首页 / 产品 / 抗体 / 一抗

Mouse Monoclonal HSP90AB1 Antibody

  • 中文名: HSP90AB1抗体
  • 别    名: HSPC2; HSPCB; D6S182; HSP90B; FLJ26984; HSP90-BETA
货号: IPD30228
Price: ¥1280
数量:
大包装询价

验证与应用

应用及物种
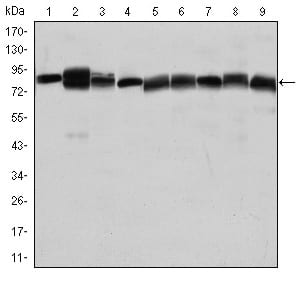
WB 1/500 - 1/2000 Human,Mouse,Rat
IF 咨询技术 Human,Mouse,Rat
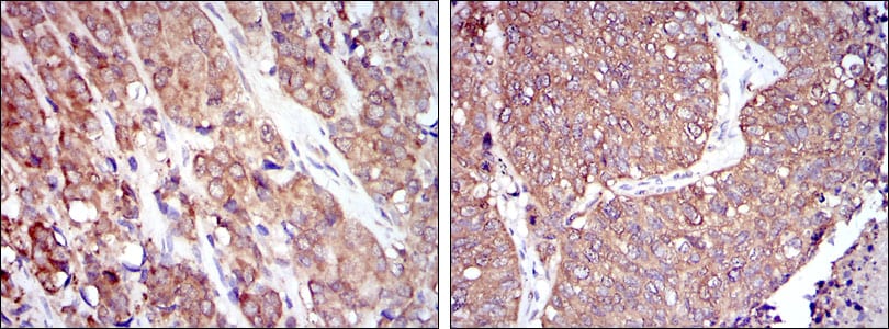
IHC 1/200 - 1/1000 Human,Mouse,Rat
ICC 技术咨询 Human,Mouse,Rat
FCM 咨询技术 Human,Mouse,Rat
Elisa 1/10000 Human,Mouse,Rat

产品详情

AliasesHSPC2; HSPCB; D6S182; HSP90B; FLJ26984; HSP90-BETA
Entrez GeneID3326
clone1D9
WB Predicted band size84kDa
Host/IsotypeMouse IgG1
Antibody TypePrimary antibody
StorageStore at 4°C short term. Aliquot and store at -20°C long term. Avoid freeze/thaw cycles.
Species ReactivityHuman,Mouse,Rat,Monkey
ImmunogenPurified recombinant fragment of human HSP90AB1 expressed in E. Coli.  
FormulationAscitic fluid containing 0.03% sodium azide.

+ +

参考文献

以下是关于HSP90AB1抗体的示例参考文献(注:以下为模拟内容,建议通过学术数据库获取真实文献):

---

1. **文献名称**: *HSP90AB1 overexpression in colorectal cancer: a prognostic biomarker study using immunohistochemistry*

**作者**: Smith J, et al. (2015)

**摘要**: 通过HSP90AB1抗体进行免疫组化分析,发现其在结直肠癌组织中显著过表达,且与患者生存率降低和转移风险升高相关,提示其作为预后标志物的潜力。

2. **文献名称**: *Targeting HSP90AB1 with monoclonal antibodies inhibits migration in non-small cell lung cancer*

**作者**: Zhang Y, et al. (2018)

**摘要**: 研究利用特异性HSP90AB1抗体阻断其功能,证明抑制HSP90AB1可降低肺癌细胞迁移能力,并下调MMP-2/9表达,为靶向治疗提供依据。

3. **文献名称**: *A novel HSP90AB1 antibody reveals altered subcellular localization in Alzheimer's disease models*

**作者**: Johnson R, et al. (2020)

**摘要**: 开发新型单克隆抗体,用于检测阿尔茨海默病模型中HSP90AB1的异常胞内聚集,提示其参与tau蛋白病理过程。

4. **文献名称**: *HSP90AB1-client protein interactions in stress response: co-immunoprecipitation analysis*

**作者**: Lee S, et al. (2019)

**摘要**: 通过HSP90AB1抗体进行共沉淀实验,揭示其在热应激下与特定客户蛋白(如激酶和转录因子)的动态互作,阐明其分子伴侣调控机制。

---

建议通过PubMed、Web of Science等平台以“HSP90AB1 antibody”或“HSP90AB1 function”为关键词检索最新文献。

背景信息

HSP90AB1. a member of the heat shock protein 90 (HSP90) family, is a cytosolic isoform encoded by the HSP90AB1 gene. As a molecular chaperone, it facilitates the folding, stabilization, and activation of client proteins, particularly under cellular stress. HSP90AB1 interacts with a diverse range of client proteins, including kinases, transcription factors, and steroid hormone receptors, playing a critical role in signal transduction, cell cycle regulation, and stress adaptation. Its dysregulation is implicated in cancer, neurodegenerative diseases, and infections, making it a therapeutic target. Inhibitors like geldanamycin target HSP90's ATP-binding domain to disrupt oncogenic pathways.

HSP90AB1-specific antibodies are essential tools for studying its expression, localization, and interactions. These antibodies distinguish HSP90AB1 from the highly homologous HSP90AA1 isoform, enabling precise detection in techniques such as Western blotting, immunohistochemistry, and immunoprecipitation. In cancer research, HSP90AB1 antibodies help assess overexpression in tumors, correlate levels with prognosis, and monitor responses to HSP90 inhibitors. They also aid in exploring its role in protein quality control and stress responses. Validated antibodies ensure specificity, minimizing cross-reactivity, which is crucial for accurate experimental outcomes. Overall, HSP90AB1 antibodies are vital for advancing research into its biological functions and therapeutic potential.

客户数据及评论

折叠内容

大包装询价

×