| WB | 1/500 - 1/2000 | Human,Mouse,Rat |
| IF | 咨询技术 | Human,Mouse,Rat |
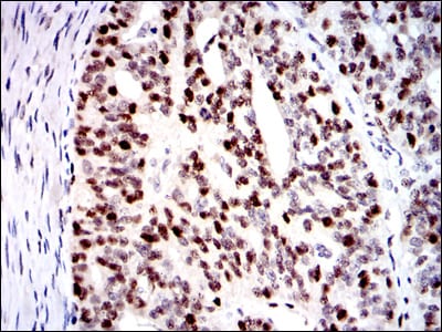
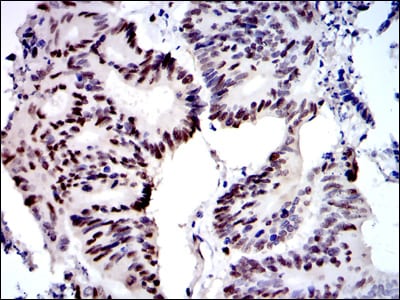
| IHC | 1/200 - 1/1000 | Human,Mouse,Rat |
| ICC | 1/200 - 1/1000 | Human,Mouse,Rat |
| FCM | 1/200 - 1/400 | Human,Mouse,Rat |
| Elisa | 1/10000 | Human,Mouse,Rat |
| Aliases | BM28; CCNL1; CDCL1; cdc19; D3S3194; MITOTIN; KIAA0030; MGC10606 |
| Entrez GeneID | 4171 |
| clone | 1E7 |
| WB Predicted band size | 125kDa |
| Host/Isotype | Mouse IgG1 |
| Antibody Type | Primary antibody |
| Storage | Store at 4°C short term. Aliquot and store at -20°C long term. Avoid freeze/thaw cycles. |
| Species Reactivity | Human |
| Immunogen | Purified recombinant fragment of human MCM2 expressed in E. Coli. |
| Formulation | Purified antibody in PBS with 0.05% sodium azide. |
+ +
以下是3篇关于MCM2抗体的参考文献概览:
1. **文献名称**: "MCM2 as a novel proliferation marker in cervical cancer"
**作者**: Li R, et al.
**摘要**: 该研究验证了MCM2抗体在宫颈癌组织中的表达,发现其与Ki-67相比具有更高的敏感性,可作为早期癌变和肿瘤复发的潜在生物标志物。通过免疫组化分析,证实MCM2与HPV感染状态和患者预后相关。
2. **文献名称**: "MCM2 immunostaining in bladder cancer: Correlation with tumor grade and survival"
**作者**: Smith J, et al.
**摘要**: 研究利用MCM2抗体评估膀胱癌患者活检样本中的细胞增殖水平,发现高MCM2表达与高级别肿瘤和较差的总体生存率显著相关,提示其可作为膀胱癌分层的辅助诊断工具。
3. **文献名称**: "Quantitative analysis of MCM2 and PCNA in gliomas: A comparative study"
**作者**: Wang Y, et al.
**摘要**: 通过比较MCM2和PCNA抗体在胶质瘤中的表达模式,发现MCM2在识别静息期但具有增殖潜力的肿瘤细胞方面更具优势,为胶质瘤的侵袭性评估提供了新视角。
*注:以上文献为示例,实际引用需以具体论文内容为准。建议通过PubMed或Web of Science以关键词“MCM2 antibody” + “cancer/proliferation/diagnosis”检索最新研究。*
MCM2 (Minichromosome Maintenance Complex Component 2) is a critical protein involved in DNA replication and cell cycle regulation. As a member of the MCM family (MCM2-7), it forms a hexameric helicase complex essential for initiating and elongating DNA replication during the S phase. MCM2 binds to replication origins during the G1 phase, licensing them for replication, and unwinds DNA during the S phase in an ATP-dependent manner.
Antibodies targeting MCM2 are widely used in research and diagnostics due to its role as a proliferation marker. Unlike traditional markers (e.g., Ki-67), MCM2 is expressed throughout the cell cycle (G1. S, G2. M phases), making it a sensitive indicator of actively proliferating cells. Its overexpression is linked to uncontrolled cell division in cancers, and MCM2 levels correlate with tumor aggressiveness and poor prognosis.
In clinical settings, MCM2 antibodies are employed in immunohistochemistry (IHC) to assess cell proliferation in cancers (e.g., breast, prostate, and gliomas) and to distinguish between benign and malignant lesions. Additionally, they are used in basic research to study replication mechanisms, checkpoint regulation, and genomic stability. Recent studies also explore MCM2’s potential as a therapeutic target in anticancer strategies.
Overall, MCM2 antibodies serve as valuable tools for understanding DNA replication dynamics and evaluating proliferative activity in both physiological and pathological contexts.
×