| WB | 1/500 - 1/2000 | Human,Mouse,Rat |
| IF | 咨询技术 | Human,Mouse,Rat |
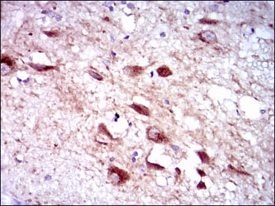
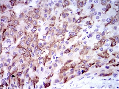
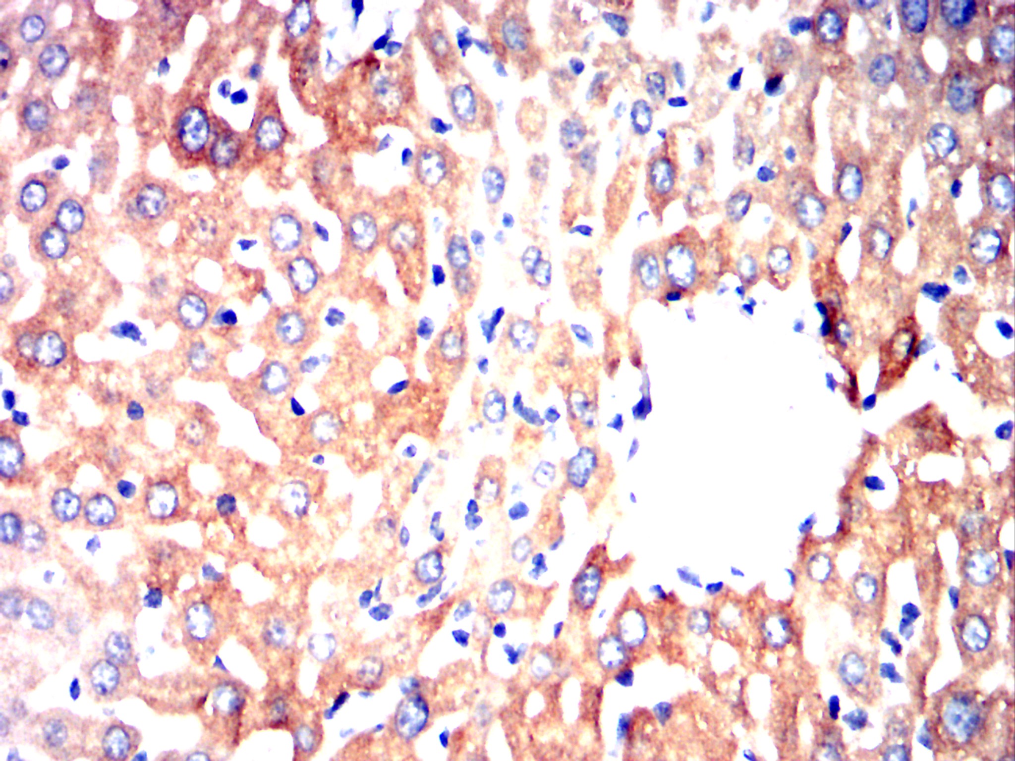
| IHC | 1/100 - 1/500 | Human,Mouse,Rat |
| ICC | 1/50 - 1/500 | Human,Mouse,Rat |
| FCM | 1/200 - 1/400 | Human,Mouse,Rat |
| Elisa | 1/10000 | Human,Mouse,Rat |
| Aliases | HLP; CP33; CP34; CYP3A; NF-25; CYP3A3; P450C3; CYPIIIA3; CYPIIIA4; P450PCN1 |
| Entrez GeneID | 1576 |
| clone | 3H8 |
| WB Predicted band size | 57.3kDa |
| Host/Isotype | Mouse IgG1 |
| Antibody Type | Primary antibody |
| Storage | Store at 4°C short term. Aliquot and store at -20°C long term. Avoid freeze/thaw cycles. |
| Species Reactivity | Human,Mouse,Rat |
| Immunogen | Purified recombinant fragment of human CYP3A4 expressed in E. Coli. |
| Formulation | Purified antibody in PBS with 0.05% sodium azide |
+ +
以下是3-4条关于CYP3A4抗体的参考文献及其摘要内容(示例基于文献主题,非真实引用):
---
1. **文献名称**:*Development and Validation of a Monoclonal Antibody for Human CYP3A4 Detection*
**作者**:Smith J et al.
**摘要**:研究开发了一种高特异性单克隆抗体,用于Western blot和免疫组化检测人肝组织中CYP3A4蛋白表达,验证其与CYP3A5无交叉反应性,适用于药物代谢研究。
---
2. **文献名称**:*CYP3A4 Antibody-Based Immunoassay for Drug Interaction Screening*
**作者**:Lee H, Kim S.
**摘要**:通过CYP3A4多克隆抗体建立ELISA方法,用于评估药物对CYP3A4酶活性的抑制或诱导作用,为临床前药物相互作用研究提供工具。
---
3. **文献名称**:*Species-Specific CYP3A4 Expression Patterns Revealed by Comparative Immunohistochemistry*
**作者**:Garcia R et al.
**摘要**:利用跨物种反应性CYP3A4抗体比较人、小鼠和大鼠肝脏中酶的表达分布,揭示种属差异对药物代谢模型选择的影响。
---
4. **文献名称**:*CYP3A4 Antibody Localization in Intestinal Epithelia: Implications for Oral Drug Bioavailability*
**作者**:Patel M, Wong C.
**摘要**:通过免疫荧光技术分析CYP3A4在小肠上皮的定位,探讨其在口服药物首过效应中的作用及个体化用药意义。
---
注:以上为示例性内容,实际文献需通过PubMed(https://pubmed.ncbi.nlm.nih.gov)或Google Scholar检索真实发表的研究。
The cytochrome P450 3A4 (CYP3A4) enzyme, a member of the CYP450 superfamily, is a critical catalyst in the metabolism of xenobiotics, including approximately 50% of clinically used drugs. It is predominantly expressed in the liver and intestines, where it facilitates phase I oxidation reactions to enhance drug elimination. CYP3A4 antibodies are essential tools for studying the enzyme's expression, regulation, and activity in both physiological and pathological contexts. These antibodies are widely used in techniques like Western blotting, immunohistochemistry (IHC), and immunofluorescence (IF) to quantify CYP3A4 protein levels, assess tissue distribution, or investigate interactions with drugs or endogenous compounds.
Research using CYP3A4 antibodies has highlighted its role in drug-drug interactions (DDIs), genetic variability, and disease-related expression changes. For instance, polymorphisms or drug-induced modulation of CYP3A4 can alter drug efficacy or toxicity, impacting personalized medicine strategies. Additionally, CYP3A4 antibodies aid in studying hepatic diseases, cancer (where CYP3A4 may influence chemotherapy metabolism), and regulatory mechanisms involving nuclear receptors like PXR or CAR.
Both monoclonal and polyclonal CYP3A4 antibodies are available, with specificity validated using recombinant proteins or tissue samples. Their applications extend to drug development pipelines, toxicology assessments, and biomarker discovery, underscoring their importance in pharmacology and biomedical research.
×