| WB | 1/500 - 1/2000 | Human,Mouse,Rat |
| IF | 咨询技术 | Human,Mouse,Rat |
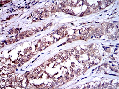
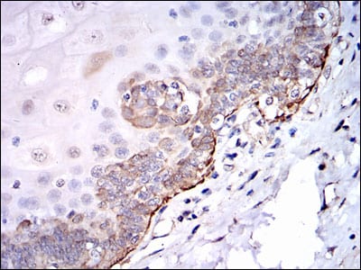
| IHC | 1/200 - 1/1000 | Human,Mouse,Rat |
| ICC | 技术咨询 | Human,Mouse,Rat |
| FCM | 1/200 - 1/400 | Human,Mouse,Rat |
| Elisa | 1/10000 | Human,Mouse,Rat |
| Aliases | ASV; SRC1; c-SRC; p60-Src |
| Entrez GeneID | 6714 |
| clone | 1F11 |
| WB Predicted band size | 60kDa |
| Host/Isotype | Mouse IgG1 |
| Antibody Type | Primary antibody |
| Storage | Store at 4°C short term. Aliquot and store at -20°C long term. Avoid freeze/thaw cycles. |
| Species Reactivity | Human |
| Immunogen | Purified recombinant fragment of human SRC expressed in E. Coli. |
| Formulation | Purified antibody in PBS with 0.05% sodium azide. |
+ +
以下是关于SRC抗体的3篇参考文献,包含文献名称、作者及摘要内容概括:
---
1. **文献名称**:*"Regulation, substrates and functions of src"*
**作者**:Brown, M. T., & Cooper, J. A.
**摘要**:该综述详细探讨了SRC蛋白的调控机制、底物及其在细胞信号传导中的功能,重点阐述了SRC在肿瘤发生中的作用,并提及使用特异性抗体检测SRC磷酸化状态以研究其激活途径。
---
2. **文献名称**:*"Development of a monoclonal antibody specific for the activated SRC kinase"*
**作者**:Honda, H., et al.
**摘要**:研究团队开发了一种针对活化状态SRC激酶的单克隆抗体,该抗体能特异性识别SRC在酪氨酸416位点的磷酸化形式,显著提高了在免疫印迹和免疫荧光中检测活性SRC的灵敏度和特异性。
---
3. **文献名称**:*"Elevated expression of pp60c-src in human colorectal carcinoma"*
**作者**:Cartwright, C. A., et al.
**摘要**:通过免疫组化和Western blot分析,研究发现结直肠癌组织中SRC蛋白(pp60c-src)的表达水平显著高于正常组织,提示SRC可能作为肿瘤标志物,并依赖特异性抗体验证其过表达与癌症进展的关联。
---
如需扩展,可进一步检索近年文献数据库(如PubMed)获取最新研究进展。
The SRC antibody is a crucial tool in studying the SRC family of non-receptor tyrosine kinases, which play pivotal roles in cellular signaling. Discovered in 1976 as the first proto-oncogene (v-Src) from the Rous sarcoma virus, the cellular homolog c-SRC became a focal point in cancer research due to its dysregulation in malignancies. SRC kinases regulate diverse processes including cell proliferation, differentiation, adhesion, and motility through signaling pathways like MAPK and PI3K/AKT.
Structurally, SRC contains SH2 and SH3 domains that mediate protein interactions and a kinase domain responsible for enzymatic activity. Its activity is tightly controlled by phosphorylation at key tyrosine residues (Y419/Y527 in humans). Aberrant SRC activation through mutations or overexpression is implicated in various cancers, metastasis, and drug resistance.
SRC antibodies are essential reagents for detecting SRC expression, phosphorylation status, and localization in research and diagnostics. They enable techniques like Western blotting, immunohistochemistry, and flow cytometry, helping elucidate SRC's role in tumor progression and therapeutic responses. Therapeutic SRC inhibitors (e.g., dasatinib) and associated antibodies have become valuable in targeted cancer treatment studies. Recent research extends SRC's involvement to non-cancer pathologies, including bone metabolism and neurological disorders, broadening the antibody's applications in biomedical research.
×