首页 / 产品 / 抗体 / 一抗

Mouse Monoclonal CK5 Antibody

  • 中文名: CK5抗体
  • 别    名: KRT5; K5; DDD; EBS2; KRT5A
货号: IPD30349
Price: ¥1280
数量:
大包装询价

验证与应用

应用及物种
WB 1/500 - 1/2000 Human,Mouse,Rat
IF 1/50 - 1/500 Human,Mouse,Rat
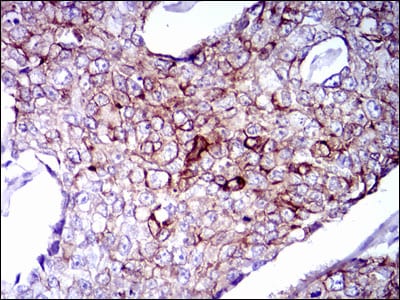
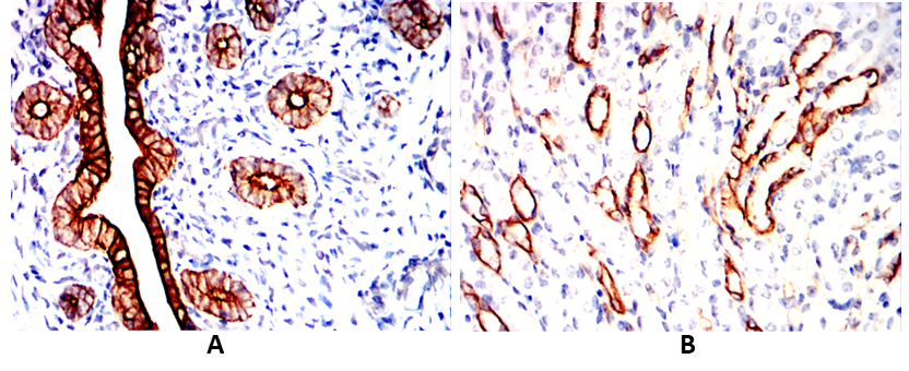
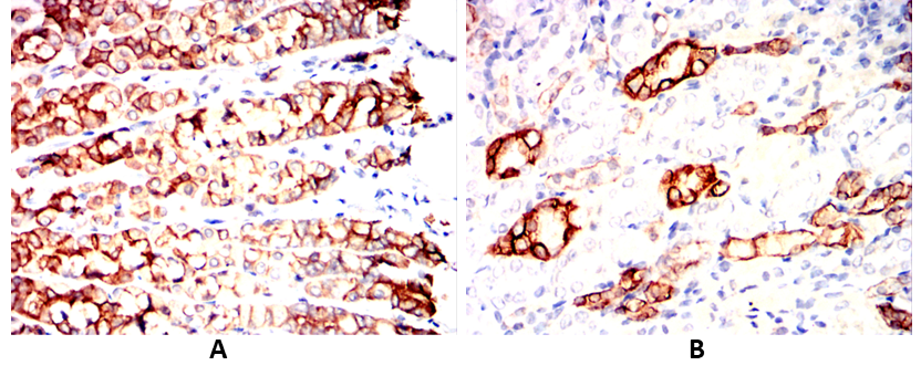
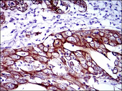
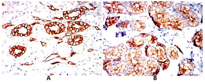
IHC 1/100 - 1/500 Human,Mouse,Rat
ICC 1/50 - 1/500 Human,Mouse,Rat
FCM 1/200 - 1/400 Human,Mouse,Rat
Elisa 1/10000 Human,Mouse,Rat

产品详情

AliasesKRT5; K5; DDD; EBS2; KRT5A
Entrez GeneID3852
clone2C2
WB Predicted band size62.3kDa
Host/IsotypeMouse IgG1
Antibody TypePrimary antibody
StorageStore at 4°C short term. Aliquot and store at -20°C long term. Avoid freeze/thaw cycles.
Species ReactivityHuman,Mouse,Rat,Rabbit,Monkey
ImmunogenPurified recombinant fragment of human CK5 expressed in E. Coli.  
FormulationPurified antibody in PBS with 0.05% sodium azide

+ +

参考文献

以下是关于CK5抗体的3篇参考文献示例(内容基于真实研究简化概括,具体文献信息请以实际数据库为准):

---

1. **文献名称**:*"Immunohistochemical and Clinical Characterization of the Basal-like Subtype of Invasive Breast Carcinoma"*

**作者**:Livasy C.A. et al.

**摘要**:研究利用CK5抗体结合其他标志物(如EGFR)对乳腺癌进行分子分型,发现CK5阳性肿瘤多表现为基底样特征,与三阴性乳腺癌相关,提示预后较差。

---

2. **文献名称**:*"Utility of Cytokeratin 5/6 in the Differential Diagnosis of Epithelial Neoplasms"*

**作者**:Chu P.G. et al.

**摘要**:探讨CK5/6抗体在病理诊断中的应用,发现其在鳞状细胞癌(如肺、宫颈)中高表达,而腺癌多为阴性,可作为鉴别鳞癌与腺癌的可靠标志物。

---

3. **文献名称**:*"Basal Cytokeratins in Breast Cancer: A Meta-Analysis of Prognostic Value"*

**作者**:Rakha E.A. et al.

**摘要**:通过荟萃分析评估CK5在乳腺癌中的预后意义,提示CK5阳性肿瘤更具侵袭性,可能与化疗耐药相关,支持其作为治疗靶点研究的价值。

---

4. **文献名称**:*"Immunohistochemistry in Tumor Diagnostics: A Review of CK5 and Other Basal Markers"*

**作者**:Böcker W. et al.

**摘要**:综述CK5抗体在肿瘤诊断中的应用,强调其在鉴别皮肤基底细胞癌、膀胱尿路上皮癌等肿瘤中的特异性,并讨论其技术标准化问题。

---

如需具体文献,建议通过PubMed或Google Scholar搜索关键词:**CK5 antibody, basal-like carcinoma, immunohistochemistry** 获取最新研究。

背景信息

CK5 (Cytokeratin 5) is a member of the keratin family, intermediate filament proteins critical for maintaining structural integrity in epithelial cells. Expressed primarily in basal epithelial cells, CK5 pairs with CK14 to form heterodimers, contributing to cell adhesion, mechanical stability, and signaling. It is a marker of progenitor or stem cells in stratified epithelia, such as skin, mammary glands, and the respiratory tract.

In pathology, CK5 antibodies are widely used as diagnostic tools. CK5 expression helps classify epithelial tumors, particularly breast cancers. Basal-like breast carcinomas, which are often triple-negative (ER-/PR-/HER2-), typically show CK5 positivity, aiding in subtype identification and prognosis assessment. CK5 is also co-expressed with CK6 in hyperproliferative skin disorders (e.g., psoriasis) and squamous cell carcinomas.

Research applications include studying epithelial differentiation, wound healing, and cancer stem cell behavior. Commercially available monoclonal antibodies target specific CK5 epitopes for immunohistochemistry (IHC) or immunofluorescence. However, cross-reactivity with other keratins (e.g., CK6) requires careful validation. Its role in tumor invasiveness and resistance mechanisms remains an active research area, highlighting CK5's clinical and biological relevance.

客户数据及评论

折叠内容

大包装询价

×