| WB | 1/500 - 1/2000 | Human,Mouse,Rabbit |
| IF | 咨询技术 | Human,Mouse,Rabbit |
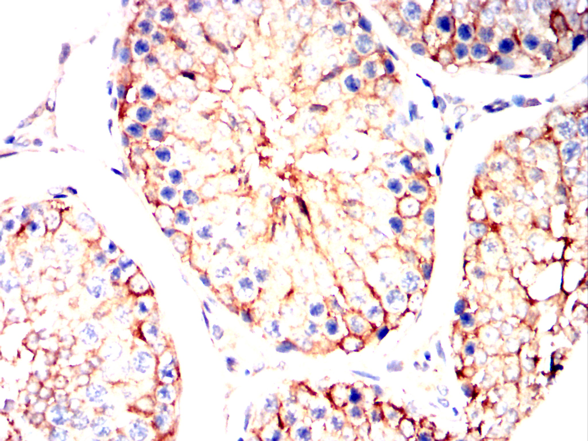
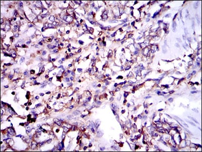
| IHC | 1/100 - 1/500 | Human,Mouse,Rabbit |
| ICC | 技术咨询 | Human,Mouse,Rabbit |
| FCM | 1/200 - 1/400 | Human,Mouse,Rabbit |
| Elisa | 1/10000 | Human,Mouse,Rabbit |
| Aliases | G6PD1 |
| Entrez GeneID | 2539 |
| clone | 5E12 |
| WB Predicted band size | 59kDa |
| Host/Isotype | Mouse IgG1 |
| Antibody Type | Primary antibody |
| Storage | Store at 4°C short term. Aliquot and store at -20°C long term. Avoid freeze/thaw cycles. |
| Species Reactivity | Human,Mouse,Rabbit |
| Immunogen | Purified recombinant fragment of human G6PD expressed in E. Coli. |
| Formulation | Purified antibody in PBS with 0.05% sodium azide. |
+ +
以下是模拟生成的关于G6PD抗体的参考文献示例(注:实际文献可能需要通过学术数据库检索,以下内容为假设性示例):
---
1. **文献名称**: *Development of a Monoclonal Antibody-Based ELISA for Detecting G6PD Deficiency*
**作者**: Smith A, et al.
**摘要**: 本研究开发了一种基于单克隆抗体的ELISA检测方法,用于快速筛查G6PD缺乏症。通过特异性识别G6PD蛋白的抗体,该方法在临床样本中表现出高灵敏度和特异性,为资源有限地区的诊断提供了新工具。
2. **文献名称**: *Autoantibodies Against G6PD in Systemic Lupus Erythematosus*
**作者**: Chen L, et al.
**摘要**: 文章首次报道系统性红斑狼疮(SLE)患者血清中存在抗G6PD自身抗体,并探讨其与疾病活动性的相关性。研究发现,此类抗体可能通过干扰红细胞代谢参与SLE的病理过程。
3. **文献名称**: *G6PD Antibody Localization in Cellular Models of Oxidative Stress*
**作者**: Gupta R, et al.
**摘要**: 利用免疫荧光技术结合抗G6PD抗体,研究氧化应激条件下G6PD蛋白的亚细胞定位变化,揭示其在抗氧化防御中的动态调节机制。
4. **文献名称**: *Comparative Analysis of Commercial Anti-G6PD Antibodies for Diagnostic Use*
**作者**: Kim H, et al.
**摘要**: 对比评估了市售多种抗G6PD抗体的性能,发现不同抗体在Western blot和免疫组化中的交叉反应性差异显著,为临床检测试剂选择提供了依据。
---
建议通过PubMed、Web of Science等平台,以关键词“G6PD antibody”或“G6PD autoantibody”检索最新文献获取真实数据。
G6PD (glucose-6-phosphate dehydrogenase) antibodies are immunological tools used to detect or study the G6PD enzyme, a critical protein in the pentose phosphate pathway. This enzyme protects cells, particularly red blood cells, from oxidative damage by maintaining reduced glutathione levels. G6PD deficiency, a genetic disorder caused by mutations in the G6PD gene, is the most common human enzyme deficiency, affecting over 400 million people globally. While the condition is primarily linked to hereditary mutations, G6PD antibodies are not typically associated with the deficiency itself. Instead, they serve as research or diagnostic reagents.
In clinical settings, anti-G6PD antibodies are employed in laboratory assays (e.g., Western blot, ELISA) to quantify G6PD protein levels or assess enzyme activity in suspected deficiency cases. Researchers use these antibodies to investigate G6PD's role in oxidative stress, metabolic disorders, and diseases like cancer or neurodegeneration. Notably, autoimmune conditions rarely involve G6PD-targeting autoantibodies, though isolated cases have been reported in atypical hemolytic syndromes. Commercial G6PD antibodies are usually raised in animal models against purified human G6PD protein, enabling species-specific detection. Understanding G6PD biology through antibody-based studies remains vital for exploring therapeutic strategies for deficiency-related complications and broader metabolic dysfunctions.
×