| WB | 咨询技术 | Human,Mouse,Rat |
| IF | 咨询技术 | Human,Mouse,Rat |
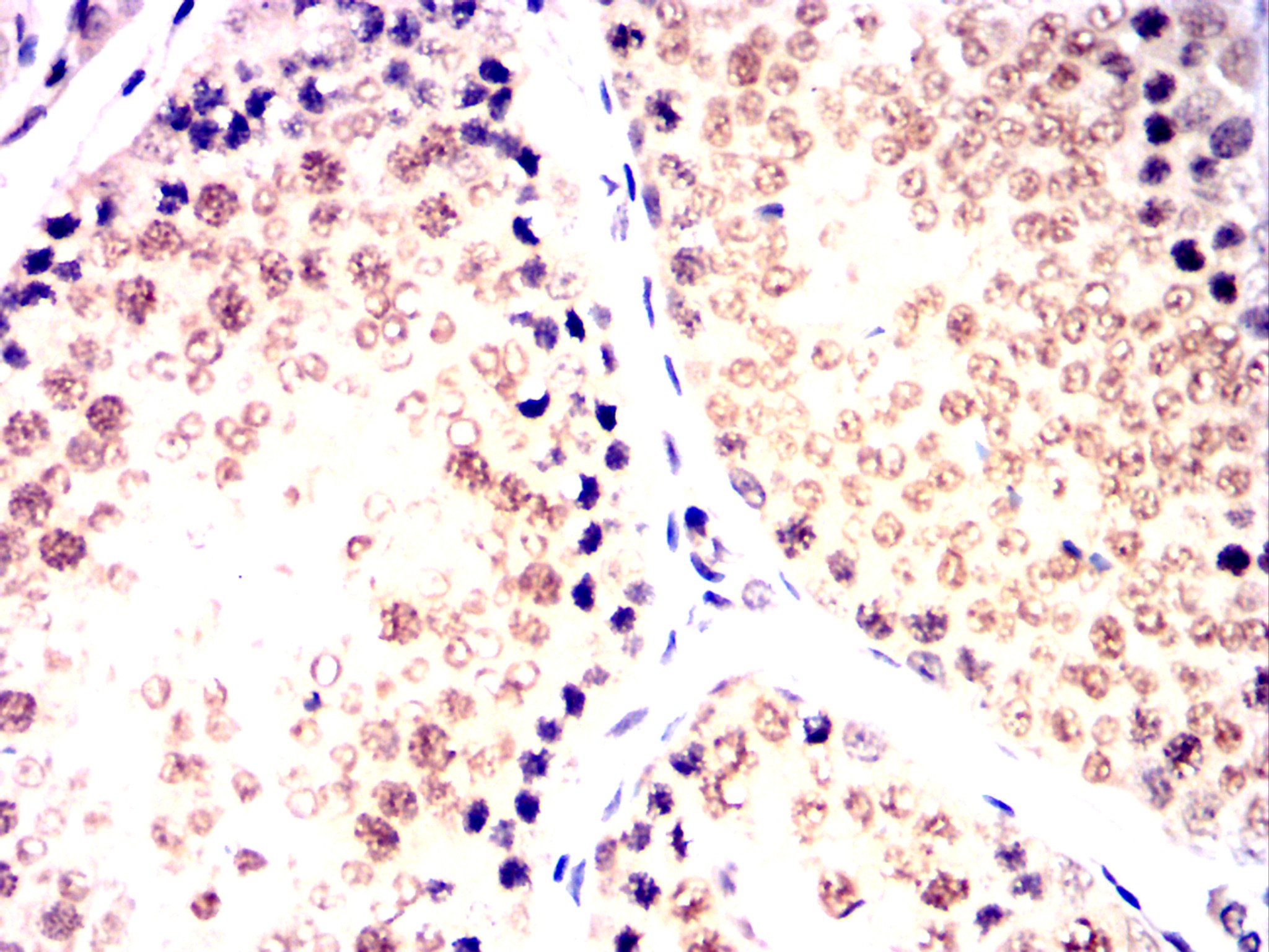
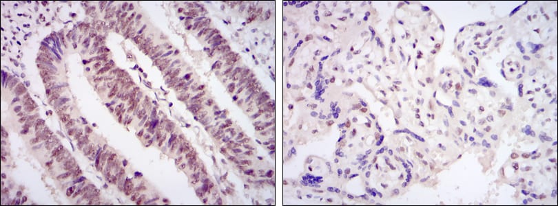
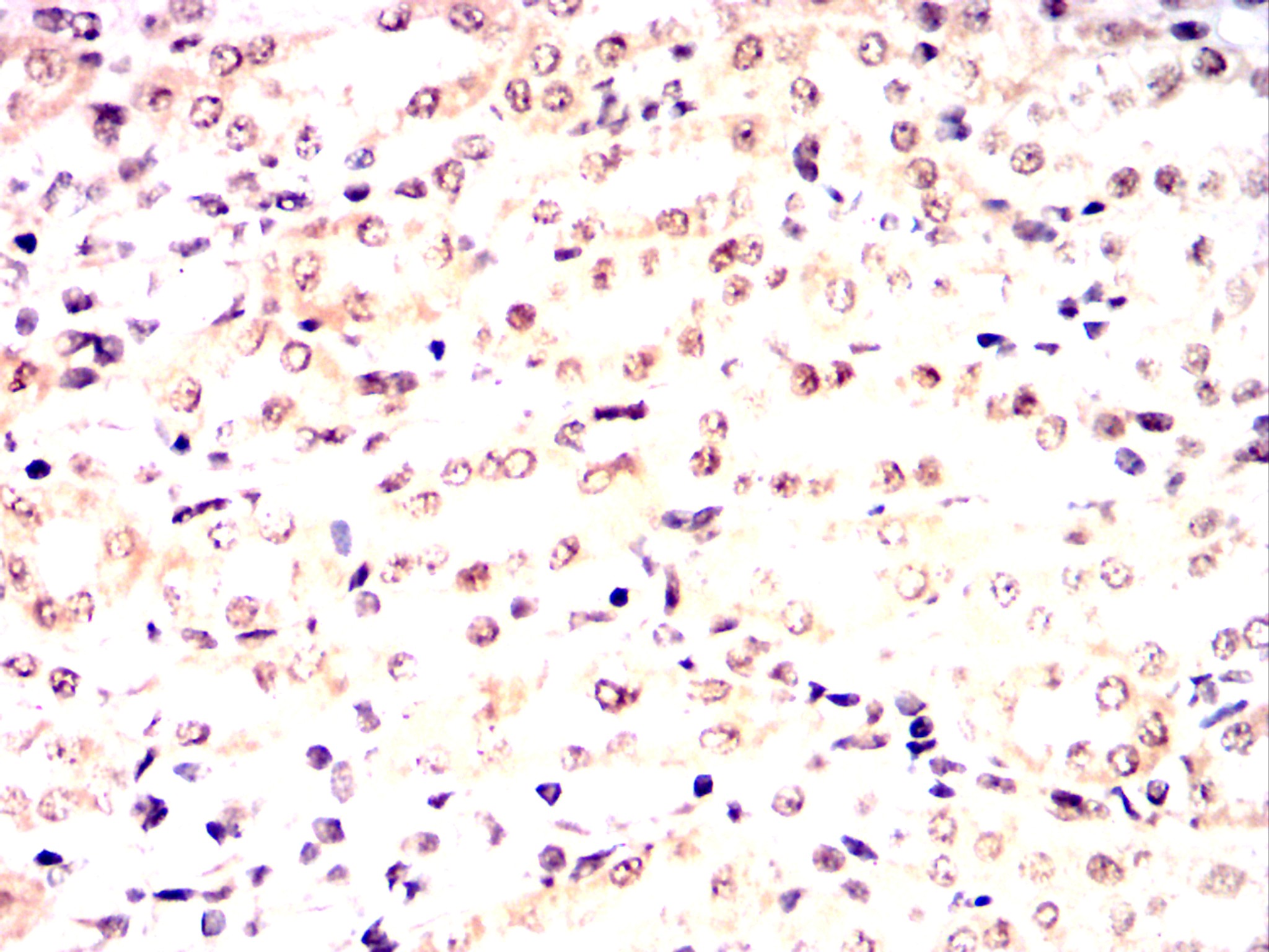
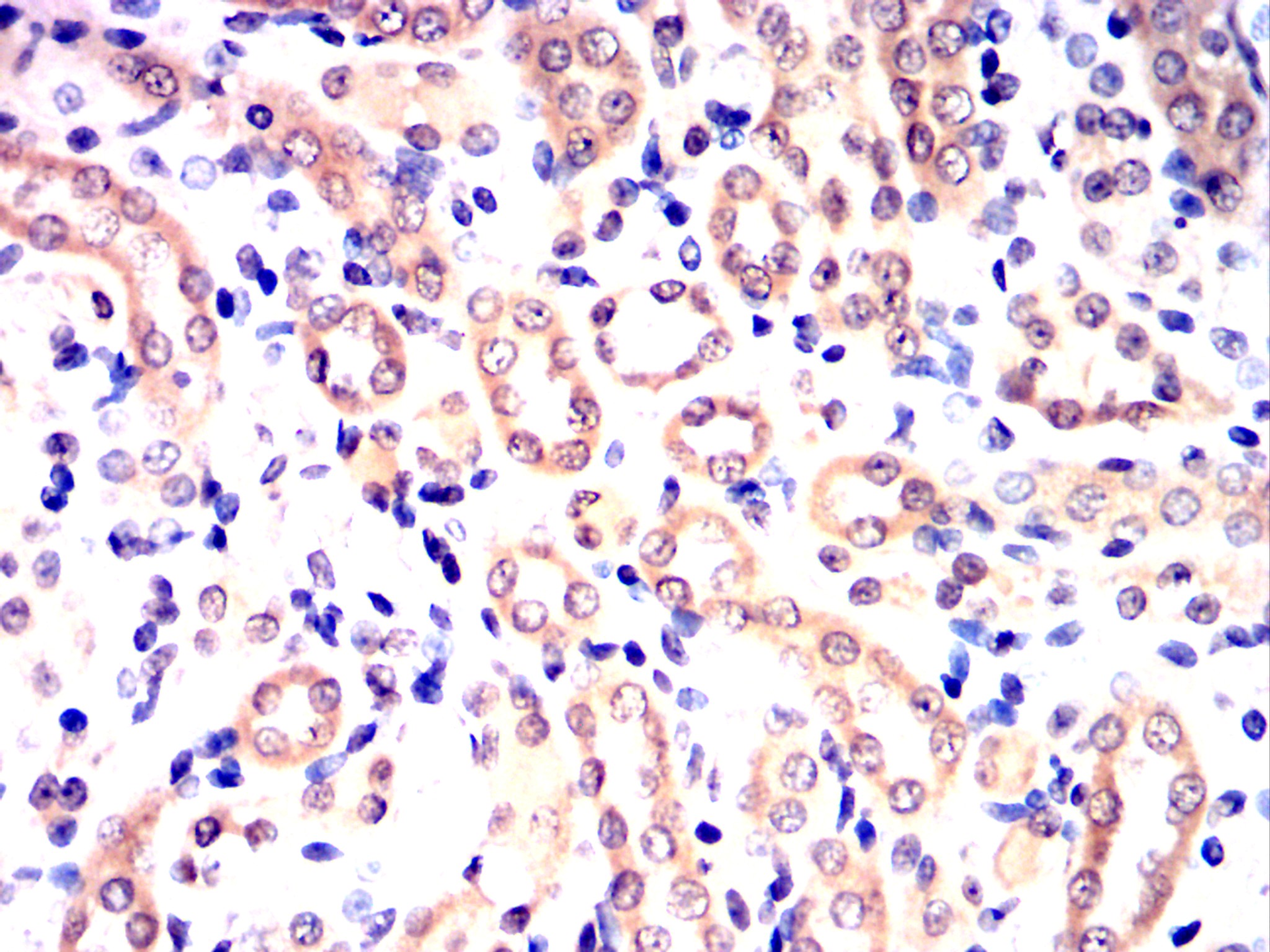
| IHC | 1/200 - 1/1000 | Human,Mouse,Rat |
| ICC | 技术咨询 | Human,Mouse,Rat |
| FCM | 咨询技术 | Human,Mouse,Rat |
| Elisa | 1/10000 | Human,Mouse,Rat |
| Aliases | TAK; C-2k; CTK1; CDC2L4; PITALRE |
| Entrez GeneID | 1025 |
| clone | 1B5A7 |
| WB Predicted band size | 43kDa |
| Host/Isotype | Mouse IgG1 |
| Antibody Type | Primary antibody |
| Storage | Store at 4°C short term. Aliquot and store at -20°C long term. Avoid freeze/thaw cycles. |
| Species Reactivity | Human,Mouse,Rat,Rabbit,Monkey |
