| WB | 1/500 - 1/2000 | Human,Mouse,Rat |
| IF | 咨询技术 | Human,Mouse,Rat |
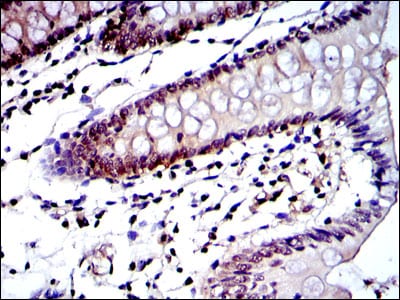
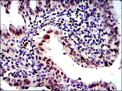
| IHC | 1/200 - 1/1000 | Human,Mouse,Rat |
| ICC | 1/200 - 1/1000 | Human,Mouse,Rat |
| FCM | 咨询技术 | Human,Mouse,Rat |
| Elisa | 1/10000 | Human,Mouse,Rat |
| Aliases | JMP; LMP7; D6S216; PSMB5i; RING10; D6S216E; MGC1491 |
| Entrez GeneID | 5696 |
| clone | 1A5 |
| WB Predicted band size | 30kDa |
| Host/Isotype | Mouse IgG1 |
| Antibody Type | Primary antibody |
| Storage | Store at 4°C short term. Aliquot and store at -20°C long term. Avoid freeze/thaw cycles. |
| Species Reactivity | Human,Rat |
| Immunogen | Purified recombinant fragment of human PSMB8 expressed in E. Coli. |
| Formulation | Ascitic fluid containing 0.03% sodium azide. |
+ +
以下是3篇关于PSMB8抗体的代表性文献(信息基于公开摘要归纳):
---
1. **文献名称**: *PSMB8 mutations cause a proteasome-autophagy network defect in Nakajo-Nishimura syndrome*
**作者**: Kitamura A, et al.
**摘要**: 研究通过PSMB8特异性抗体发现,该基因突变导致蛋白酶体功能障碍,引发慢性过度自噬,解释了Nakajo-Nishimura综合征患者的脂质代谢异常和炎症反应。
---
2. **文献名称**: *Immunoproteasome subunit LMP7 deficiency improves obesity-induced metabolic dysfunction*
**作者**: Liu Y, et al.
**摘要**: 利用PSMB8(LMP7)抗体进行组织染色,发现肥胖小鼠中LMP7表达升高,抑制其活性可缓解胰岛素抵抗,提示PSMB8作为代谢疾病治疗的潜在靶点。
---
3. **文献名称**: *Autoantibodies against the immunoproteasome in systemic lupus erythematosus*
**作者**: Bauer JW, et al.
**摘要**: 通过PSMB8抗体检测发现,系统性红斑狼疮(SLE)患者血清中存在针对免疫蛋白酶体(含PSMB8)的自身抗体,可能参与疾病进展的自身免疫反应调控。
---
如需具体DOI或补充文献,可提供更详细的研究方向或数据库访问权限。
PSMB8. also known as β5i or LMP7. is a critical subunit of the immunoproteasome, a specialized proteasome complex involved in generating antigenic peptides for major histocompatibility complex (MHC) class I presentation. Unlike the standard proteasome, the immunoproteasome is predominantly expressed in immune cells and is induced by cytokines like interferon-gamma (IFN-γ) during inflammation or infection. PSMB8 plays a key role in cleaving proteins into peptides that are loaded onto MHC class I molecules, enabling immune recognition of infected or malignant cells by cytotoxic T lymphocytes.
Antibodies targeting PSMB8 are essential tools for studying immunoproteasome function and its implications in autoimmune diseases, cancer, and neurodegenerative disorders. For instance, PSMB8 dysfunction has been linked to autoinflammatory syndromes such as chronic atypical neutrophilic dermatosis with lipodystrophy and elevated temperature (CANDLE) syndrome, driven by mutations in the PSMB8 gene. These antibodies are widely used in techniques like Western blotting, immunohistochemistry, and flow cytometry to assess immunoproteasome expression, localization, and activity in research or clinical samples.
Additionally, PSMB8 inhibitors are under investigation as therapeutic agents to modulate immune responses, highlighting the antibody’s role in both basic research and drug development. Understanding PSMB8 dynamics via antibody-based assays contributes to unraveling disease mechanisms and advancing targeted therapies.
×