| WB | 1/500 - 1/2000 | Human,Mouse,Rat,Rabbit |
| IF | 咨询技术 | Human,Mouse,Rat,Rabbit |
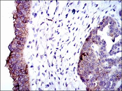
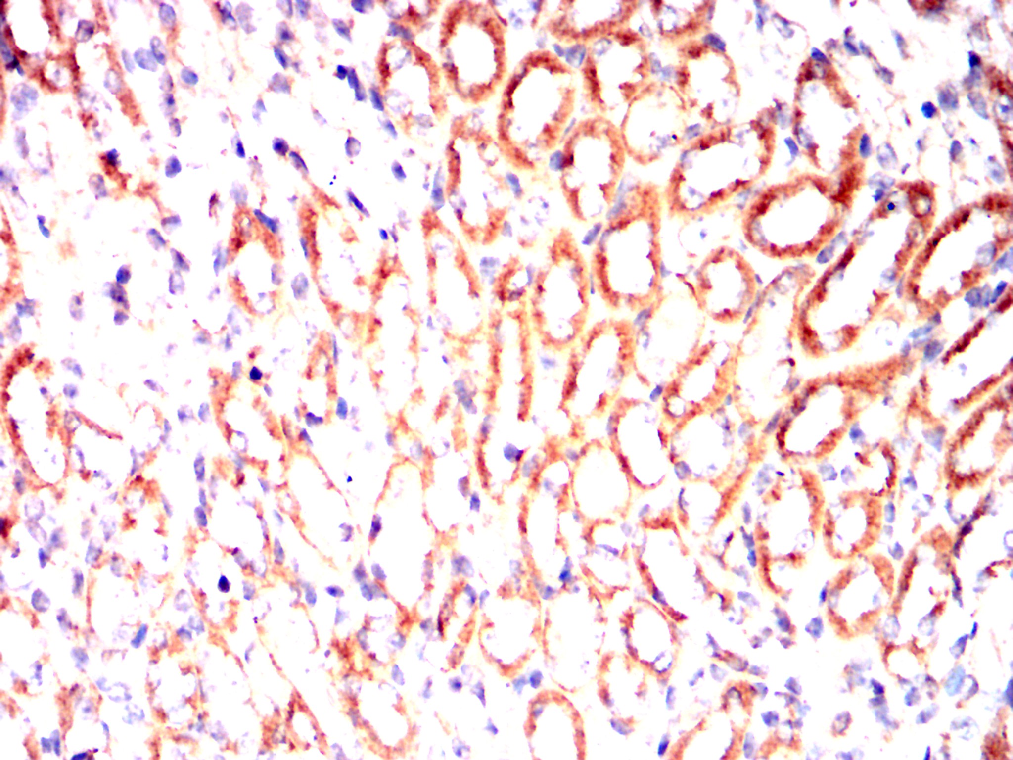
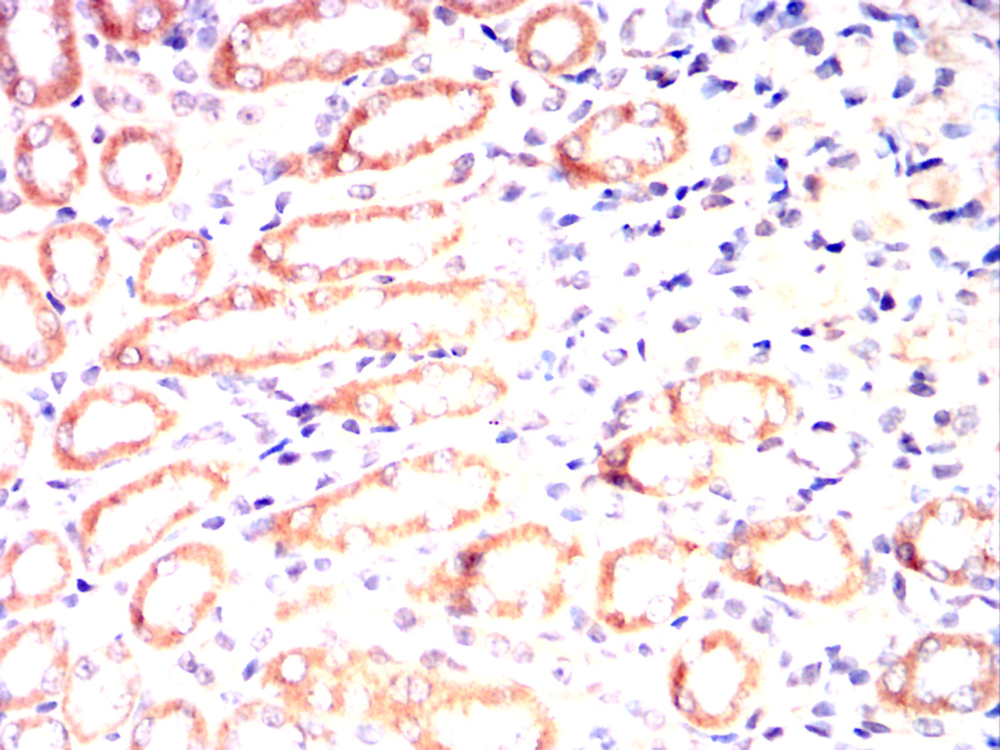
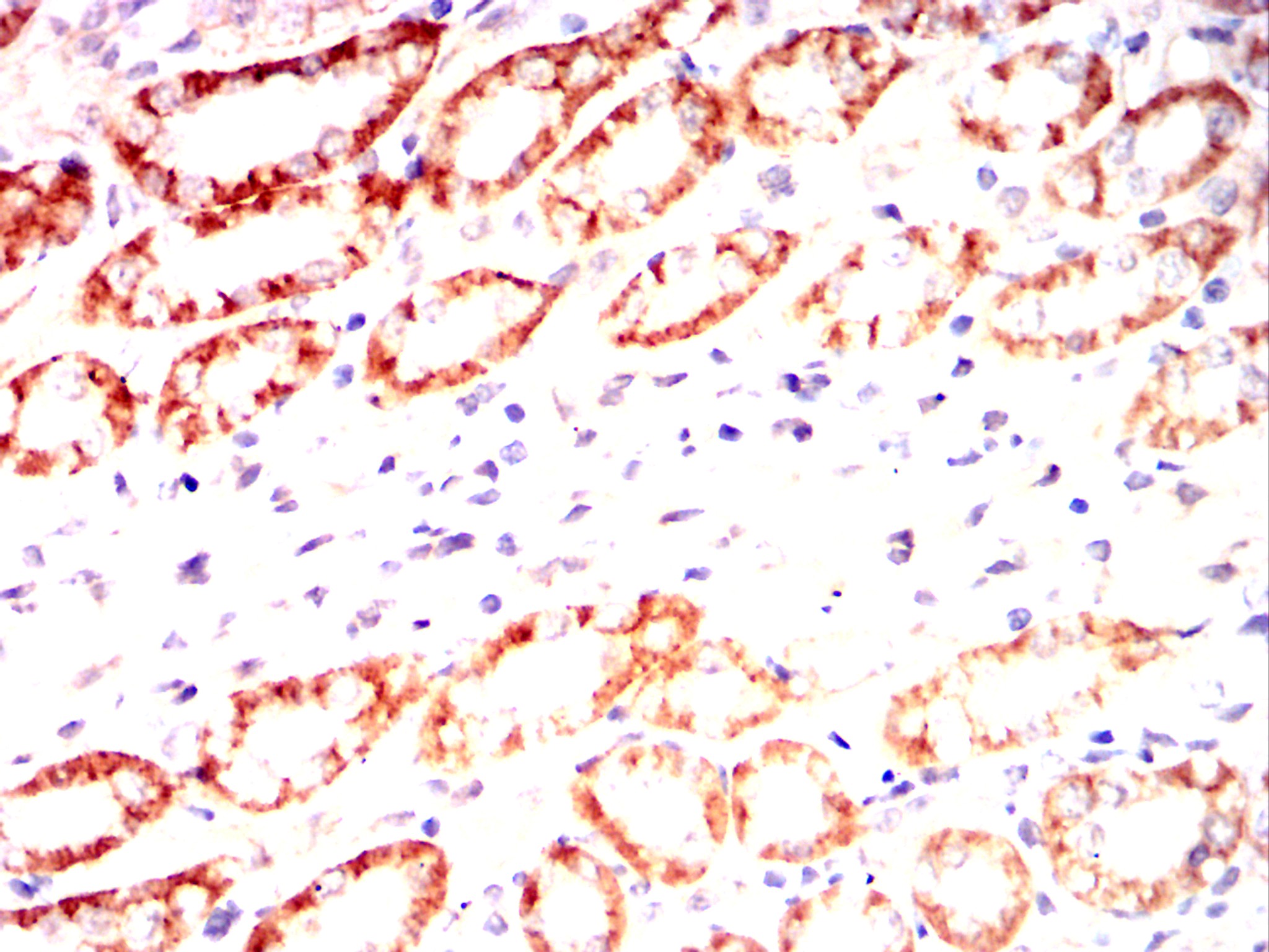
| IHC | 1/200 - 1/1000 | Human,Mouse,Rat,Rabbit |
| ICC | 技术咨询 | Human,Mouse,Rat,Rabbit |
| FCM | 1/200 - 1/400 | Human,Mouse,Rat,Rabbit |
| Elisa | 1/10000 | Human,Mouse,Rat,Rabbit |
| Aliases | HOPS; TNAP; APTNAP; TNSALP; AP-TNAP |
| Entrez GeneID | 249 |
| clone | 2F4 |
| WB Predicted band size | 57.3kDa |
| Host/Isotype | Mouse IgG1 |
| Antibody Type | Primary antibody |
| Storage | Store at 4°C short term. Aliquot and store at -20°C long term. Avoid freeze/thaw cycles. |
| Species Reactivity | Human,Mouse,Rat,Rabbit |
| Immunogen | Purified recombinant fragment of human ALPL expressed in E. Coli. |
| Formulation | Purified antibody in PBS with 0.05% sodium azide |
+ +
以下是关于ALPL抗体的3篇参考文献及其简要摘要:
1. **"Monoclonal antibodies against tissue-nonspecific alkaline phosphatase: Report of the ISOBM TD9 Workshop"**
*作者:Oda K. et al. (2009)*
