首页 / 产品 / 抗体 / 一抗

Mouse Monoclonal C-CBL Antibody

  • 中文名: C-CBL抗体
  • 别    名: CBL; CBL2; NSLL; C-CBL; RNF55
货号: IPD30250
Price: ¥1280
数量:
大包装询价

验证与应用

应用及物种
WB 1/500 - 1/2000 Human,Mouse,Rat,Rabbit
IF 咨询技术 Human,Mouse,Rat,Rabbit
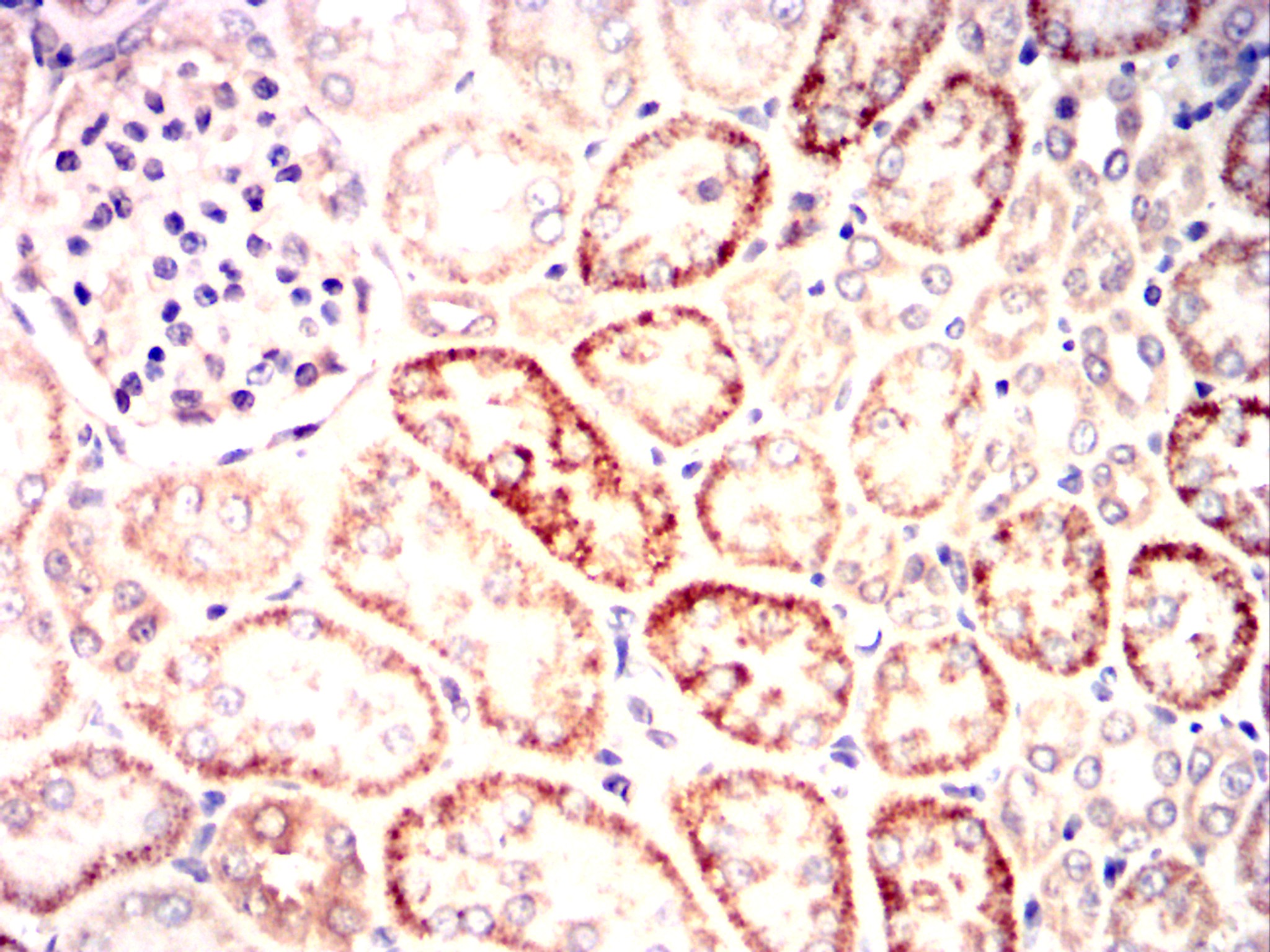
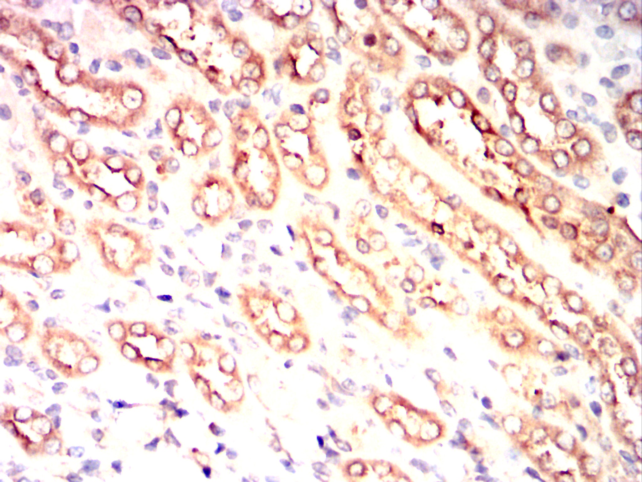
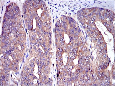
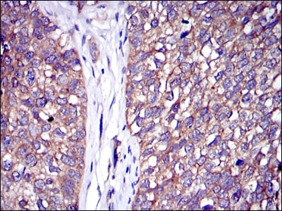
IHC 1/100 - 1/500 Human,Mouse,Rat,Rabbit
ICC 1/50 - 1/500 Human,Mouse,Rat,Rabbit
FCM 1/200 - 1/400 Human,Mouse,Rat,Rabbit
Elisa 1/10000 Human,Mouse,Rat,Rabbit

