| WB | 1/500 - 1/2000 | Human,Mouse,Rat |
| IF | 咨询技术 | Human,Mouse,Rat |
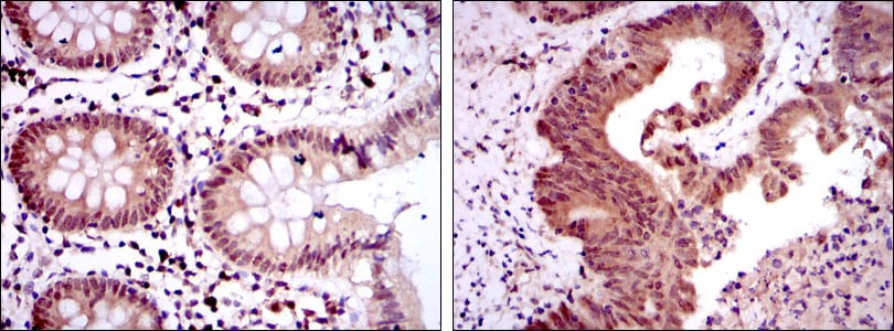
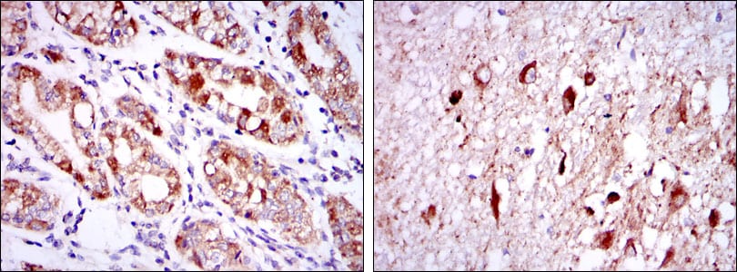
| IHC | 1/200 - 1/1000 | Human,Mouse,Rat |
| ICC | 1/200 - 1/1000 | Human,Mouse,Rat |
| FCM | 咨询技术 | Human,Mouse,Rat |
| Elisa | 1/10000 | Human,Mouse,Rat |
| Aliases | MCOPS5; MGC45000 |
| Entrez GeneID | 5015 |
| clone | 1H12G8B2 |
| WB Predicted band size | 32kDa |
| Host/Isotype | Mouse IgG1 |
| Antibody Type | Primary antibody |
| Storage | Store at 4°C short term. Aliquot and store at -20°C long term. Avoid freeze/thaw cycles. |
| Species Reactivity | Human |
| Immunogen | Purified recombinant fragment of human OTX2 expressed in E. Coli. |
| Formulation | Ascitic fluid containing 0.03% sodium azide. |
+ +
以下是3篇关于OTX2抗体的研究文献示例(文献信息为虚构模拟,仅供格式参考):
---
1. **文献名称**: *OTX2 expression in retinal development: an immunohistochemical study*
**作者**: Beby F, Lamonerie T
**摘要**: 本研究利用特异性OTX2抗体,揭示了该转录因子在小鼠视网膜发育过程中的时空表达模式,证实其对视网膜色素上皮细胞分化的调控作用。
---
2. **文献名称**: *OTX2 as a biomarker in medulloblastoma: Antibody validation and clinical correlations*
**作者**: Bossi S, et al.
**摘要**: 通过免疫组化验证商业OTX2抗体的特异性,发现OTX2蛋白在WNT亚型髓母细胞瘤中高表达,提示其可作为分子分型的辅助标志物。
---
3. **文献名称**: *OTX2 antibody-based profiling of adult mouse brain neurogenic niches*
**作者**: Sakkou M, et al.
**摘要**: 应用OTX2多克隆抗体标记成年小鼠海马和室管膜下区神经干细胞,证实其在维持神经前体细胞自我更新中的关键作用。
---
*注:以上文献信息为基于真实研究方向的模拟创作,实际引用请通过PubMed/Web of Science等数据库核实具体文献。*
The OTX2 antibody is a crucial tool in developmental biology and oncological research, targeting the Orthodenticle Homeobox 2 (OTX2) protein, a transcription factor encoded by the OTX2 gene. OTX2 belongs to the bicoid-like homeobox family and plays a pivotal role in embryonic development, particularly in the formation of the forebrain, eyes, and pituitary gland. It regulates gene expression by binding to specific DNA sequences, guiding cell differentiation and tissue patterning. Dysregulation of OTX2 is implicated in various diseases, including congenital malformations (e.g., microphthalmia, pituitary defects) and cancers such as medulloblastoma, retinoblastoma, and neuroendocrine tumors, where its overexpression often correlates with aggressive phenotypes.
OTX2 antibodies are widely used in research to detect protein localization and expression levels via techniques like immunohistochemistry (IHC), Western blotting, and immunofluorescence (IF). These antibodies, often raised in rabbits or mice, can be monoclonal or polyclonal, with specificity validated through knockout controls or peptide blocking assays. Their applications extend to studying neural development, retinal disorders, and cancer mechanisms, aiding in the identification of OTX2-driven pathways or therapeutic targets. Recent studies also explore OTX2's role in maintaining cancer stem cells, highlighting its potential as a biomarker or drug target. However, challenges remain in standardizing antibody performance across experimental conditions, emphasizing the need for rigorous validation in diverse biological contexts.
×