**摘要**:该研究描述了针对组织非特异性碱性磷酸酶(TNSALP/ALPL)的单克隆抗体的开发与表征,用于分析其在骨骼、肝脏等组织中的分布。这些抗体被标准化为实验工具,助力ALPL在生理和病理状态下的功能研究。
2. **"Autoantibodies to tissue-nonspecific alkaline phosphatase in patients with autoimmune liver diseases"**
*作者:Collioud A. et al. (2020)*
**摘要**:研究发现,部分自身免疫性肝病患者血清中存在抗ALPL的自身抗体,可能与疾病进展相关。这些抗体可能通过干扰酶活性参与病理机制,为诊断或治疗提供了新方向。
3. **"ALPL gene expression and alkaline phosphatase activity in colorectal cancer"**
*作者:Hofmann K. et al. (2018)*
**摘要**:该研究利用ALPL特异性抗体检测结直肠癌组织中ALPL的表达水平,发现其表达升高与肿瘤侵袭性相关,提示ALPL可能作为癌症预后的潜在生物标志物。
**注**:若需更准确的文献,建议通过PubMed或Google Scholar以关键词“ALPL antibody”“anti-TNSALP autoantibody”进一步检索近年研究。部分研究可能侧重于抗体作为实验工具,而非直接探讨其病理作用。
The ALPL antibody targets alkaline phosphatase, tissue-nonspecific isozyme (ALPL), also known as tissue-nonspecific alkaline phosphatase (TNSALP). This enzyme, encoded by the ALPL gene, plays a critical role in mineralization processes by hydrolyzing phosphate esters to release inorganic phosphate. It is predominantly expressed in bones, liver, and kidneys, with distinct isoforms arising from post-translational modifications. ALPL dysfunction is linked to hypophosphatasia (HPP), a rare metabolic disorder characterized by defective bone mineralization due to mutations in the ALPL gene. Severe HPP manifests in infancy with skeletal abnormalities, respiratory complications, and seizures, while milder forms present in adulthood with osteoporosis or dental issues.
ALPL antibodies are essential tools in research and diagnostics. They enable the detection and quantification of ALPL protein levels via techniques like immunohistochemistry, Western blotting, or ELISA. These applications help elucidate ALPL's tissue-specific expression patterns, regulatory mechanisms, and its role in diseases such as HPP, chronic kidney disease, or cancer. In oncology, ALPL expression has been studied in hepatocellular carcinoma and osteosarcoma as a potential biomarker. Additionally, ALPL antibodies support therapeutic development for HPP, including enzyme replacement therapies or gene-targeted approaches, by monitoring treatment efficacy and ALPL activity restoration. Their specificity ensures accurate differentiation of TNSALP from other alkaline phosphatase isoforms in clinical assays.
×