| WB | 1/500 - 1/2000 | Human,Mouse,Rat |
| IF | 咨询技术 | Human,Mouse,Rat |
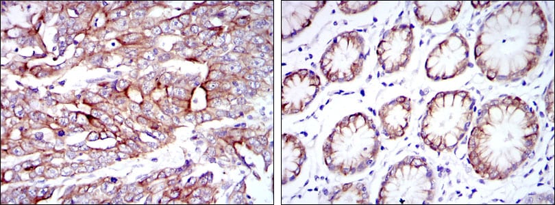
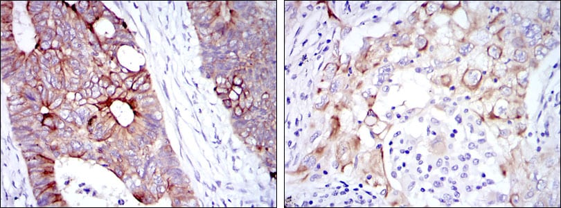
| IHC | 1/200 - 1/1000 | Human,Mouse,Rat |
| ICC | 技术咨询 | Human,Mouse,Rat |
| FCM | 咨询技术 | Human,Mouse,Rat |
| Elisa | 1/10000 | Human,Mouse,Rat |
| Aliases | K19; CK19; K1CS; MGC15366 |
| Entrez GeneID | 3880 |
| clone | 1H6 |
| WB Predicted band size | 41kDa |
| Host/Isotype | Mouse IgG1 |
| Antibody Type | Primary antibody |
| Storage | Store at 4°C short term. Aliquot and store at -20°C long term. Avoid freeze/thaw cycles. |
| Species Reactivity | Human |
| Immunogen | Purified recombinant fragment of human KRT19 expressed in E. Coli. |
| Formulation | Ascitic fluid containing 0.03% sodium azide. |
+ +
以下是关于KRT19抗体的3篇代表性文献及其摘要概括:
---
1. **文献名称**:*Cytokeratin 19 as a Biomarker for Circulating Tumor Cells in Breast Cancer*
**作者**:Rinkenbaugh, A.L. 等
**摘要**:研究验证了KRT19抗体在检测乳腺癌患者外周血循环肿瘤细胞(CTC)中的敏感性和特异性,证明其可作为非侵入性诊断工具,并探讨了其与肿瘤转移和预后的相关性。
2. **文献名称**:*KRT19 Antibody in Hepatocellular Carcinoma Diagnosis: Comparative Study with HepPar-1*
**作者**:Govaere, O. 等
**摘要**:比较了KRT19抗体与HepPar-1在肝细胞癌(HCC)和胆管癌中的表达差异,发现KRT19阳性标记胆管癌特征,提示其在鉴别肝癌亚型和指导临床分型中的应用价值。
3. **文献名称**:*Utility of KRT19 Immunostaining in Thyroid Cancer Diagnostics*
**作者**:Sánchez-Alegría, M.L. 等
**摘要**:评估了KRT19抗体在甲状腺乳头状癌与良性结节中的表达差异,表明KRT19高表达可作为甲状腺癌的辅助诊断标志物,尤其在细针穿刺样本中提高诊断准确性。
---
如需更多文献或具体期刊信息,可进一步补充关键词(如特定疾病或技术方法)进行筛选!
**Background of KRT19 Antibody**
Keratin 19 (KRT19), a 40 kDa type I intermediate filament protein, is a member of the keratin family, which forms structural networks in epithelial cells. It is predominantly expressed in simple and glandular epithelia, such as those in the liver, pancreas, and breast ducts, and is absent in stratified squamous epithelia. KRT19 plays a role in maintaining cell integrity, signaling, and stress response.
KRT19 antibodies are widely used as biomarkers in research and diagnostics. In cancer studies, KRT19 is a key marker for identifying epithelial-derived tumors, including carcinomas of the breast, lung, and gastrointestinal tract. It is crucial in detecting circulating tumor cells (CTCs) and micrometastases, aiding in prognosis and treatment monitoring. However, its expression in some non-epithelial cells (e.g., activated hepatic stellate cells) necessitates careful interpretation to avoid false positives.
Clinically, KRT19 antibodies are employed in immunohistochemistry (IHC) to differentiate carcinomas from sarcomas or melanomas. Variants like clone BA17 or RCK108 are validated for specificity in assays such as Western blotting (WB) and immunofluorescence (IF). Despite its utility, variable expression levels across tumor subtypes and technical factors (e.g., antibody clones, fixation methods) highlight the need for standardized protocols. Overall, KRT19 antibodies remain vital tools in understanding epithelial biology and advancing cancer diagnostics.
×