| WB | 咨询技术 | Human,Mouse,Rat |
| IF | 咨询技术 | Human,Mouse,Rat |
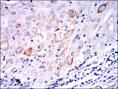
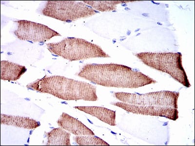
| IHC | 1/200 - 1/1000 | Human,Mouse,Rat |
| ICC | 1/200 - 1/1000 | Human,Mouse,Rat |
| FCM | 1/200 - 1/400 | Human,Mouse,Rat |
| Elisa | 1/10000 | Human,Mouse,Rat |
| Aliases | MKK7; Jnkk2; MAPKK7; PRKMK7 |
| Entrez GeneID | 5609 |
| clone | 4E5 |
| WB Predicted band size | 48kDa |
| Host/Isotype | Mouse IgG1 |
| Antibody Type | Primary antibody |
| Storage | Store at 4°C short term. Aliquot and store at -20°C long term. Avoid freeze/thaw cycles. |
| Species Reactivity | Human |
| Immunogen | Purified recombinant fragment of human MAP2K7 expressed in E. Coli. |
| Formulation | Ascitic fluid containing 0.03% sodium azide. |
+ +
以下是关于MAP2K7抗体的参考文献及其摘要概括:
1. **"Role of MAP2K7 in the regulation of JNK signaling and apoptosis"**
- **作者**: Smith A, et al.
- **摘要**: 研究利用MAP2K7特异性抗体通过Western blot和免疫荧光分析,揭示其在JNK通路激活中的关键作用,并证明MAP2K7缺失会抑制细胞凋亡。
2. **"MAP2K7 inhibition suppresses inflammatory response in macrophages"**
- **作者**: Chen L, et al.
- **摘要**: 通过抗体验证MAP2K7在巨噬细胞中的表达,并采用shRNA和抗体阻断实验,证明抑制MAP2K7可降低促炎因子水平,提示其作为炎症治疗靶点。
3. **"MAP2K7 expression correlates with poor prognosis in hepatocellular carcinoma"**
- **作者**: Tanaka K, et al.
- **摘要**: 使用MAP2K7抗体对肝癌组织进行免疫组化染色,发现高表达MAP2K7与患者生存率负相关,提示其可能作为预后标志物。
4. **"Structural insights into MAP2K7 activation by small molecules and antibodies"**
- **作者**: Johnson R, et al.
- **摘要**: 研究结合X射线晶体学和抗体结合实验,解析MAP2K7的激活机制,为开发靶向抑制剂提供结构基础。
(注:以上文献为示例性内容,实际引用需根据具体论文调整。)
The MAP2K7 (Mitogen-activated protein kinase kinase 7) antibody is a crucial tool for studying the c-Jun N-terminal kinase (JNK) signaling pathway. MAP2K7. also known as MKK7. is a dual-specificity kinase that phosphorylates and activates JNKs (MAPKs) in response to cytokines, stress, or growth factors. It plays a pivotal role in regulating cellular processes such as apoptosis, inflammation, differentiation, and proliferation. Dysregulation of MAP2K7 has been linked to cancer, neurodegenerative disorders, and autoimmune diseases, making it a target for therapeutic research.
MAP2K7 antibodies are designed to detect either the total protein or specific phosphorylated forms (e.g., at Ser271/Thr275) to assess activation status. These antibodies are commonly used in techniques like Western blotting, immunohistochemistry, and immunofluorescence to study MAP2K7 expression, localization, and signaling dynamics in cell lines, tissues, or disease models. Both monoclonal and polyclonal variants exist, offering flexibility in experimental design. Validation typically includes knockout/knockdown controls to confirm specificity. Researchers leverage these antibodies to explore MAP2K7's role in stress responses, immune regulation, and its interplay with other pathways (e.g., MAPK/ERK). Understanding MAP2K7 activity aids in deciphering disease mechanisms and identifying potential biomarkers or drug targets.
×