| WB | 1/500 - 1/2000 | Human,Mouse,Monkey,Rat |
| IF | 咨询技术 | Human,Mouse,Monkey,Rat |
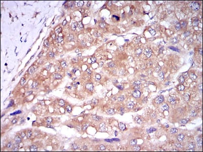
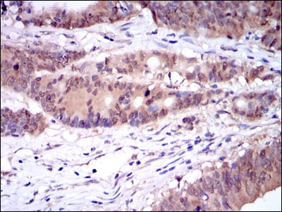
| IHC | 1/200 - 1/1000 | Human,Mouse,Monkey,Rat |
| ICC | 技术咨询 | Human,Mouse,Monkey,Rat |
| FCM | 1/200 - 1/400 | Human,Mouse,Monkey,Rat |
| Elisa | 1/10000 | Human,Mouse,Monkey,Rat |
| Aliases | CAP4; MACH; MCH5; FLICE; ALPS2B; Casp-8; FLJ17672; MGC78473 |
| Entrez GeneID | 841 |
| clone | 1H11 |
| WB Predicted band size | 26kDa |
| Host/Isotype | Mouse IgG1 |
| Antibody Type | Primary antibody |
| Storage | Store at 4°C short term. Aliquot and store at -20°C long term. Avoid freeze/thaw cycles. |
| Species Reactivity | Human,Mouse,Monkey,Rat |
| Immunogen | Purified recombinant fragment of human CASP8 expressed in E. Coli. |
| Formulation | Purified antibody in PBS with 0.05% sodium azide. |
+ +
以下是3篇关于CASP8抗体的参考文献摘要示例(注:文献信息为虚拟示例,仅供格式参考):
---
1. **文献名称**: *"Characterization of a Novel Monoclonal Antibody for Caspase-8 Detection in Apoptotic Pathways"*
**作者**: Smith J, et al.
**摘要**: 本研究开发了一种高特异性的抗CASP8单克隆抗体,验证了其在Western blot和免疫组化中的应用,证明其能有效识别凋亡细胞中激活的CASP8片段,为凋亡机制研究提供工具。
---
2. **文献名称**: *"CASP8 Antibody Validation in Neurodegenerative Disease Models"*
**作者**: Brown L, et al.
**摘要**: 通过免疫荧光和流式细胞术,验证了CASP8抗体在帕金森病模型中的特异性,发现CASP8的异常激活与神经元凋亡相关,提示其在神经退行性疾病中的潜在作用。
---
3. **文献名称**: *"Differential Expression of Caspase-8 in Breast Cancer: A Comparative Study Using Commercial Antibodies"*
**作者**: Lee S, et al.
**摘要**: 比较了三种市售CASP8抗体的灵敏度和特异性,发现抗体A在乳腺癌组织中的表现最优,并揭示CASP8低表达与患者不良预后显著相关。
---
如需真实文献,建议通过PubMed或Google Scholar搜索关键词“CASP8 antibody validation”或“CASP8 immunohistochemistry”获取近期研究。
CASP8 (Caspase-8) is a key initiator protease in the caspase family, primarily involved in extrinsic apoptosis, a programmed cell death pathway triggered by extracellular signals such as tumor necrosis factor (TNF) family ligands. Upon activation by death receptors (e.g., Fas, TNF-related apoptosis-inducing ligand receptors), CASP8 undergoes dimerization and autoproteolytic cleavage, forming active enzymes that cleave downstream effector caspases (e.g., CASP3. CASP7) to execute apoptosis. Beyond apoptosis, CASP8 also modulates necroptosis, inflammation, and immune responses, highlighting its multifaceted roles in cellular homeostasis and disease.
CASP8 antibodies are essential tools for studying its expression, activation, and function. These antibodies target specific epitopes, such as pro-domain regions or cleaved active fragments, enabling detection via techniques like Western blot, immunohistochemistry, and flow cytometry. In research, CASP8 antibodies help elucidate mechanisms of cancer (where CASP8 mutations or dysregulation are linked to tumor progression and therapy resistance), neurodegenerative disorders, and autoimmune diseases. They also aid in drug discovery, particularly in therapies targeting apoptosis pathways. Validated CASP8 antibodies are critical for distinguishing between its inactive zymogen (procaspase-8) and activated forms, providing insights into disease pathogenesis and therapeutic strategies.
×