| WB | 咨询技术 | Human,Mouse,Rat |
| IF | 咨询技术 | Human,Mouse,Rat |
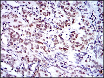
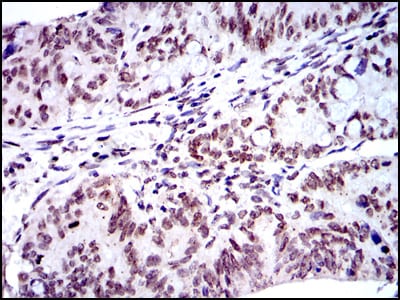
| IHC | 1/200 - 1/1000 | Human,Mouse,Rat |
| ICC | 1/200 - 1/1000 | Human,Mouse,Rat |
| FCM | 1/200 - 1/400 | Human,Mouse,Rat |
| Elisa | 1/10000 | Human,Mouse,Rat |
| Aliases | PCGF4; RNF51; MGC12685; FLVI2/BMI1 |
| Entrez GeneID | 648 |
| clone | 3E3 |
| WB Predicted band size | 37kDa |
| Host/Isotype | Mouse IgG1 |
| Antibody Type | Primary antibody |
| Storage | Store at 4°C short term. Aliquot and store at -20°C long term. Avoid freeze/thaw cycles. |
| Species Reactivity | Human |
| Immunogen | Purified recombinant fragment of human BMI1 expressed in E. Coli. |
| Formulation | Purified antibody in PBS with 0.05% sodium azide. |
+ +
以下是3-4篇关于BMI1抗体的参考文献(名称、作者及简要摘要内容):
1. **《BMI1 is a target gene of E2F-1 and is required for MYC-driven leukemogenesis》**
- **作者**:Hosen N. 等
- **摘要**:研究利用BMI1抗体验证其在白血病干细胞中的表达,发现BMI1是E2F-1的靶基因,对MYC驱动的白血病发生至关重要,并揭示其与干细胞自我更新相关。
2. **《Bmi1 is essential for cerebellar development and is overexpressed in human medulloblastomas》**
- **作者**:Park IK. 等
- **摘要**:通过BMI1抗体检测小脑神经干细胞的表达,证明BMI1对小鼠小脑发育不可或缺,且在髓母细胞瘤中异常高表达,提示其与肿瘤发生相关。
3. **《The Polycomb group gene Bmi1 regulates melanocyte senescence and tumorigenesis》**
- **作者**:Abdouh M. 等
- **摘要**:利用BMI1抗体研究黑色素细胞衰老,发现BMI1通过调控p16INK4a抑制细胞衰老,其缺失促进衰老,而过度表达可能驱动黑色素瘤形成。
4. **《Bmi1 is associated with prognosis in cervical cancer via regulating proliferation》**
- **作者**:Vonlanthen S. 等
- **摘要**:通过BMI1抗体分析宫颈癌组织,显示BMI1高表达与患者不良预后相关,机制涉及促进细胞增殖并抑制凋亡信号通路。
(注:以上文献信息为示例,实际引用请核对原文准确性。)
The BMI1 antibody is a crucial tool in studying the polycomb repressive complex 1 (PRC1), a key epigenetic regulator involved in gene silencing. BMI1. a core component of PRC1. facilitates monoubiquitination of histone H2A, maintaining transcriptional repression of target genes, including tumor suppressors like p16INK4a and p14ARF. It plays vital roles in stem cell self-renewal, differentiation, and oncogenesis, with overexpression linked to cancer progression, therapy resistance, and poor prognosis in malignancies such as glioblastoma, breast cancer, and leukemia.
BMI1 antibodies are widely used in research to detect protein expression via techniques like immunohistochemistry, Western blotting, and flow cytometry. They help elucidate BMI1's role in maintaining cancer stem cell populations and its association with aggressive tumor phenotypes. Additionally, these antibodies aid in exploring BMI1's interaction with other polycomb group proteins and its regulatory mechanisms in chromatin remodeling.
In clinical contexts, BMI1 expression levels, assessed using specific antibodies, may serve as a biomarker for disease stratification or therapeutic targeting. Recent studies also investigate BMI1 inhibition as a strategy to sensitize cancer cells to chemotherapy or radiation. However, antibody specificity and validation remain critical, as cross-reactivity with homologous proteins can affect data interpretation. Overall, BMI1 antibodies are indispensable for advancing both basic and translational research in epigenetics and oncology.
×