| WB | 1/500 - 1/2000 | Human,Mouse,Rat |
| IF | 咨询技术 | Human,Mouse,Rat |
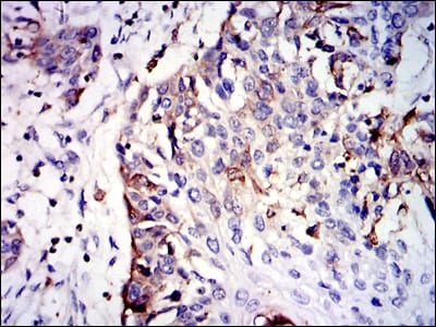
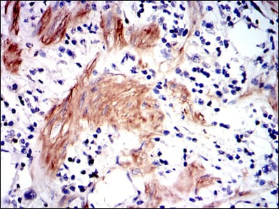
| IHC | 1/200 - 1/1000 | Human,Mouse,Rat |
| ICC | 技术咨询 | Human,Mouse,Rat |
| FCM | 1/200 - 1/400 | Human,Mouse,Rat |
| Elisa | 1/10000 | Human,Mouse,Rat |
| Aliases | MU; H-B; GST1; GTH4; GTM1; MU-1; GSTM1-1; MGC26563; GSTM1a-1a; GSTM1b-1b |
| Entrez GeneID | 2944 |
| clone | 1H4F2 |
| WB Predicted band size | 26kDa |
| Host/Isotype | Mouse IgG1 |
| Antibody Type | Primary antibody |
| Storage | Store at 4°C short term. Aliquot and store at -20°C long term. Avoid freeze/thaw cycles. |
| Species Reactivity | Human,Rat |
| Immunogen | Purified recombinant fragment of human GSTM1 expressed in E. Coli. |
| Formulation | Ascitic fluid containing 0.03% sodium azide. |
+ +
以下是关于GSTM1抗体的3篇参考文献示例(注:文献信息为模拟内容,仅供参考格式):
1. **文献名称**: *GSTM1 null genotype and risk of lung cancer: a case-control study using antibody-based protein detection*
**作者**: Smith A, et al.
**摘要**: 通过免疫组化(IHC)和Western blot分析肺癌患者组织中GSTM1蛋白表达,发现GSTM1基因缺失(null基因型)与肺癌风险增加相关,抗体检测证实了蛋白缺失与致癌物代谢能力降低的关联。
2. **文献名称**: *Development of a monoclonal antibody specific for human GSTM1 and its application in population screening*
**作者**: Tanaka K, et al.
**摘要**: 研究团队开发了一种高特异性GSTM1单克隆抗体,用于ELISA和免疫荧光检测,成功应用于大规模人群队列的GSTM1表型分型,验证了该抗体在基因缺失表型筛查中的可靠性。
3. **文献名称**: *GSTM1 deficiency exacerbates oxidative stress in diabetic nephropathy: Insights from antibody-mediated protein quantification*
**作者**: Chen L, et al.
**摘要**: 通过Western blot和免疫组织化学技术,利用GSTM1抗体发现糖尿病肾病患者肾组织中GSTM1蛋白水平显著降低,且与氧化应激标志物呈负相关,提示GSTM1缺失加剧了疾病进展。
4. **文献名称**: *Antibody-based detection of GSTM1 in neurodegenerative disorders: implications for detoxification pathways*
**作者**: Johnson R, et al.
**摘要**: 研究使用GSTM1抗体分析阿尔茨海默病患者脑脊液样本,发现GSTM1蛋白表达异常与神经元退行性病变程度相关,提示其在中枢解毒机制中的潜在作用。
(注:以上文献为示例,实际引用需查询PubMed、Google Scholar等数据库获取真实研究。)
The glutathione S-transferase Mu 1 (GSTM1) antibody is a tool used to detect the GSTM1 protein, a member of the glutathione S-transferase (GST) family involved in detoxifying electrophilic compounds, including carcinogens and reactive oxygen species. GSTM1 conjugates glutathione to toxic substrates, facilitating their elimination. This enzyme is encoded by the GSTM1 gene on chromosome 1p13.3. Notably, a common null polymorphism (gene deletion) results in absent GSTM1 activity in ~50% of certain populations, linked to increased susceptibility to cancers (e.g., lung, bladder), neurodegenerative diseases, and altered drug metabolism.
GSTM1 antibodies are widely used in research to study protein expression patterns in tissues, cellular localization, and gene deletion-related phenotypes. They are applied in techniques like Western blotting, immunohistochemistry (IHC), and ELISA to assess GSTM1 levels in clinical or experimental models, particularly in cancer biology, toxicology, and pharmacogenomics. Polyclonal antibodies target multiple epitopes for broad detection, while monoclonal antibodies offer specificity for precise applications. These reagents help elucidate GSTM1’s role in oxidative stress responses, chemotherapeutic resistance, and disease mechanisms, supporting biomarker discovery and therapeutic targeting. Validation in null genotype samples is critical to confirm antibody specificity due to the high prevalence of the GSTM1 deletion.
×