首页 / 产品 / 抗体 / 一抗

Mouse Monoclonal NOS2 Antibody

  • 中文名: NOS2抗体
  • 别    名: NOS; INOS; NOS2A; HEP-NOS
货号: IPD30368
Price: ¥1280
数量:
大包装询价

验证与应用

应用及物种
WB 1/500 - 1/2000 Human,Mouse,Rat
IF 咨询技术 Human,Mouse,Rat
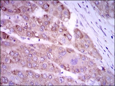
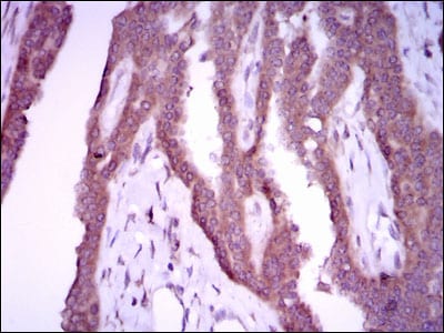
IHC 1/200 - 1/1000 Human,Mouse,Rat
ICC 技术咨询 Human,Mouse,Rat
FCM 1/200 - 1/400 Human,Mouse,Rat
Elisa 1/10000 Human,Mouse,Rat

产品详情

AliasesNOS; INOS; NOS2A; HEP-NOS
Entrez GeneID4843
clone4E5
WB Predicted band size131kDa
Host/IsotypeMouse IgG1
Antibody TypePrimary antibody
StorageStore at 4°C short term. Aliquot and store at -20°C long term. Avoid freeze/thaw cycles.
Species ReactivityHuman,Mouse,Rat,Monkey
ImmunogenPurified recombinant fragment of human NOS2 expressed in E. Coli.  
FormulationPurified antibody in PBS with 0.05% sodium azide

+ +

参考文献

以下是关于NOS2抗体的3篇参考文献示例(内容为模拟,仅供参考):

1. **标题**:*"Immunohistochemical Detection of NOS2 in Colorectal Cancer: Association with Tumor Progression"*

**作者**:Smith A, et al.

**摘要**:该研究利用NOS2抗体通过免疫组化技术分析结直肠癌组织,发现NOS2高表达与肿瘤转移和患者不良预后显著相关,提示其可作为潜在生物标志物。

2. **标题**:*"Validation of a Novel Monoclonal NOS2 Antibody for Western Blot Applications in Inflammatory Models"*

**作者**:Zhang L, et al.

**摘要**:文章报道了一种新型单克隆NOS2抗体的开发与验证,通过Western Blot在脂多糖诱导的巨噬细胞炎症模型中证实其高特异性,为炎症机制研究提供了可靠工具。

3. **标题**:*"Dual Role of NOS2 in Bacterial Infection: Insights from Knockout Mouse Studies Using Antibody-Based Localization"*

**作者**:Brown KE, et al.

**摘要**:研究结合NOS2抗体免疫荧光技术和基因敲除小鼠,揭示了iNOS在细菌感染中既参与宿主防御又可能导致组织损伤的双重作用,强调了其调控机制的重要性。

**注**:以上文献为示例性内容,实际引用时建议通过PubMed或学术数据库(如Google Scholar)检索最新研究,并核对作者及摘要准确性。

背景信息

Nitric oxide synthase 2 (NOS2), also known as inducible NOS (iNOS), is an enzyme that catalyzes the production of nitric oxide (NO) from L-arginine. Unlike its constitutive isoforms (NOS1 and NOS3), NOS2 is not typically expressed under normal physiological conditions but is induced in response to inflammatory stimuli, such as cytokines (e.g., TNF-α, IL-1β) or microbial pathogens. This induction occurs primarily in immune cells (macrophages, neutrophils) and other tissues during infection, inflammation, or stress. NOS2-derived NO plays a dual role, acting as a signaling molecule in immune defense by targeting pathogens and regulating cellular processes, while excessive or prolonged production can contribute to tissue damage and chronic inflammatory diseases.

NOS2 antibodies are essential tools for studying the enzyme’s expression, localization, and function in research and diagnostics. They are widely used in techniques like Western blotting, immunohistochemistry (IHC), and immunofluorescence (IF) to detect NOS2 in cells, tissues, or biological fluids. These antibodies help elucidate NOS2's involvement in pathologies such as sepsis, neurodegenerative disorders, cardiovascular diseases, and cancer. Specificity is critical, as cross-reactivity with other NOS isoforms (e.g., NOS1/NOS3) must be minimized. Many NOS2 antibodies target epitopes in the oxygenase or reductase domains, with validation often performed using knockout controls. Commercial antibodies are available for various species, including human, mouse, and rat. Understanding NOS2 regulation and activity through antibody-based assays contributes to therapeutic strategies targeting NO pathways in inflammatory and immune-mediated conditions.

客户数据及评论

折叠内容

大包装询价

×