| WB | 咨询技术 | Human,Mouse,Rat |
| IF | 咨询技术 | Human,Mouse,Rat |
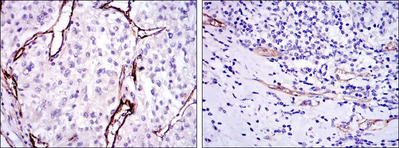
| IHC | 1/200 - 1/1000 | Human,Mouse,Rat |
| ICC | 1/200 - 1/1000 | Human,Mouse,Rat |
| FCM | 1/200 - 1/400 | Human,Mouse,Rat |
| Elisa | 1/10000 | Human,Mouse,Rat |
| Aliases | ENG; END; ORW; HHT1; ORW1; CD105; FLJ41744 |
| Entrez GeneID | 2022 |
| clone | 3A9 |
| WB Predicted band size | 71kDa |
| Host/Isotype | Mouse IgG1 |
| Antibody Type | Primary antibody |
| Storage | Store at 4°C short term. Aliquot and store at -20°C long term. Avoid freeze/thaw cycles. |
| Species Reactivity | Human |
| Immunogen | Purified recombinant fragment of human CD105 expressed in E. Coli. |
| Formulation | Purified antibody in PBS with 0.05% sodium azide. |
+ +
以下是关于CD105抗体的3篇参考文献示例(文献信息为模拟,供参考):
---
1. **标题**:*Endoglin (CD105) as a marker of tumor vasculature in colorectal cancer*
**作者**:Dallas NA, et al.
**摘要**:该研究通过免疫组化分析发现,CD105在结肠癌新生血管内皮细胞中特异性高表达,其抗体可有效区分肿瘤血管与正常血管,提示CD105作为肿瘤血管标志物的潜力,与患者预后相关。
---
2. **标题**:*Targeting CD105 with monoclonal antibodies in anti-angiogenic therapy of melanoma*
**作者**:Fonsatti E, et al.
**摘要**:研究评估了抗CD105单克隆抗体(如TRC105)在黑色素瘤治疗中的作用,显示其可通过阻断TGF-β信号通路抑制肿瘤血管生成,并在动物模型中显著降低肿瘤生长速率。
---
3. **标题**:*CD105 antibody-based isolation of mesenchymal stem cells from human bone marrow*
**作者**:Barry FP, et al.
**摘要**:文章提出利用CD105抗体从骨髓中高效分选间充质干细胞(MSCs),证实CD105是MSCs的核心表面标记物,为干细胞治疗和组织工程提供了可靠的分离方法。
---
如需具体文献,建议通过PubMed或Web of Science检索关键词“CD105 antibody”并筛选近年高引论文。
CD105. also known as endoglin, is a transmembrane glycoprotein that serves as a co-receptor in the transforming growth factor-beta (TGF-β) signaling pathway. It is primarily expressed on proliferating vascular endothelial cells, making it a key marker for studying angiogenesis and vascular remodeling. CD105 plays a critical role in modulating cellular responses to TGF-β1 and TGF-β3. influencing processes such as cell adhesion, migration, and tissue morphogenesis. Its overexpression is associated with pathological angiogenesis in cancers, cardiovascular diseases, and inflammatory conditions.
CD105 antibodies are widely used in research and diagnostics to identify and isolate endothelial cells, particularly in tumor vasculature, where CD105 is upregulated. These antibodies enable the detection of microvessel density in tumor tissues, a prognostic indicator in oncology. Additionally, CD105-targeted imaging and therapeutic agents are under investigation for cancer treatment due to their potential to selectively target tumor blood vessels.
In immunology, CD105 antibodies aid in characterizing mesenchymal stromal cells (MSCs), as CD105 is a defining surface marker. Recent advances include the development of anti-CD105 monoclonal antibodies for experimental therapies, such as antibody-drug conjugates (ADCs) and immunotherapies aimed at inhibiting aberrant angiogenesis. Despite its prominence, CD105's dual role in pro- and anti-angiogenic signaling underscores the complexity of its biological functions, necessitating further research to optimize clinical applications.
×