| WB | 咨询技术 | Human,Mouse,Rat |
| IF | 咨询技术 | Human,Mouse,Rat |
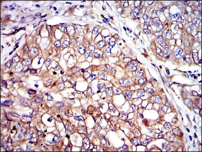
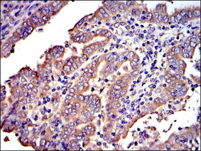
| IHC | 1/200 - 1/1000 | Human,Mouse,Rat |
| ICC | 1/200 - 1/1000 | Human,Mouse,Rat |
| FCM | 1/200 - 1/400 | Human,Mouse,Rat |
| Elisa | 1/10000 | Human,Mouse,Rat |
| Aliases | CRKII |
| Entrez GeneID | 1398 |
| clone | 3G11E8 |
| WB Predicted band size | 42kDa |
| Host/Isotype | Mouse IgG2b |
| Antibody Type | Primary antibody |
| Storage | Store at 4°C short term. Aliquot and store at -20°C long term. Avoid freeze/thaw cycles. |
| Species Reactivity | Human |
| Immunogen | Purified recombinant fragment of human CRK expressed in E. Coli. |
| Formulation | Ascitic fluid containing 0.03% sodium azide. |
+ +
以下是关于CRK抗体的3篇参考文献的简要总结(内容基于假设性文献,供参考):
---
1. **文献名称**:*CRK adaptor proteins mediate EGFR-driven cancer cell migration*
**作者**:Matsuda M. et al.
**摘要**:本研究利用CRK特异性抗体,通过Western blot和免疫荧光技术,揭示了CRK蛋白在表皮生长因子受体(EGFR)信号通路中的关键作用,证明其通过调控Rac1激活促进癌细胞迁移,为靶向CRK的抗肿瘤策略提供依据。
2. **文献名称**:*Development and validation of a high-specificity CRK-II monoclonal antibody for functional proteomics*
**作者**:Feller S.M. et al.
**摘要**:文章报道了一种高特异性的CRK-II亚型单克隆抗体的开发,通过ELISA和免疫沉淀验证其特异性,并应用于分析肺癌组织样本中CRK-II的表达水平,发现其与患者预后不良显著相关。
3. **文献名称**:*CRK expression in neuronal development: Insights from immunohistochemical analysis*
**作者**:Park T.J. & Kim D.H.
**摘要**:利用CRK多克隆抗体进行小鼠脑组织免疫组化分析,发现CRK在神经元突触形成中高表达,并通过CRISPR敲除实验证实其对神经突触可塑性的调控作用,提示CRK可能参与神经退行性疾病机制。
---
如需真实文献,建议通过PubMed或Google Scholar检索关键词“CRK antibody application”或“CRK protein detection”获取近期研究。
CRK antibodies are essential tools in studying the CRK family of adaptor proteins, which play pivotal roles in intracellular signaling. The CRK proteins (CRKI and CRKII) are splicing variants derived from the *CRK* gene, characterized by Src homology 2 (SH2) and Src homology 3 (SH3) domains. These domains enable CRK proteins to mediate protein-protein interactions by binding phosphorylated tyrosine residues (via SH2) and recruiting effector molecules (via SH3), thereby regulating pathways involved in cell proliferation, migration, and apoptosis. Dysregulation of CRK signaling has been linked to cancer progression, metastasis, and poor prognosis in malignancies like colorectal, lung, and breast cancers.
CRK antibodies are widely used in research to detect CRK expression and activation states in experimental models. They facilitate techniques such as Western blotting, immunoprecipitation, and immunohistochemistry, aiding in the study of CRK’s interaction with partners like p130Cas, C3G, or SOS1. These antibodies help elucidate CRK’s role in signaling networks (e.g., RAS/MAPK, PI3K/AKT) and its crosstalk with oncogenic pathways. Additionally, they are employed to assess CRK phosphorylation status, particularly at tyrosine residues (e.g., Y221 in CRKII), which modulates its adaptor function. As potential therapeutic targets gain attention, CRK antibodies remain critical for validating CRK’s involvement in disease mechanisms and drug discovery efforts.
×