| WB | 1/500 - 1/2000 | Human,Mouse,Rat |
| IF | 咨询技术 | Human,Mouse,Rat |
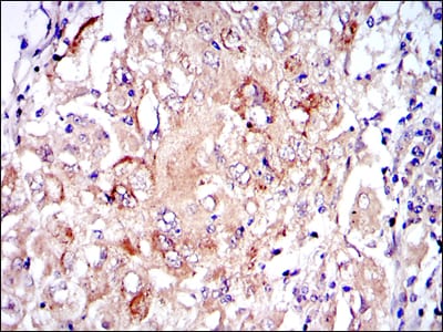
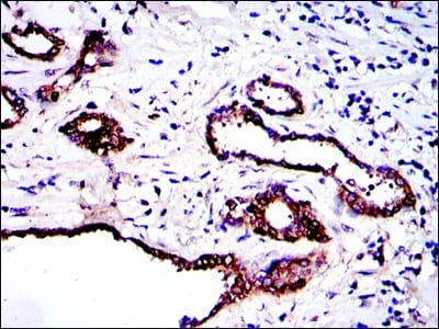
| IHC | 1/200 - 1/1000 | Human,Mouse,Rat |
| ICC | 技术咨询 | Human,Mouse,Rat |
| FCM | 1/200 - 1/400 | Human,Mouse,Rat |
| Elisa | 1/10000 | Human,Mouse,Rat |
| Aliases | PKN2; PAK2; PRK2; Pak-2; PRKCL2; PRO2042; MGC71074; MGC150606 |
| Entrez GeneID | 5586 |
| clone | 1D1 |
| WB Predicted band size | 140kDa |
| Host/Isotype | Mouse IgG1 |
| Antibody Type | Primary antibody |
| Storage | Store at 4°C short term. Aliquot and store at -20°C long term. Avoid freeze/thaw cycles. |
| Species Reactivity | Human,Mouse,Rat,Monkey |
| Immunogen | Purified recombinant fragment of human PRK2 expressed in E. Coli. |
| Formulation | Purified antibody in PBS with 0.05% sodium azide. |
+ +
以下是关于PRK2(Protein Kinase C-related kinase 2)抗体的3篇参考文献的简要总结:
---
1. **文献名称**: "PRK2/PKNγ regulates keratinocyte activation by suppressing EGFR signaling through phosphorylation of EGFR-T654"
**作者**: Takahashi H, et al.
**摘要**: 本研究利用PRK2特异性抗体(Western blot和免疫荧光)发现PRK2通过磷酸化EGFR-T654抑制其活性,调控角质形成细胞的增殖和分化,揭示了PRK2在皮肤屏障修复中的作用。
---
2. **文献名称**: "PKN2/PRK2 promotes cell migration and tumor growth via the MEK-ERK pathway"
**作者**: Kim J, et al.
**摘要**: 通过PRK2抗体(免疫组化、siRNA实验)证明,PRK2在多种癌细胞中高表达,通过激活MEK-ERK信号通路促进肿瘤迁移和生长,提示其作为癌症治疗靶点的潜力。
---
3. **文献名称**: "PRK2 interacts with Amyloid-β precursor protein and regulates its trafficking"
**作者**: Lee S, et al.
**摘要**: 使用PRK2抗体(免疫共沉淀)发现PRK2与β淀粉样前体蛋白(APP)结合,影响APP的胞内运输和Aβ生成,为阿尔茨海默病机制研究提供了新方向。
---
提示:如需具体文献来源或更早年的研究,可进一步提供领域方向(如癌症、神经科学等)。
**Background of PRK2 Antibody**
The PRK2 (protein kinase C-related kinase 2) antibody is a tool used to detect and study PRK2. a serine/threonine kinase belonging to the AGC family of protein kinases. PRK2. also known as PKN2 or Pkn2. shares structural homology with protein kinase C (PKC) and plays critical roles in diverse cellular processes, including cytoskeletal reorganization, cell migration, proliferation, and apoptosis. It is activated by Rho GTPases (e.g., RhoA, Rac1) and interacts with signaling pathways such as mTOR and PI3K/AKT, making it a key regulator of cellular responses to extracellular stimuli.
PRK2 antibodies are essential for investigating its expression, localization, and activation in various tissues and disease contexts. Dysregulation of PRK2 has been implicated in cancer, neurodegenerative disorders, and cardiovascular diseases. For instance, elevated PRK2 levels correlate with tumor progression and metastasis in certain cancers. Researchers utilize PRK2 antibodies in techniques like Western blotting, immunohistochemistry (IHC), and immunofluorescence (IF) to explore its functional mechanisms or diagnostic potential.
These antibodies are often validated for specificity against PRK2 isoforms or phosphorylated forms (e.g., Thr816/Thr822), ensuring accurate detection in experimental models. Their application aids in deciphering PRK2's role in health and disease, supporting drug discovery and biomarker development.
×