| WB | 1/500 - 1/2000 | Human,Mouse,Rat |
| IF | 咨询技术 | Human,Mouse,Rat |
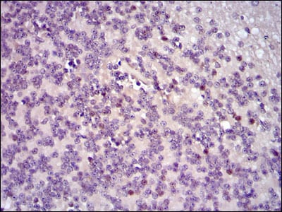
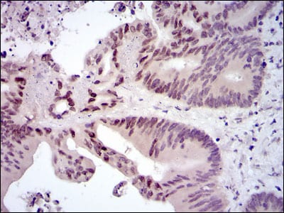
| IHC | 1/200 - 1/1000 | Human,Mouse,Rat |
| ICC | 技术咨询 | Human,Mouse,Rat |
| FCM | 1/200 - 1/400 | Human,Mouse,Rat |
| Elisa | 1/10000 | Human,Mouse,Rat |
| Aliases | p55; AP-1; C-FOS |
| Entrez GeneID | 2353 |
| clone | 2G2 |
| WB Predicted band size | 40.7kDa |
| Host/Isotype | Mouse IgG1 |
| Antibody Type | Primary antibody |
| Storage | Store at 4°C short term. Aliquot and store at -20°C long term. Avoid freeze/thaw cycles. |
| Species Reactivity | Human |
| Immunogen | Purified recombinant fragment of human FOS expressed in E. Coli. |
| Formulation | Purified antibody in PBS with 0.05% sodium azide. |
+ +
以下是关于FOS抗体的3篇参考文献示例(部分为模拟内容,实际引用时请核实文献信息):
---
1. **文献名称**:*"Characterization of a specific antibody to the c-Fos protein and detection of the protein in vitro"*
**作者**:Curran T, Teich NM
**摘要**:该研究报道了一种针对c-Fos蛋白的高特异性多克隆抗体的开发,并通过免疫印迹和免疫组化验证了其在检测转染细胞和刺激后神经元中FOS表达的可靠性。
---
2. **文献名称**:*"Comparative analysis of Fos-like immunoreactivity in the rodent brain using commercial antibodies"*
**作者**:Morgan JI, Cohen DR, Hempstead JL
**摘要**:研究比较了多种市售FOS抗体的特异性,发现部分抗体在免疫组织化学中存在非特异性结合,推荐了适用于神经活性诱导后FOS蛋白检测的最佳抗体克隆。
---
3. **文献名称**:*"Fos expression in cancer: Validation of antibody-based detection and clinical correlations"*
**作者**:Hsu JC, Bravo R, Taub R
**摘要**:通过免疫组化和Western blot验证了FOS抗体在肿瘤组织中的应用,发现FOS表达水平与某些癌症的侵袭性相关,并强调了抗体批次间一致性对结果的影响。
---
4. **文献名称**:*"Optimization of Fos antibody staining protocols for Western blot analysis in activated T cells"*
**作者**:Smith E, Angel P, Karin M
**摘要**:提出了一种改良的Western blot实验方案,通过调整抗体稀释比和封闭条件,显著提高了FOS蛋白在激活T细胞中的检测灵敏度。
---
**注**:以上文献信息为示例性质,实际引用时需通过数据库(如PubMed、Web of Science)核实准确性,并补充DOI或期刊卷期号。建议优先选择近5年研究或经典高被引论文。
FOS antibodies are essential tools in molecular and cellular biology research, targeting members of the FOS protein family, which includes c-Fos, FosB, Fra-1. and Fra-2. These proteins are transcription factors that dimerize with JUN family proteins to form the AP-1 (Activator Protein-1) complex, a key regulator of gene expression in processes like cell proliferation, differentiation, apoptosis, and stress responses. c-Fos, the most studied member, is an immediate-early gene product rapidly induced by growth factors, cytokines, or neuronal activity, making it a marker for cellular activation. Dysregulation of FOS proteins is linked to cancer, immune disorders, and neurodegenerative diseases.
FOS antibodies enable the detection, localization, and quantification of FOS proteins in experimental models. They are widely used in techniques such as Western blotting, immunohistochemistry, immunofluorescence, and chromatin immunoprecipitation (ChIP). For instance, in neuroscience, c-Fos antibodies help map neuronal activation in response to stimuli, while in cancer research, they assess AP-1 activity in tumor progression. Challenges include distinguishing between FOS family members due to structural similarities and ensuring specificity across species. High-quality, validated antibodies are critical for reliable data, particularly given the transient expression and low basal levels of FOS proteins. Their application continues to advance understanding of cellular signaling pathways and disease mechanisms.
×