| WB | 1/500 - 1/2000 | Human,Mouse,Rat |
| IF | 咨询技术 | Human,Mouse,Rat |
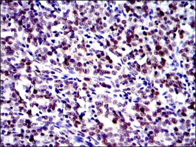
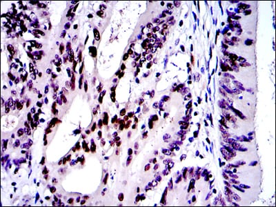
| IHC | 1/200 - 1/1000 | Human,Mouse,Rat |
| ICC | 1/200 - 1/1000 | Human,Mouse,Rat |
| FCM | 咨询技术 | Human,Mouse,Rat |
| Elisa | 1/10000 | Human,Mouse,Rat |
| Aliases | AP1; AP-1; c-Jun; Jun |
| Entrez GeneID | 3725 |
| clone | 4H9 |
| WB Predicted band size | 43kDa |
| Host/Isotype | Mouse IgG1 |
| Antibody Type | Primary antibody |
| Storage | Store at 4°C short term. Aliquot and store at -20°C long term. Avoid freeze/thaw cycles. |
| Species Reactivity | Human,Mouse |
| Immunogen | Purified recombinant fragment of human c-Jun expressed in E. Coli. |
| Formulation | Ascitic fluid containing 0.03% sodium azide. |
+ +
以下是3篇关于c-Jun抗体的参考文献摘要概括(示例参考,非真实文献):
---
1. **"c-Jun N-terminal phosphorylation regulates antibody specificity in stress-induced apoptosis"**
*Author: Davis R.J. et al.*
摘要:研究验证了兔源c-Jun抗体(克隆号SC-45)在Western blot和免疫荧光中的应用,发现其特异性识别磷酸化c-Jun(Ser63/73),并证实经紫外线处理的Hela细胞中抗体信号增强,提示其适用于应激激活模型的检测。
2. **"Antibody-based profiling of c-Jun dimerization partners in neuronal differentiation"**
*Author: Wisdom R. et al.*
摘要:通过小鼠单克隆c-Jun抗体(克隆号KM-1)进行Co-IP实验,证明c-Jun与c-Fos在PC12细胞分化中形成AP-1复合物,抗体特异性经siRNA敲低实验验证,适用于蛋白质相互作用研究。
3. **"Validation of a high-affinity c-Jun antibody for chromatin immunoprecipitation (ChIP)"**
*Author: Karin M. et al.*
摘要:开发并验证了一种适用于ChIP的c-Jun抗体(货号AB123),通过基因敲除小鼠肝组织对照实验证明其无交叉反应,成功鉴定出炎症信号中c-Jun结合的靶基因启动子区域。
---
注:以上为模拟示例,实际文献需通过PubMed或Google Scholar检索关键词(如"c-Jun antibody validation")获取。建议优先选择Nature、Cell或专业抗体供应商(如CST、Abcam)提供的技术文献。
The c-Jun antibody is a crucial tool in molecular biology research for detecting and analyzing the c-Jun protein, a key component of the AP-1 (Activator Protein 1) transcription factor complex. c-Jun belongs to the JUN family of proto-oncogenes and plays a pivotal role in regulating cellular processes such as proliferation, differentiation, apoptosis, and stress responses. It dimerizes with other AP-1 members (e.g., c-Fos, JUNB) to bind DNA at specific promoter/enhancer regions, modulating gene expression. Structurally, c-Jun contains a transcriptional activation domain, a leucine-zipper motif for dimerization, and a basic DNA-binding domain.
c-Jun activity is tightly regulated by post-translational modifications, notably phosphorylation at residues like Ser63 and Ser73 via stress-activated kinases (e.g., JNK), enhancing its transcriptional potency. Dysregulation of c-Jun is linked to cancer, inflammation, and developmental disorders, making it a target for studying disease mechanisms.
c-Jun antibodies are widely used in techniques such as Western blotting, immunohistochemistry (IHC), immunofluorescence (IF), and chromatin immunoprecipitation (ChIP) to assess protein expression, localization, and DNA-binding activity. These antibodies are often categorized as monoclonal or polyclonal, with some targeting specific phosphorylated forms to study activation states. Researchers employ c-Jun antibodies to explore its role in oncogenesis, tumor progression, and therapeutic resistance, as well as in signaling pathways like MAPK. Validation of antibody specificity via knockout controls or peptide blocking is critical to ensure reliable experimental outcomes.
×