| WB | 1/500 - 1/2000 | Human,Mouse,Rat |
| IF | 咨询技术 | Human,Mouse,Rat |
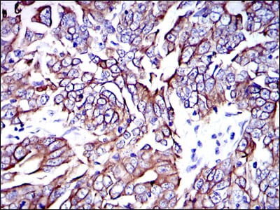
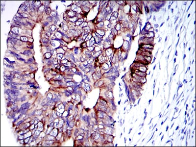
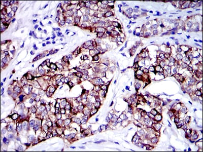
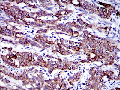
| IHC | 1/200 - 1/1000 | Human,Mouse,Rat |
| ICC | 1/200 - 1/1000 | Human,Mouse,Rat |
| FCM | 咨询技术 | Human,Mouse,Rat |
| Elisa | 1/10000 | Human,Mouse,Rat |
| Aliases | K19; CK19; K1CS; MGC15366 |
| Entrez GeneID | 3880 |
| clone | 4E8 |
| WB Predicted band size | 41kDa |
| Host/Isotype | Mouse IgG1 |
| Antibody Type | Primary antibody |
| Storage | Store at 4°C short term. Aliquot and store at -20°C long term. Avoid freeze/thaw cycles. |
| Species Reactivity | Human |
| Immunogen | Purified recombinant fragment of human KRT19 expressed in E. Coli. |
| Formulation | Ascitic fluid containing 0.03% sodium azide. |
+ +
以下是关于KRT19抗体的3篇参考文献的简要概括:
1. **文献名称**:*"Cytokeratin 19 as a biomarker in cancer diagnosis"*
**作者**:D. Doglioni et al.
**摘要内容**:研究探讨了KRT19抗体在多种上皮源性肿瘤(如乳腺癌、肺癌)中的表达模式,证明其作为诊断标志物的潜力,尤其在转移性癌的鉴别中具有高特异性。
2. **文献名称**:*"Detection of circulating tumor cells using cytokeratin 19 antibody in colorectal cancer"*
**作者**:S. Matsushita et al.
**摘要内容**:该研究通过KRT19抗体结合免疫荧光技术,验证了其在结直肠癌患者外周血循环肿瘤细胞(CTC)检测中的应用,显示其与肿瘤分期和预后的相关性。
3. **文献名称**:*"Comparative analysis of KRT19 antibody performance in immunohistochemistry"*
**作者**:M. T. Khojasteh et al.
**摘要内容**:文章比较了不同克隆号KRT19抗体在免疫组化中的灵敏度和特异性,提出标准化使用建议以优化病理诊断准确性,尤其在甲状腺乳头状癌和乳腺癌中的应用。
如需更多文献,可进一步限定研究领域或年份。
Keratin 19 (KRT19), a type I acidic cytokeratin (40 kDa), is a key intermediate filament protein expressed in simple and glandular epithelial cells, including those in the liver, pancreas, and breast. As the smallest member of the keratin family, it plays a structural role in maintaining cellular integrity and polarity. KRT19 is notably absent in stratified squamous epithelia, making it a specific marker for distinguishing glandular from squamous tissues.
KRT19 antibodies are widely used in research and diagnostics to detect epithelial-derived cells, particularly in cancer studies. They help identify metastatic carcinomas (e.g., breast, lung) and circulating tumor cells (CTCs). In clinical pathology, KRT19 immunostaining aids in differentiating adenocarcinomas from other malignancies. It also serves as a biomarker in conditions like primary biliary cholangitis (PBC), where bile duct epithelial cells show KRT19 reactivity.
Notably, KRT19 expression correlates with tumor progression and prognosis in cancers such as triple-negative breast cancer. However, its utility requires caution due to variable expression in benign vs. malignant contexts and cross-reactivity risks. Commercially available clones (e.g., A53-B/A2.26) are validated for techniques like IHC, Western blot, and flow cytometry, supporting diverse applications in epithelial biology and oncology research.
×