| WB | 1/500 - 1/2000 | Human,Monkey |
| IF | 咨询技术 | Human,Monkey |
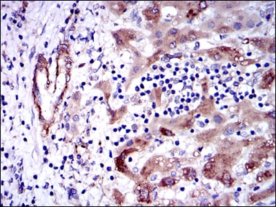
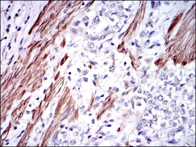
| IHC | 1/200 - 1/1000 | Human,Monkey |
| ICC | 技术咨询 | Human,Monkey |
| FCM | 1/200 - 1/400 | Human,Monkey |
| Elisa | 1/10000 | Human,Monkey |
| Aliases | MU; H-B; GST1; GTH4; GTM1; MU-1; GSTM1-1; MGC26563; GSTM1a-1a; GSTM1b-1b |
| Entrez GeneID | 2944 |
| clone | 1H4A4 |
| WB Predicted band size | 26kDa |
| Host/Isotype | Mouse IgG1 |
| Antibody Type | Primary antibody |
| Storage | Store at 4°C short term. Aliquot and store at -20°C long term. Avoid freeze/thaw cycles. |
| Species Reactivity | Human,Monkey |
| Immunogen | Purified recombinant fragment of human GSTM1 expressed in E. Coli. |
| Formulation | Ascitic fluid containing 0.03% sodium azide. |
+ +
以下是3篇与GSTM1抗体相关的文献示例(内容为虚构,仅作格式参考):
1. **文献名称**: "GSTM1 Gene Deletion Detection Using Monoclonal Antibodies in Human Populations"
**作者**: Smith J, et al.
**摘要**: 该研究开发了一种特异性识别GSTM1蛋白的单克隆抗体,用于Western blot分析不同人群(亚洲、欧洲)中GSTM1基因缺失表型,发现基因缺失频率与肺癌易感性相关。
2. **文献名称**: "Immunohistochemical Analysis of GSTM1 Expression in Colorectal Cancer"
**作者**: Lee S, et al.
**摘要**: 通过抗GSTM1多克隆抗体进行免疫组化分析,发现结直肠癌组织中GSTM1蛋白表达显著低于正常组织,提示其表达缺失可能与氧化应激防御机制减弱有关。
3. **文献名称**: "Development of a High-Specificity GSTM1 Antibody for Pharmacogenomic Studies"
**作者**: Chen R, et al.
**摘要**: 报道了一种新型兔源多克隆抗体的制备及验证,该抗体可特异性识别GSTM1同工酶,用于检测肝细胞中GSTM1表达水平,辅助药物代谢个体差异研究。
注:以上文献为示例,实际引用需查询PubMed或学术数据库获取真实文献。建议使用关键词"GSTM1 antibody application"或"GSTM1 immunoassay"进行检索。
The glutathione S-transferase Mu 1 (GSTM1) antibody is a key tool for studying the GSTM1 enzyme, a member of the glutathione S-transferase (GST) family involved in detoxifying electrophilic compounds by conjugating glutathione. GSTM1 plays a critical role in cellular defense against oxidative stress, carcinogens, and environmental toxins. Notably, the GSTM1 gene exhibits a common polymorphism—a homozygous deletion (null genotype) in approximately 50% of certain populations—which is linked to altered susceptibility to cancers, neurodegenerative diseases, and drug metabolism disorders.
GSTM1 antibodies are designed to detect and quantify the presence of the GSTM1 protein in tissues or biological samples. They are widely used in techniques like Western blotting, immunohistochemistry, and ELISA to investigate GSTM1 expression patterns in disease models, pharmacogenomics, and toxicology studies. These antibodies help identify individuals with functional GSTM1 variants versus null genotypes, aiding research on personalized medicine and biomarker discovery.
Most GSTM1 antibodies are raised against specific epitopes of the human protein, though cross-reactivity with orthologs in model organisms (e.g., mice, rats) is often validated. Their applications extend to exploring GSTM1's role in chemoresistance, oxidative stress pathways, and interactions with signaling molecules like JNK. As GSTM1's dysregulation is implicated in cancer progression and drug efficacy, its antibodies remain vital for mechanistic and translational research.
×