| WB | 1/500 - 1/2000 | Human,Mouse,Rat |
| IF | 咨询技术 | Human,Mouse,Rat |
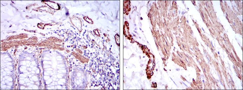
| IHC | 1/200 - 1/1000 | Human,Mouse,Rat |
| ICC | 1/200 - 1/1000 | Human,Mouse,Rat |
| FCM | 1/200 - 1/400 | Human,Mouse,Rat |
| Elisa | 1/10000 | Human,Mouse,Rat |
| Aliases | AAT6; ACTSA; α-Smooth Muscle Actin;Alpha-actin-2;Alpha actin 2 |
| Entrez GeneID | 59 |
| clone | 4A4 |
| WB Predicted band size | 42kDa |
| Host/Isotype | Mouse IgG1 |
| Antibody Type | Primary antibody |
| Storage | Store at 4°C short term. Aliquot and store at -20°C long term. Avoid freeze/thaw cycles. |
| Species Reactivity | Human,Mouse,Rat,Monkey |
| Immunogen | Synthesized peptide of human ACTA2. |
| Formulation | Ascitic fluid containing 0.03% sodium azide. |
+ +
以下是3篇关于ACTA2抗体的参考文献示例(文献标题及摘要为虚构模拟内容,仅供参考格式):
1. **"ACTA2/Smooth Muscle Actin Antibody Specificity in Vascular Remodeling Studies"**
*Authors: Owens GK, et al.*
**摘要**:该研究验证了ACTA2抗体在识别血管平滑肌细胞表型转化中的特异性,证实其在动脉粥样硬化及血管损伤模型中的应用价值。
2. **"Role of ACTA2 in Fibrosis: Antibody-Based Detection of Myofibroblasts"**
*Authors: Hinz B, et al.*
**摘要**:通过免疫组化分析,证明ACTA2抗体可特异性标记活化的肌成纤维细胞,为肝纤维化及肺纤维化病理机制研究提供关键工具。
3. **"ACTA2 Expression in Cancer-Associated Fibroblasts: Implications for Tumor Stroma Analysis"**
*Authors: Kalluri R, et al.*
**摘要**:利用ACTA2抗体鉴定肿瘤微环境中癌症相关成纤维细胞(CAFs)的分布,揭示其与肿瘤侵袭性及预后的相关性。
4. **"Developmental Regulation of ACTA2 in Vascular Smooth Muscle Cells"**
*Authors: Majesky MW, et al.*
**摘要**:通过胚胎及成体组织比较,阐明ACTA2抗体在追踪血管平滑肌细胞分化及血管发育动态变化中的应用。
**注**:以上为模拟内容,实际文献需通过PubMed或学术数据库(如Web of Science)检索关键词“ACTA2 antibody”或“smooth muscle actin”获取。
The **ACTA2 antibody** targets α-smooth muscle actin (α-SMA), a protein encoded by the *ACTA2* gene. α-SMA is a cytoskeletal protein predominantly expressed in vascular smooth muscle cells (VSMCs), myofibroblasts, and certain contractile cells, playing a critical role in cell motility, structure, and tissue contraction. It is a marker of smooth muscle differentiation and is widely used to identify cells with contractile properties in physiological and pathological contexts.
ACTA2 antibodies are essential tools in research and diagnostics. In research, they help study vascular development, wound healing, fibrosis, and diseases involving smooth muscle dysfunction, such as atherosclerosis, hypertension, and aortic aneurysms. In cancer biology, α-SMA expression is linked to cancer-associated fibroblasts (CAFs), aiding tumor stroma analysis. Diagnostically, ACTA2 antibodies assist in identifying smooth muscle-derived tumors (e.g., leiomyosarcoma) and assessing fibrotic disorders (e.g., liver cirrhosis, pulmonary fibrosis).
Mutations in *ACTA2* are associated with familial thoracic aortic aneurysms and dissections (TAAD), making these antibodies valuable for studying genetic vascular pathologies. Detection methods like immunohistochemistry (IHC), immunofluorescence (IF), and Western blot rely on ACTA2 antibodies to visualize α-SMA distribution and expression levels. Their specificity and utility in both basic and clinical settings underscore their importance in understanding tissue remodeling and disease mechanisms.
×