| WB | 1/500 - 1/2000 | Human,Mouse,Rat |
| IF | 咨询技术 | Human,Mouse,Rat |
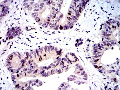
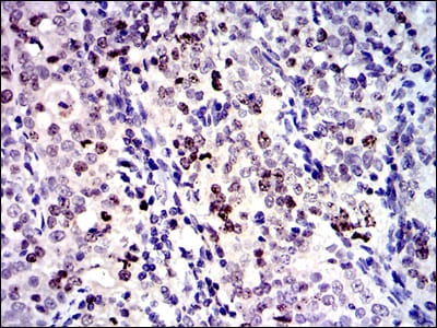
| IHC | 1/200 - 1/1000 | Human,Mouse,Rat |
| ICC | 1/200 - 1/1000 | Human,Mouse,Rat |
| FCM | 1/200 - 1/400 | Human,Mouse,Rat |
| Elisa | 1/10000 | Human,Mouse,Rat |
| Aliases | API4; EPR-1 |
| Entrez GeneID | 332 |
| clone | 1H5 |
| WB Predicted band size | 16kDa |
| Host/Isotype | Mouse IgG1 |
| Antibody Type | Primary antibody |
| Storage | Store at 4°C short term. Aliquot and store at -20°C long term. Avoid freeze/thaw cycles. |
| Species Reactivity | Human |
| Immunogen | Purified recombinant fragment of human BIRC5 expressed in E. Coli. |
| Formulation | Purified antibody in PBS with 0.05% sodium azide |
+ +
以下是关于BIRC5抗体的3篇代表性文献摘要:
1. **《Survivin as a biomarker for cancer diagnosis and therapy》**
- 作者:Altieri, D.C.
- 摘要:研究BIRC5(生存素)在多种癌症中的异常表达,提出其作为诊断标志物的潜力,并探讨基于BIRC5抗体的免疫组化检测在肿瘤病理分析中的应用。
2. **《Structure and function of the survivin–antibody complex》**
- 作者:Ambrosini, G. 等
- 摘要:通过晶体学分析BIRC5蛋白与特异性抗体的结合位点,揭示抗体抑制BIRC5抗凋亡功能的分子机制,为靶向治疗提供结构基础。
3. **《Targeted delivery of anti-survivin antibody to tumors》**
- 作者:Li, F. 等
- 摘要:开发一种基于BIRC5抗体的纳米药物递送系统,实验显示其能选择性识别肿瘤细胞并诱导凋亡,显著抑制小鼠模型中实体瘤的生长。
4. **《Clinical significance of serum survivin antibody detection in cancer patients》**
- 作者:Kawasaki, H. 等
- 摘要:通过ELISA技术检测癌症患者血清中BIRC5抗体的水平,发现其与肿瘤分期和预后相关,提示其作为非侵入性预后评估工具的可行性。
**Background of BIRC5 Antibody**
BIRC5 (Baculoviral IAP Repeat-Containing 5), also known as survivin, is a member of the inhibitor of apoptosis protein (IAP) family. It plays a dual role in regulating cell division and inhibiting programmed cell death (apoptosis). Structurally, BIRC5 contains a conserved baculovirus IAP repeat (BIR) domain critical for its anti-apoptotic function and interacts with microtubules during mitosis.
BIRC5 is highly expressed in embryonic tissues but is typically absent in most differentiated adult cells. However, its overexpression is strongly associated with numerous cancers, including breast, lung, colorectal, and pancreatic malignancies. This upregulation correlates with tumor progression, resistance to therapy, and poor prognosis, making BIRC5 a promising diagnostic and therapeutic target.
Antibodies targeting BIRC5 are widely used in research to detect its expression and localization in cells and tissues. These antibodies enable techniques like Western blotting, immunohistochemistry (IHC), and immunofluorescence (IF), aiding in the study of BIRC5's role in cancer biology, drug resistance mechanisms, and cell cycle regulation. Additionally, BIRC5-specific antibodies are explored in therapeutic strategies, such as monoclonal antibody therapies or CAR-T cell engineering, to selectively target cancer cells.
Overall, BIRC5 antibodies serve as vital tools for understanding cancer pathogenesis and developing precision oncology approaches.
×