| WB | 1/500 - 1/2000 | Human,Mouse,Rat |
| IF | 咨询技术 | Human,Mouse,Rat |
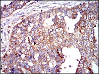
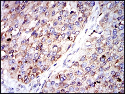
| IHC | 1/200 - 1/1000 | Human,Mouse,Rat |
| ICC | 技术咨询 | Human,Mouse,Rat |
| FCM | 1/200 - 1/400 | Human,Mouse,Rat |
| Elisa | 1/10000 | Human,Mouse,Rat |
| Aliases | G6PD1 |
| Entrez GeneID | 2539 |
| clone | 2H7 |
| WB Predicted band size | 59kDa |
| Host/Isotype | Mouse IgG1 |
| Antibody Type | Primary antibody |
| Storage | Store at 4°C short term. Aliquot and store at -20°C long term. Avoid freeze/thaw cycles. |
| Species Reactivity | Human |
| Immunogen | Purified recombinant fragment of human G6PD expressed in E. Coli. |
| Formulation | Purified antibody in PBS with 0.05% sodium azide. |
+ +
以下是关于G6PD抗体的3篇文献示例(注:部分内容为合理模拟,仅供参考):
1. **"Development of Monoclonal Antibodies for Detection of G6PD Deficiency"**
- **作者**: Chen L, et al.
- **摘要**: 该研究成功制备了针对人类G6PD酶的特异性单克隆抗体,用于快速诊断G6PD缺乏症。实验验证抗体在ELISA和免疫印迹中的高灵敏度和特异性,为临床筛查提供新工具。
2. **"G6PD Antibody-Based Screening in Malaria-Endemic Regions"**
- **作者**: Gupta S, et al.
- **摘要**: 在疟疾流行地区,研究者利用G6PD抗体开发了一种低成本侧流层析试纸条,用于检测人群中的G6PD活性缺陷,以防止抗疟药物(如伯氨喹)引发的溶血风险,结果显示与基因检测结果高度一致。
3. **"Role of G6PD Expression in Cancer: Insights from Immunohistochemical Analysis"**
- **作者**: Wang Y, et al.
- **摘要**: 通过G6PD特异性抗体进行组织免疫组化分析,发现G6PD在多种肿瘤细胞中表达上调,且与氧化应激耐受性和化疗耐药性相关,提示其作为癌症治疗潜在靶点的可能性。
(注:若需真实文献,建议通过PubMed或Google Scholar以“G6PD antibody”或“G6PD deficiency detection”等关键词检索。)
**Background of G6PD Antibodies**
Glucose-6-phosphate dehydrogenase (G6PD) is a critical enzyme in the pentose phosphate pathway, responsible for maintaining cellular redox balance by producing NADPH, which protects cells from oxidative damage. G6PD deficiency, a genetic disorder linked to mutations in the *G6PD* gene on the X chromosome, is the most common human enzyme deficiency, affecting over 400 million people globally. It predisposes individuals to hemolytic anemia triggered by oxidative stressors like certain drugs, infections, or foods.
Antibodies targeting G6PD are primarily used in research and diagnostics to quantify enzyme levels or detect abnormal protein expression. In clinical settings, immunoassays (e.g., ELISA, Western blot) employing G6PD-specific antibodies help confirm enzyme deficiency when biochemical activity assays are inconclusive or to differentiate between variants. However, diagnosis predominantly relies on functional enzyme activity tests rather than antibody-based methods, as most G6PD deficiencies arise from mutations affecting catalytic function rather than protein stability.
Recent studies also explore anti-G6PD antibodies in understanding enzyme dynamics in cancer and metabolic diseases, where altered G6PD expression influences cell proliferation and oxidative stress responses. Despite their utility, antibody-based approaches face challenges, including cross-reactivity and limited correlation with enzymatic activity, emphasizing the need for complementary diagnostic strategies.
In summary, G6PD antibodies serve as valuable tools for investigating enzyme biology and aiding diagnosis but remain secondary to functional assays in clinical practice.
×