首页 / 产品 / 抗体 / 一抗

Mouse Monoclonal SMN1 Antibody

  • 中文名: SMN1抗体
  • 别    名: SMA; SMN; SMA1; SMA2; SMA3; SMA4; SMA@; SMN2; SMNT; BCD541; T-BCD541
货号: IPD30222
Price: ¥1280
数量:
大包装询价

验证与应用

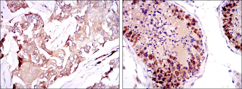
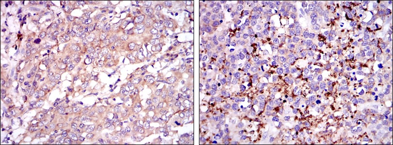
应用及物种
WB 1/500 - 1/2000 Human,Monkey
IF 咨询技术 Human,Monkey
IHC 1/200 - 1/1000 Human,Monkey
ICC 1/200 - 1/1000 Human,Monkey
FCM 咨询技术 Human,Monkey
Elisa 1/10000 Human,Monkey

产品详情

参考文献

以下是关于SMN1抗体的3篇参考文献,按文献名称、作者及摘要内容简要概括:

---

1. **"A single nucleotide difference that alters splicing patterns distinguishes the SMA gene SMN1 from the copy gene SMN2"**

- **作者**: Lefebvre, S. et al. (1995)

- **摘要**: 该研究首次克隆并鉴定了SMN1基因,并开发了特异性单克隆抗体用于区分SMN1与SMN2蛋白。抗体通过识别SMN1外显子7的特定表位,成为诊断脊髓性肌萎缩症(SMA)的关键工具。

2. **"Antibody profiling in spinal muscular atrophy patients highlights distinct SMN protein isoforms"**

- **作者**: Gennarelli, M. et al. (1998)

- **摘要**: 通过对比多种抗体的反应性,研究发现SMN1抗体能特异性检测全长的SMN蛋白(由SMN1基因表达),而SMN2主要产生截短蛋白。该抗体被用于患者组织样本中SMN1蛋白水平的定量分析。

3. **"Optimization of SMN1 protein detection by immunofluorescence in motor neuron cultures"**

- **作者**: Arnold, W.D. et al. (2014)

- **摘要**: 研究改进了基于SMN1抗体的免疫荧光方法,提高了运动神经元中SMN蛋白检测的灵敏度和特异性,为SMA治疗研究(如基因疗法)中的疗效评估提供了可靠技术。

---

**注**:若需获取完整文献,建议通过PubMed或Sci-Hub等平台输入标题或DOI查询。部分早期研究可能未公开抗体详细信息,需结合抗体公司(如BD Biosciences、Sigma-Aldrich)的产品说明书进行补充。

背景信息

The survival motor neuron 1 (SMN1) gene encodes a critical protein involved in the assembly of small nuclear ribonucleoproteins (snRNPs), essential for pre-mRNA splicing. Loss of SMN1 function due to mutations or deletions causes spinal muscular atrophy (SMA), a neurodegenerative disorder characterized by motor neuron degeneration and muscle weakness. SMN1 antibodies are tools designed to detect and quantify the SMN protein in research and diagnostics. These antibodies are pivotal in studying SMN expression patterns, protein stability, and localization in cellular and animal models. Since SMN1 shares high homology with its paralog SMN2. distinguishing between their protein products can be challenging. However, some antibodies target unique epitopes or isoforms to differentiate SMN1-derived full-length SMN from SMN2-derived truncated forms. Commercial SMN1 antibodies are widely used in techniques like Western blotting, immunohistochemistry, and ELISA to assess SMN levels in SMA patient samples or therapeutic studies. Challenges include ensuring specificity, as cross-reactivity with SMN2 or degraded proteins may occur. Recent advancements in SMA therapies, such as antisense oligonucleotides (e.g., nusinersen) and gene replacement (e.g., onasemnogene abeparvovec), have driven demand for reliable SMN1 antibodies to monitor treatment efficacy and SMN restoration. Ongoing research focuses on optimizing antibody sensitivity for early SMA diagnosis and mechanistic studies of SMN function in neuronal health.

客户数据及评论

折叠内容

大包装询价

×