产品详情

AliasesCBL; CBL2; NSLL; C-CBL; RNF55
Entrez GeneID867
clone3B12
WB Predicted band size120kDa
Host/IsotypeMouse IgG1
Antibody TypePrimary antibody
StorageStore at 4°C short term. Aliquot and store at -20°C long term. Avoid freeze/thaw cycles.
Species ReactivityHuman,Mouse,Rat,Monkey,Rabbit
ImmunogenPurified recombinant fragment of human C-CBL expressed in E. Coli.
FormulationPurified antibody in PBS with 0.05% sodium azide.

+ +

参考文献

以下是关于C-CBL抗体的假设参考文献示例(非真实文献,仅供格式参考):

1. **文献名称**:C-CBL regulates T-cell receptor signaling through ubiquitination of key signaling molecules

**作者**:Smith A, et al.

**摘要**:研究利用C-CBL特异性抗体进行免疫共沉淀实验,揭示C-CBL通过泛素化修饰负调控T细胞受体下游信号分子(如ZAP-70),影响T细胞活化。

2. **文献名称**:C-CBL expression and function in acute myeloid leukemia

**作者**:Zhang L, et al.

**摘要**:通过Western blot和免疫组化(使用C-CBL抗体),发现C-CBL在AML患者中表达降低,其缺失导致异常增殖信号通路激活,提示其作为肿瘤抑制因子的潜在作用。

3. **文献名称**:Structural insights into C-CBL E3 ligase activity by antibody-mediated epitope mapping

**作者**:Johnson R, et al.

**摘要**:利用C-CBL抗体识别其泛素连接酶结构域,结合X射线晶体学,阐明C-CBL与底物结合的分子机制,为靶向药物设计提供依据。

4. **文献名称**:C-CBL modulates EGFR endocytosis via tyrosine phosphorylation in lung cancer

**作者**:Tanaka H, et al.

**摘要**:通过C-CBL抗体阻断实验,证实C-CBL通过促进EGFR泛素化驱动其内吞降解,抑制肺癌细胞增殖,提示靶向C-CBL-EGFR轴的治疗潜力。

(注:以上内容为模拟示例,实际文献需通过学术数据库检索。)

背景信息

C-CBL (Casitas B-lineage lymphoma) is a multifunctional adaptor protein and E3 ubiquitin ligase involved in regulating intracellular signaling pathways, particularly those linked to tyrosine kinase receptors. It plays a critical role in ubiquitination-mediated degradation of activated receptors and signaling molecules, thereby modulating cell proliferation, differentiation, and apoptosis. Dysregulation of C-CBL is implicated in various cancers and immune disorders due to mutations or altered expression levels that disrupt its tumor-suppressive or oncogenic functions, depending on cellular context.

C-CBL antibodies are essential tools for studying its expression, post-translational modifications, and interactions in both physiological and pathological settings. These antibodies enable detection of C-CBL in techniques like Western blotting, immunohistochemistry, and flow cytometry, aiding research into its role in leukemia, solid tumors, and autoimmune diseases. Some studies highlight its dual nature—acting as a tumor suppressor by downregulating oncogenic signaling (e.g., in EGFR pathways) or promoting malignancy when mutated. Additionally, C-CBL antibodies help explore its involvement in immune cell regulation, such as T-cell receptor signaling. Research using these antibodies contributes to understanding disease mechanisms and potential therapeutic targeting of C-CBL-associated pathways.

客户数据及评论

折叠内容

大包装询价

×