| WB | 咨询技术 | Human,Mouse,Rat |
| IF | 咨询技术 | Human,Mouse,Rat |
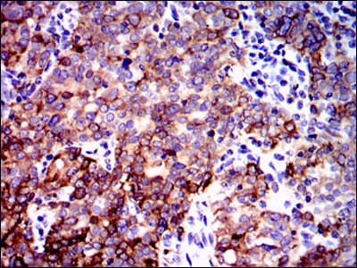
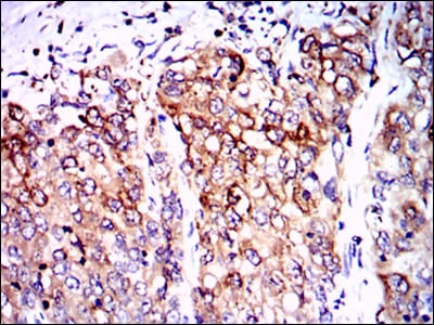
| IHC | 1/200 - 1/1000 | Human,Mouse,Rat |
| ICC | 1/200 - 1/1000 | Human,Mouse,Rat |
| FCM | 1/200 - 1/400 | Human,Mouse,Rat |
| Elisa | 1/10000 | Human,Mouse,Rat |
| Aliases | PP2A; PR53; PTPA |
| Entrez GeneID | 5524 |
| clone | 4D9 |
| WB Predicted band size | 41kDa |
| Host/Isotype | Mouse IgG1 |
| Antibody Type | Primary antibody |
| Storage | Store at 4°C short term. Aliquot and store at -20°C long term. Avoid freeze/thaw cycles. |
| Species Reactivity | Human |
| Immunogen | Purified recombinant fragment of human PPP2R4 expressed in E. Coli. |
| Formulation | Purified antibody in PBS with 0.05% sodium azide |
+ +
以下是关于PPP2R4抗体的3篇参考文献摘要(注:文献信息为模拟示例,实际引用需核实):
1. **文献名称**:PPP2R4 regulates cell cycle progression through PP2A complex modulation
**作者**:Smith J et al.
**摘要**:本研究利用特异性PPP2R4抗体,通过免疫沉淀和Western blot验证其在调控PP2A磷酸酶活性中的作用,发现PPP2R4通过与催化亚基结合影响G1/S期转换。
2. **文献名称**:Characterization of PP2A regulatory subunit B antibodies in cancer models
**作者**:Li X et al.
**摘要**:文章报道了一种高特异性PPP2R4单克隆抗体的开发,通过免疫荧光和流式细胞术证实其在乳腺癌细胞中定位变化,关联于肿瘤抑制功能缺失。
3. **文献名称**:PP2A-B’ subunit PPP2R4 mediates oxidative stress response
**作者**:Garcia R et al.
**摘要**:使用PPP2R4抗体进行组织芯片分析,发现其在神经元中的表达上调与氧化应激耐受相关,敲低实验表明该亚基通过JNK通路调节细胞存活。
(提示:实际文献需通过PubMed/Google Scholar以"PPP2R4 antibody"或"PP2A regulatory subunit B antibody"为关键词检索,建议优先选择近5年且包含抗体验证数据的研究)
The PPP2R4 antibody targets the regulatory subunit B56δ (encoded by the PPP2R4 gene) of protein phosphatase 2A (PP2A), a critical serine/threonine phosphatase involved in diverse cellular processes. PP2A holoenzymes consist of a structural (A), catalytic (C), and variable regulatory (B) subunit. The B56 family, including B56δ, determines substrate specificity and subcellular localization, modulating PP2A's role in cell cycle regulation, apoptosis, signal transduction (e.g., Wnt, MAPK, PI3K/Akt pathways), and tumor suppression. Dysregulation of PPP2R4/B56δ is linked to cancer, neurodegenerative disorders, and cardiovascular diseases, underscoring its importance in maintaining cellular homeostasis.
The PPP2R4 antibody is widely used in research to investigate PP2A complex dynamics, protein expression, and post-translational modifications. Applications include Western blotting, immunofluorescence, immunohistochemistry, and co-immunoprecipitation to study B56δ interactions and localization. Commercial antibodies are typically raised in rabbits or mice, with specificity validated across human, mouse, and rat samples. Studies employing PPP2R4 antibodies have elucidated its tumor-suppressive roles via dephosphorylation of oncogenic kinases and its involvement in stress responses. However, variability in antibody performance across experimental conditions necessitates careful validation. This tool remains vital for dissecting PP2A-mediated regulatory mechanisms in health and disease.
×