| WB | 咨询技术 | Human,Mouse,Rat |
| IF | 咨询技术 | Human,Mouse,Rat |
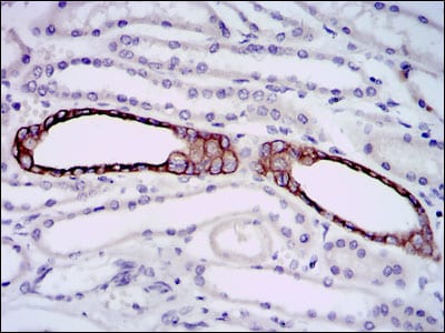
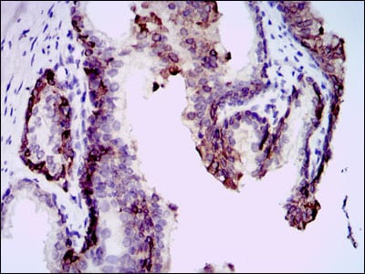
| IHC | 1/200 - 1/1000 | Human,Mouse,Rat |
| ICC | 1/200 - 1/1000 | Human,Mouse,Rat |
| FCM | 1/200 - 1/400 | Human,Mouse,Rat |
| Elisa | 1/10000 | Human,Mouse,Rat |
| Entrez GeneID | 19194 |
| clone | 1F12 |
| Host/Isotype | Mouse IgG1 |
| Antibody Type | Primary antibody |
| Storage | Store at 4°C short term. Aliquot and store at -20°C long term. Avoid freeze/thaw cycles. |
| Species Reactivity | Human |
| Immunogen | Purified recombinant fragment of mouse Splunc2 expressed in E. Coli. |
| Formulation | Purified antibody in PBS with 0.05% sodium azide |
+ +
以下是3篇关于小鼠Splunc2抗体的参考文献摘要信息:
1. **文献名称**:*"The role of Short palate, lung, and nasal epithelium clone 2 (Splunc2) in murine airway host defense"*
**作者**:Westman, J. et al.
**摘要**:研究利用Splunc2特异性抗体检测小鼠呼吸道中Splunc2蛋白的表达分布,发现其在上皮细胞中高表达,并通过体外实验证实Splunc2具有抑制细菌黏附的功能,提示其在黏膜免疫中的保护作用。
2. **文献名称**:*"Characterization of murine Splunc2 antibody and its application in lung inflammation models"*
**作者**:Chu, H.W. et al.
**摘要**:开发并验证了一种高特异性小鼠Splunc2多克隆抗体,通过免疫组化和Western blot证实Splunc2在脂多糖(LPS)诱导的急性肺损伤模型中表达上调,可能与炎症调控相关。
3. **文献名称**:*"Splunc2 regulates airway surface liquid volume through protein-protein interactions"*
**作者**:Bingle, L. & Bingle, C.D.
**摘要**:利用Splunc2抗体研究其与上皮钠离子通道(ENaC)的相互作用,发现Splunc2通过调控ENaC活性影响气道表面液体平衡,为囊性纤维化病理机制提供新视角。
4. **文献名称**:*"Antimicrobial activity of Splunc2 in a murine otitis media model"*
**作者**:Thaikoottathil, J.V. et al.
**摘要**:通过Splunc2抗体阻断实验,证明Splunc2在中耳炎模型中抑制肺炎链球菌生长,其抗菌功能依赖于N端结构域,为治疗耳部感染提供潜在靶点。
这些文献均涉及Splunc2抗体的开发、验证或应用,聚焦于其在免疫防御、炎症调控及宿主-病原体互作中的功能研究。
The mouse Splunc2 (Short palate, lung, and nasal epithelium clone 2) antibody is a tool used to detect and study the Splunc2 protein, a member of the SPLUNC family of secreted proteins predominantly expressed in the respiratory tract. Splunc2. encoded by the *Splunc2* gene, is involved in innate immunity and mucosal surface homeostasis. It is structurally characterized by a conserved PLUNC (palate, lung, and nasal epithelium clone) domain, which shares homology with bactericidal/permeability-increasing protein (BPI) and lipopolysaccharide-binding protein (LBP). This suggests roles in lipid binding, pathogen defense, or surfactant metabolism.
In mice, Splunc2 is highly expressed in the nasal epithelium, trachea, and lungs, where it may regulate airway hydration, inflammation, or microbial interactions. Its precise biological functions remain under investigation, but studies link it to responses against respiratory pathogens, allergic inflammation, and chronic obstructive pulmonary disease (COPD) models. The Splunc2 antibody enables researchers to localize the protein in tissues via immunohistochemistry, quantify expression levels using Western blotting or ELISA, and explore its interactions in vitro.
Commercial and custom-generated antibodies are typically raised in rabbits or mice using recombinant Splunc2 peptides or full-length proteins. Validation includes specificity testing in knockout models or siRNA-mediated knockdown. This antibody is critical for elucidating Splunc2's role in respiratory physiology and disease, offering insights into therapeutic strategies for airway disorders.
×