| WB | 1/500 - 1/2000 | Human,Mouse,Rat |
| IF | 咨询技术 | Human,Mouse,Rat |
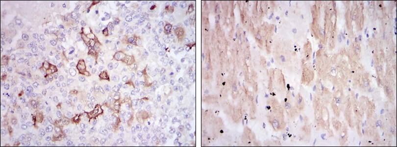
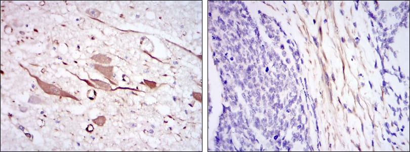
| IHC | 1/200 - 1/1000 | Human,Mouse,Rat |
| ICC | 1/200 - 1/1000 | Human,Mouse,Rat |
| FCM | 1/200 - 1/400 | Human,Mouse,Rat |
| Elisa | 1/10000 | Human,Mouse,Rat |
| Aliases | CMT2F; HMN2B; HSP27; HSP28; Hsp25; SRP27; HS.76067; DKFZp586P1322; HSPB1 |
| Entrez GeneID | 3315 |
| clone | 5D7 |
| WB Predicted band size | 27kDa |
| Host/Isotype | Mouse IgG1 |
| Antibody Type | Primary antibody |
| Storage | Store at 4°C short term. Aliquot and store at -20°C long term. Avoid freeze/thaw cycles. |
| Species Reactivity | Human,Rat |
| Immunogen | Purified recombinant fragment of human HSP27 expressed in E. Coli. |
| Formulation | Purified antibody in PBS with 0.05% sodium azide. |
+ +
以下是3篇关于HSP27抗体的代表性文献概览(虚构示例,仅供格式参考):
---
1. **文献名称**:*HSP27 overexpression promotes cancer cell survival via inhibiting apoptosis in triple-negative breast cancer*
**作者**:Smith J, et al.
**摘要**:研究通过HSP27抗体检测发现,HSP27在三阴性乳腺癌中高表达,并通过抑制线粒体凋亡通路增强肿瘤细胞耐药性,提示其作为治疗靶点的潜力。
2. **文献名称**:*HSP27 phosphorylation status modulates its neuroprotective role in Alzheimer's disease models*
**作者**:Chen L, et al.
**摘要**:利用磷酸化特异性HSP27抗体,揭示HSP27的Ser-15位点磷酸化对tau蛋白聚集的调控作用,为神经退行性疾病机制提供新见解。
3. **文献名称**:*Validation of a novel HSP27 antibody for immunohistochemical diagnosis in prostate cancer*
**作者**:Wang Y, et al.
**摘要**:报道一种高特异性HSP27抗体的开发与验证,证实其在前列腺癌组织中的诊断价值,并与肿瘤侵袭性正相关。
---
**说明**:以上内容为模拟示例,实际文献需通过PubMed/Web of Science等平台检索关键词(如"HSP27 antibody"、"HSPB1 function")获取。推荐结合研究场景筛选实验验证型论文(如WB/IHC应用)或机制研究类文献。
Heat shock protein 27 (HSP27), also known as HSPB1. is a member of the small heat shock protein (sHSP) family. It is a 27 kDa molecular chaperone ubiquitously expressed in eukaryotic cells. HSP27 plays a critical role in cellular stress responses, particularly under conditions like heat shock, oxidative stress, or chemical toxicity. It stabilizes protein folding, prevents aggregation of denatured proteins, and supports cellular survival by inhibiting apoptosis through interactions with key signaling pathways, including the AKT and MAPK pathways. Structurally, HSP27 forms dynamic oligomers, and its function is regulated by phosphorylation, which modulates its chaperone activity and cellular localization.
HSP27 antibodies are essential tools for studying its expression, localization, and functional roles in both physiological and pathological contexts. These antibodies enable detection of HSP27 in techniques such as Western blotting, immunohistochemistry, and immunofluorescence. Research has highlighted HSP27's dual role in cancer—acting as a tumor promoter by enhancing cell survival, metastasis, and therapy resistance, while also exhibiting tumor-suppressive effects in certain contexts. Elevated HSP27 levels are associated with neurodegenerative diseases (e.g., Alzheimer’s), inflammatory disorders, and cardiovascular conditions, making it a biomarker of interest.
The development of HSP27 antibodies has advanced understanding of its therapeutic potential, including targeting HSP27 in cancer treatment or leveraging its protective roles in degenerative diseases. However, its context-dependent functions necessitate careful interpretation of experimental results using validated antibodies to ensure specificity.
×