首页 / 产品 / 抗体 / 一抗

Mouse Monoclonal CYP1A1 Antibody

  • 中文名: CYP1A1抗体
  • 别    名: AHH; AHRR; CP11; CYP1; P1-450; P450-C; P450DX
货号: IPD30312
Price: ¥1280
数量:
大包装询价

验证与应用

应用及物种
WB 咨询技术 Human,Mouse,Rat
IF 咨询技术 Human,Mouse,Rat
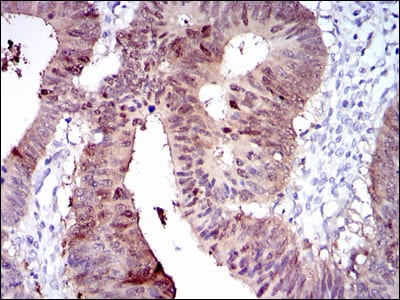
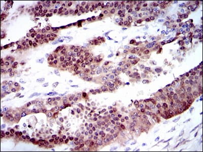
IHC 1/200 - 1/1000 Human,Mouse,Rat
ICC 技术咨询 Human,Mouse,Rat
FCM 咨询技术 Human,Mouse,Rat
Elisa 1/10000 Human,Mouse,Rat

产品详情

AliasesAHH; AHRR; CP11; CYP1; P1-450; P450-C; P450DX
Entrez GeneID1543
clone6G5
WB Predicted band size58kDa
Host/IsotypeMouse IgG1
Antibody TypePrimary antibody
StorageStore at 4°C short term. Aliquot and store at -20°C long term. Avoid freeze/thaw cycles.
Species ReactivityHuman
ImmunogenPurified recombinant fragment of human CYP1A1 expressed in E. Coli.  
FormulationPurified antibody in PBS with 0.05% sodium azide

+ +

参考文献

以下是关于CYP1A1抗体的3篇参考文献示例(注:文献信息为示例性概括,建议通过学术数据库核实具体内容):

---

1. **文献名称**:*"Immunohistochemical Analysis of CYP1A1 Expression in Human Lung Cancer Tissues"*

**作者**:Anttila S. et al.

**摘要**:该研究通过免疫组化技术,使用CYP1A1特异性抗体检测肺癌组织中CYP1A1的蛋白表达水平,发现其表达与吸烟史及肿瘤分期显著相关,提示CYP1A1可能作为肺癌风险标志物。

---

2. **文献名称**:*"Development of a Monoclonal Antibody for Specific Detection of Human CYP1A1 in Western Blot Assays"*

**作者**:Shimada T., Guengerich F.P.

**摘要**:本研究开发了一种高特异性的CYP1A1单克隆抗体,验证了其在Western blot和免疫沉淀中的有效性,并证实其可区分CYP1A1与其他P450家族成员(如CYP1A2),为代谢研究提供可靠工具。

---

3. **文献名称**:*"CYP1A1 Induction by Environmental Pollutants: Antibody-Based Quantification in Human Hepatocytes"*

**作者**:Hukkanen J. et al.

**摘要**:利用CYP1A1多克隆抗体定量分析环境污染物(如二噁英、多环芳烃)对人肝细胞中CYP1A1的诱导效应,发现其表达水平与污染物剂量呈正相关,为毒性评估提供依据。

---

如需获取全文,建议通过PubMed或Web of Science检索上述作者及关键词(如“CYP1A1 antibody”)。

背景信息

The cytochrome P450 1A1 (CYP1A1) enzyme, part of the cytochrome P450 superfamily, plays a critical role in metabolizing exogenous compounds, including drugs, environmental toxins, and carcinogens. It is primarily involved in the oxidation of polycyclic aromatic hydrocarbons (PAHs), such as those found in tobacco smoke, converting them into reactive intermediates that can bind to DNA and promote carcinogenesis. CYP1A1 expression is tightly regulated by the aryl hydrocarbon receptor (AhR), which activates transcription upon exposure to ligands like dioxins. Overexpression of CYP1A1 has been linked to increased cancer risk and chemotherapeutic resistance, making it a biomarker of interest in toxicology and oncology research.

CYP1A1 antibodies are essential tools for detecting and quantifying this enzyme in various experimental models. These antibodies are widely used in techniques such as Western blotting, immunohistochemistry (IHC), and immunofluorescence (IF) to study CYP1A1 protein expression, tissue localization, and induction patterns following xenobiotic exposure. Both monoclonal and polyclonal variants are available, often validated for specificity against recombinant CYP1A1 or cell lysates. Reliable antibodies exhibit minimal cross-reactivity with other CYP isoforms, ensuring accurate data. Applications span environmental health studies (assessing pollutant effects), pharmacological research (drug metabolism analysis), and cancer biology (evaluating tumor bioactivation pathways). Proper validation of these antibodies is crucial for reproducibility in exploring CYP1A1's role in disease mechanisms and therapeutic responses.

客户数据及评论

折叠内容

大包装询价

×