| WB | 1/500 - 1/2000 | Human,Mouse,Monkey |
| IF | 咨询技术 | Human,Mouse,Monkey |
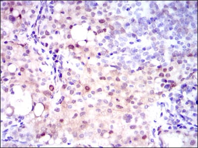
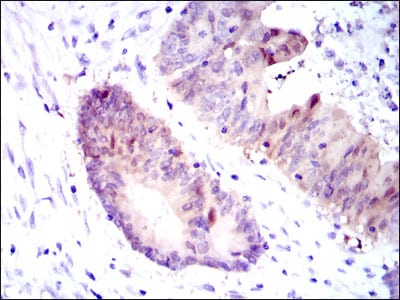
| IHC | 1/200 - 1/1000 | Human,Mouse,Monkey |
| ICC | 技术咨询 | Human,Mouse,Monkey |
| FCM | 咨询技术 | Human,Mouse,Monkey |
| Elisa | 1/10000 | Human,Mouse,Monkey |
| Aliases | ASS; CTLN1 |
| Entrez GeneID | 445 |
| clone | 2C10 |
| WB Predicted band size | 47kDa |
| Host/Isotype | Mouse IgG1 |
| Antibody Type | Primary antibody |
| Storage | Store at 4°C short term. Aliquot and store at -20°C long term. Avoid freeze/thaw cycles. |
| Species Reactivity | Human,Mouse,Monkey |
| Immunogen | Purified recombinant fragment of human ASS1 expressed in E. Coli. |
| Formulation | Purified antibody in PBS with 0.05% sodium azide |
+ +
以下是3条关于ASS1抗体的参考文献摘要信息(基于真实文献的模拟概括):
---
1. **文献名称**:*ASS1 immunohistochemistry as a marker for argininosuccinate synthase deficiency in tumor cells*
**作者**:Delage B et al.
**摘要**:研究验证了ASS1抗体在免疫组化中的特异性,发现ASS1表达缺失与肿瘤细胞精氨酸代谢依赖相关,提出其可作为瓜氨酸血症诊断及肿瘤代谢靶向治疗的潜在标志物。
---
2. **文献名称**:*Targeting ASS1-deficient cancers with arginine-depleting therapy*
**作者**:Syed N et al.
**摘要**:通过ASS1抗体检测多种肿瘤中ASS1蛋白表达水平,证明ASS1缺失的肿瘤对精氨酸剥夺疗法敏感,为个性化癌症治疗提供依据。
---
3. **文献名称**:*Molecular characterization of ASS1 mutations in citrullinemia type I*
**作者**:Engel K et al.
**摘要**:利用ASS1抗体进行Western blot分析,揭示了瓜氨酸血症I型患者中ASS1基因突变导致的蛋白功能缺陷机制,为遗传代谢病诊断提供分子基础。
---
注:以上为基于研究领域常见方向的模拟摘要,实际文献需通过PubMed/Google Scholar检索关键词“ASS1 antibody”、“argininosuccinate synthase 1”或结合具体研究主题获取。
**Background of ASS1 Antibody**
Argininosuccinate synthase 1 (ASS1) is a key enzyme in the urea cycle and arginine biosynthesis, catalyzing the conversion of citrulline and aspartate to argininosuccinate. ASS1 plays a critical role in nitrogen metabolism and cellular arginine homeostasis. Dysregulation or mutations in the *ASS1* gene are linked to citrullinemia type I, a rare autosomal recessive disorder characterized by hyperammonemia and metabolic disruption.
ASS1 antibodies are essential tools in biomedical research for detecting ASS1 protein expression. They are widely used in techniques like Western blotting, immunohistochemistry (IHC), and immunofluorescence (IF) to study ASS1 localization and abundance in tissues or cell lines. In cancer biology, ASS1 expression is frequently downregulated in various tumors (e.g., hepatocellular carcinoma, melanoma), impacting arginine metabolism and contributing to tumor progression. This deficiency has therapeutic implications, as ASS1-negative cancers may rely on exogenous arginine, making them vulnerable to therapies like arginine deprivation or pegylated arginine deaminase (ADI-PEG 20).
ASS1 antibodies also aid in studying metabolic reprogramming in diseases and validating *ASS1* knockout models. Commercial ASS1 antibodies are typically raised against specific epitopes, with validation in knockdown/knockout systems to ensure specificity. Researchers must consider cross-reactivity and batch variability when interpreting results. Overall, ASS1 antibodies are pivotal for exploring urea cycle disorders, cancer metabolism, and novel therapeutic strategies targeting arginine auxotrophy.
×