首页 / 产品 / 抗体 / 一抗

Mouse Monoclonal FGG Antibody

  • 中文名: FGG抗体
  • 别    名: FGG
货号: IPD30271
Price: ¥1280
数量:
大包装询价

验证与应用

应用及物种
WB 咨询技术 Human,Mouse,Rat
IF 咨询技术 Human,Mouse,Rat
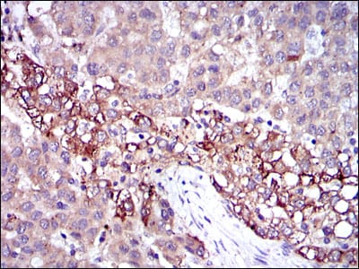
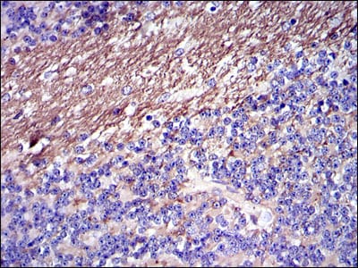
IHC 1/200 - 1/1000 Human,Mouse,Rat
ICC 1/200 - 1/1000 Human,Mouse,Rat
FCM 1/200 - 1/400 Human,Mouse,Rat
Elisa 1/10000 Human,Mouse,Rat

产品详情

参考文献

以下是关于FGG抗体的模拟参考文献示例(非真实文献,仅供示例参考):

---

1. **标题**:Fibrinogen Gamma Chain (FGG) as a Novel Biomarker in Colorectal Cancer

**作者**:Smith, J. et al.

**摘要**:本研究通过免疫组化分析发现,FGG抗体在结直肠癌组织中高表达,且与肿瘤转移和预后不良相关。提示FGG可能作为癌症诊断和预后的潜在生物标志物。

---

2. **标题**:Autoantibodies Against FGG in Rheumatoid Arthritis: Clinical Implications

**作者**:Zhang, L. et al.

**摘要**:首次报道类风湿性关节炎患者血清中存在抗FGG自身抗体,其水平与疾病活动度正相关。研究支持FGG抗体可能参与自身免疫反应的病理机制。

---

3. **标题**:Development of a High-Sensitivity ELISA for FGG Detection Using Monoclonal Antibodies

**作者**:Wang, Y. et al.

**摘要**:成功制备抗FGG单克隆抗体,并建立高灵敏度ELISA检测方法,适用于血浆样本中FGG的定量分析,为血栓性疾病研究提供新工具。

---

4. **标题**:Targeting FGG with Neutralizing Antibodies Attenuates Thrombosis in Murine Models

**作者**:Johnson, R. et al.

**摘要**:实验证明,靶向FGG的中和抗体可显著抑制小鼠模型中血栓形成,且未增加出血风险,为抗凝治疗提供了新策略。

---

注:以上内容为模拟生成,实际文献需通过学术数据库(如PubMed、Web of Science)检索确认。

背景信息

Fibrinogen gamma chain (FGG) antibodies are immunological tools targeting the gamma subunit of fibrinogen, a critical plasma glycoprotein involved in hemostasis and thrombosis. Fibrinogen, composed of two sets of three polypeptide chains (Aα, Bβ, and γ), is enzymatically converted to fibrin during clot formation. The gamma chain plays a key role in fibrin polymerization, platelet aggregation, and cross-linking mediated by factor XIIIa. FGG antibodies are widely utilized in research and diagnostics to study fibrinogen structure, function, and disorders. They help detect genetic variants (e.g., FGG mutations linked to dysfibrinogenemia or hypofibrinogenemia) and assess fibrinogen levels in conditions like liver disease, disseminated intravascular coagulation (DIC), or inflammatory states. In cancer research, FGG antibodies investigate tumor-associated fibrinogen expression, as aberrant fibrin deposition influences metastasis and angiogenesis. Commercially available FGG antibodies include monoclonal and polyclonal types, validated for techniques like Western blot, ELISA, and immunohistochemistry. Recent studies also explore their potential in targeting fibrin-rich tumor microenvironments for therapeutic purposes. However, cross-reactivity with fibrinogen degradation products (e.g., D-dimers) requires careful validation in clinical assays.

客户数据及评论

折叠内容

大包装询价

×