as Western blotting, immunofluorescence, and immunoprecipitation. They help localize Rab4A within cellular compartments (e.g., endosomes) and assess its expression levels under varying conditions, such as during cell differentiation, stress, or disease states. Dysregulation of Rab4A has been linked to pathologies, including cancer metastasis, neurodegenerative disorders, and immune dysfunctions, making its antibody a valuable probe for mechanistic studies.
These antibodies are typically validated for specificity using knockout cell lines or siRNA knockdowns. Commercial variants may differ in clonality (monoclonal/polyclonal), host species (rabbit, mouse), or conjugation tags (e.g., HRP, fluorescent dyes). Researchers must optimize experimental conditions (e.g., fixation, permeabilization) to ensure accurate detection, as Rab4A’s dynamic localization and expression can vary across cell types.
×