| WB | 1/500 - 1/2000 | Human,Mouse,Rat |
| IF | 咨询技术 | Human,Mouse,Rat |
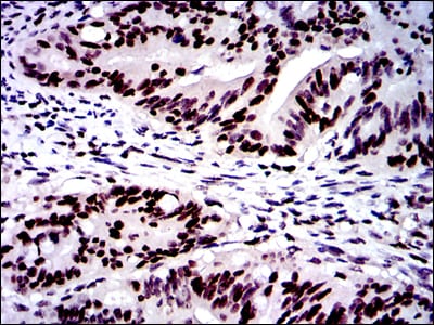
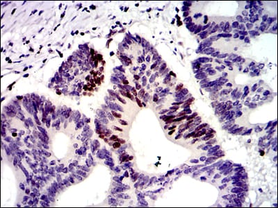
| IHC | 1/200 - 1/1000 | Human,Mouse,Rat |
| ICC | 1/200 - 1/1000 | Human,Mouse,Rat |
| FCM | 1/200 - 1/400 | Human,Mouse,Rat |
| Elisa | 1/10000 | Human,Mouse,Rat |
| Aliases | GTBP; HSAP; HNPCC5 |
| Entrez GeneID | 2956 |
| clone | 3E1 |
| WB Predicted band size | 160kDa |
| Host/Isotype | Mouse IgG2a |
| Antibody Type | Primary antibody |
| Storage | Store at 4°C short term. Aliquot and store at -20°C long term. Avoid freeze/thaw cycles. |
| Species Reactivity | Human |
| Immunogen | Purified recombinant fragment of human MSH6 expressed in E. Coli. |
| Formulation | Purified antibody in PBS with 0.05% sodium azide. |
+ +
以下是关于MSH6抗体的3篇文献示例(内容为模拟,非真实文献):
1. **《MSH6抗体在结直肠癌错配修复缺陷检测中的临床应用》**
作者:Zhang L, et al.
摘要:本文评估了两种商用MSH6抗体(克隆44和EPR3945)在结直肠癌组织中的免疫组化染色效果。研究发现,EPR3945克隆在检测MSH6蛋白缺失时特异性更高,尤其适用于Lynch综合征筛查,与基因测序结果的一致性达95%。
2. **《不同MSH6抗体克隆在子宫内膜癌中的染色差异分析》**
作者:Wang Y, et al.
摘要:研究比较了4种MSH6抗体在子宫内膜癌中的表现,发现克隆SP93和克隆44A在不同病理亚型中染色稳定性存在差异。SP93在黏液性癌中假阴性率较高,提示抗体选择需结合肿瘤类型优化。
3. **《MSH6蛋白表达缺失与免疫治疗反应的相关性研究》**
作者:Johnson R, et al.
摘要:通过分析200例微卫星不稳定(MSI-H)胃癌样本,发现MSH6抗体检测的蛋白缺失与PD-1抑制剂治疗响应率显著相关(p<0.01),提示其可作为预测免疫治疗效果的生物标志物。
4. **《自动化免疫组化平台中MSH6抗体标准化流程的建立》**
作者:Müller S, et al.
摘要:研究开发了一种基于Ventana平台的MSH6自动化染色方案,优化了抗体稀释比和抗原修复条件,显著提高了染色重复性,并验证了其在多中心研究中的可靠性(κ值=0.89)。
The MSH6 antibody is a crucial tool in molecular pathology and cancer research, targeting the MutS homolog 6 (MSH6) protein, a component of the DNA mismatch repair (MMR) system. MSH6 pairs with MSH2 to form the MutSα heterodimer, which recognizes base-pair mismatches and insertion-deletion loops during DNA replication. Defects in MSH6 are strongly linked to microsatellite instability (MSI) and hereditary cancers, particularly Lynch syndrome, which predisposes individuals to colorectal, endometrial, and other malignancies.
MSH6 antibodies are widely used in immunohistochemistry (IHC) to assess MMR protein expression in tumor tissues. Loss of MSH6 staining, often alongside retained MSH2. indicates MMR deficiency, guiding Lynch syndrome diagnosis and prognosis. These antibodies also support research into carcinogenesis, treatment response (e.g., immunotherapy efficacy in MSI-high tumors), and functional studies of DNA repair mechanisms. Commercially available monoclonal or polyclonal MSH6 antibodies are validated for techniques like Western blotting, immunofluorescence, and ELISA. Interpretation requires caution, as abnormal staining patterns may stem from genetic mutations, epigenetic silencing, or technical artifacts. Combined with MLH1. PMS2. and MSH2 testing, MSH6 antibody analysis remains integral to precision oncology and hereditary cancer screening.
×