首页 / 产品 / 抗体 / 一抗

Mouse Monoclonal CRK Antibody

  • 中文名: CRK抗体
  • 别    名: CRKII
货号: IPD30256
Price: ¥1280
数量:
大包装询价

验证与应用

应用及物种
WB 咨询技术 Human,Mouse,Rat
IF 咨询技术 Human,Mouse,Rat
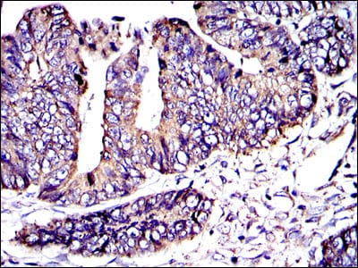
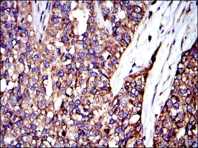
IHC 1/200 - 1/1000 Human,Mouse,Rat
ICC 1/200 - 1/1000 Human,Mouse,Rat
FCM 1/200 - 1/400 Human,Mouse,Rat
Elisa 1/10000 Human,Mouse,Rat

产品详情

参考文献

以下是关于CRK抗体的3篇代表性文献的简要概括:

1. **文献名称**:*CRK adaptor proteins regulate cell migration and cell-cell adhesion*

**作者**:Birge, R.B. et al.

**摘要**:研究探讨CRK蛋白在细胞迁移和细胞黏附中的作用,利用CRK抗体验证其在整合素信号通路中的功能,发现CRK通过调控Rho家族GTPases影响细胞骨架重组。

2. **文献名称**:*The CRK adaptor protein family: Roles in cancer cell invasiveness and survival*

**作者**:Feller, S.M. et al.

**摘要**:综述CRK家族蛋白(CRK-I/CRK-II)在肿瘤进展中的双重角色,通过抗体实验揭示CRK过表达与癌症转移、耐药性的相关性,提出其作为潜在治疗靶点。

3. **文献名称**:*Structural and functional analysis of the Crk oncoprotein*

**作者**:Matsuda, M. et al.

**摘要**:通过CRK特异性抗体研究其SH2/SH3结构域与下游信号分子(如C3G、DOCK180)的相互作用,阐明CRK在Ras-MAPK通路中的调控机制。

4. **文献名称**:*Role of Crk in signal transduction and cancer progression*

**作者**:Maruta, H. et al.

**摘要**:利用CRK抗体分析其在多种癌症模型中的表达水平,发现CRK通过激活Akt和ERK通路促进肿瘤细胞增殖和侵袭,提示其临床预后价值。

这些文献从分子机制、病理功能及临床应用角度总结了CRK抗体的研究进展。

背景信息

CRK antibodies are essential tools for studying the CRK family of adaptor proteins, which play pivotal roles in intracellular signaling. The CRK family includes two major isoforms, CRKI and CRKII, derived from alternative splicing of the *CRK* gene. These proteins contain SH2 (Src homology 2) and SH3 (Src homology 3) domains, enabling them to link tyrosine-phosphorylated receptors or docking proteins (via SH2) to downstream effectors (via SH3). CRK proteins facilitate signal transduction pathways regulating cell adhesion, migration, proliferation, and apoptosis, often interacting with key molecules like SOS, C3G, and DOCK180. Dysregulation of CRK signaling is implicated in cancer, inflammation, and fibrosis. For instance, CRK overexpression or hyperactivation correlates with tumor invasion, metastasis, and poor prognosis in cancers such as glioblastoma and lung adenocarcinoma. CRK antibodies are widely used in techniques like Western blotting, immunoprecipitation, and immunofluorescence to detect CRK expression, phosphorylation status (e.g., Tyr221 in CRKII), and protein interactions. Researchers also employ these antibodies to explore CRK's role in disease mechanisms and evaluate therapeutic strategies targeting CRK-mediated pathways. Specificity remains a critical consideration, as cross-reactivity with homologous proteins (e.g., CRKL) or splice variants may occur. Recent studies further highlight CRK's involvement in immune responses and metabolic disorders, expanding its biomedical relevance.

客户数据及评论

折叠内容

大包装询价

×