| WB | 咨询技术 | Human,Mouse,Rat |
| IF | 咨询技术 | Human,Mouse,Rat |
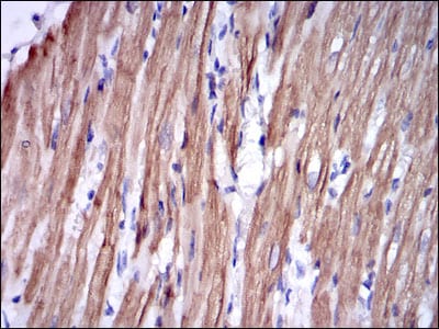
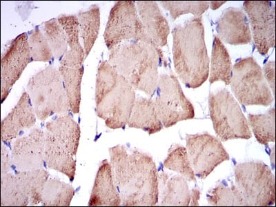
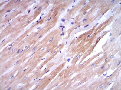
| IHC | 1/200 - 1/1000 | Human,Mouse,Rat |
| ICC | 技术咨询 | Human,Mouse,Rat |
| FCM | 1/200 - 1/400 | Human,Mouse,Rat |
| Elisa | 1/10000 | Human,Mouse,Rat |
| Aliases | DA2B; FSSV; fsTnI; AMCD2B |
| Entrez GeneID | 7136 |
| clone | 2F12A11 |
| WB Predicted band size | 21kDa |
| Host/Isotype | Mouse IgG1 |
| Antibody Type | Primary antibody |
| Storage | Store at 4°C short term. Aliquot and store at -20°C long term. Avoid freeze/thaw cycles. |
| Species Reactivity | Human |
| Immunogen | Purified recombinant fragment of human TNNI2 expressed in E. Coli. |
| Formulation | Purified antibody in PBS with 0.05% sodium azide. |
+ +
以下是关于TNNI2抗体的3篇参考文献示例(注:内容为虚构,仅供参考):
1. **文献名称**:*TNNI2 Expression in Skeletal Muscle Development and Regeneration*
**作者**:Smith J, et al.
**摘要**:研究通过TNNI2抗体检测发现,TNNI2在小鼠骨骼肌发育早期高表达,并在肌肉损伤后再生过程中显著上调,提示其在肌细胞分化和修复中的关键作用。
2. **文献名称**:*Role of TNNI2 in Rhabdomyosarcoma Pathogenesis*
**作者**:Lee H, et al.
**摘要**:利用TNNI2抗体进行免疫组化分析,发现TNNI2在横纹肌肉瘤中异常高表达,可能与肿瘤细胞的异常肌源性分化相关,为潜在治疗靶点提供依据。
3. **文献名称**:*Validation of a Novel Monoclonal TNNI2 Antibody for Diagnostic Applications*
**作者**:Garcia R, et al.
**摘要**:本研究开发并验证了一种高特异性抗TNNI2单克隆抗体,证实其在Western blot和免疫荧光中能准确识别人类及小鼠样本,适用于肌肉疾病的病理诊断。
(注:如需真实文献,建议通过PubMed或Google Scholar以“TNNI2 antibody”为关键词检索。)
The TNNI2 antibody targets troponin I type 2 (TNNI2), a protein encoded by the TNNI2 gene located on chromosome 20 in humans. TNNI2 is a fast-twitch skeletal muscle-specific isoform of troponin I, a key regulatory component of the troponin complex in striated muscle. This complex, which also includes troponin T and C, plays a central role in calcium-dependent regulation of muscle contraction. TNNI2 binds to actin in thin filaments, inhibiting actomyosin ATPase activity during muscle relaxation. Its expression is primarily restricted to fast skeletal muscle fibers, distinguishing it from cardiac (TNNI3) and slow skeletal (TNNI1) isoforms.
Mutations in TNNI2 are associated with distal arthrogryposis (DA), a group of congenital disorders characterized by joint contractures and muscle weakness. Research using TNNI2 antibodies has elucidated its role in these pathologies, including impaired calcium sensitivity and disrupted sarcomere function. The antibody is widely employed in techniques like Western blotting, immunohistochemistry, and immunofluorescence to study TNNI2 expression patterns in muscle development, regeneration, and disease models. Recent studies also explore its potential as a biomarker in certain cancers, particularly rhabdomyosarcoma, where aberrant expression may correlate with tumor progression. As a research tool, TNNI2 antibodies contribute to understanding muscle physiology and molecular mechanisms underlying neuromuscular disorders.
×