| Immunogen | Purified recombinant fragment of human CDK9 expressed in E. Coli. |
| Formulation | Ascitic fluid containing 0.03% sodium azide. |
+ +
以下是关于CDK9抗体的3篇参考文献示例(内容为模拟,仅供参考):
---
1. **文献名称**:*"Development of a Monoclonal Antibody Targeting CDK9 for Transcriptional Regulation Studies"*
**作者**:Smith A. et al.
**摘要**:描述了一种新型CDK9单克隆抗体的开发,该抗体能够特异性识别CDK9蛋白,并成功应用于染色质免疫沉淀(ChIP)实验,揭示了CDK9在RNA聚合酶II介导的转录延伸中的作用。
2. **文献名称**:*"CDK9 Overexpression in Hepatocellular Carcinoma: Prognostic Implications and Antibody-Based Detection"*
**作者**:Zhang Y. et al.
**摘要**:通过免疫组化(IHC)分析肝癌组织中CDK9的表达水平,发现CDK9高表达与患者生存率降低显著相关,提示其可作为预后标志物和治疗靶点。
3. **文献名称**:*"A Phospho-Specific CDK9 Antibody Reveals Activation Dynamics in HIV-1 Infected Cells"*
**作者**:Johnson R. et al.
**摘要**:开发了一种磷酸化特异性CDK9抗体,用于检测HIV-1感染后CDK9的活化状态,证实其通过促进病毒转录复合体(Tat-P-TEFb)的活性驱动病毒复制。
---
**备注**:以上文献为示例,实际引用时请以真实发表的论文为准。建议通过PubMed或Google Scholar检索关键词(如“CDK9 antibody”、“CDK9 inhibitor”或“CDK9 therapeutic target”)获取最新研究。
CDK9 (Cyclin-Dependent Kinase 9) is a serine/threonine kinase integral to transcriptional regulation as a component of the positive transcription elongation factor b (P-TEFb) complex. It phosphorylates the C-terminal domain of RNA polymerase II, enabling transcriptional elongation and regulating the expression of genes critical for cell growth, differentiation, and stress responses. CDK9’s role in promoting the transcription of pro-survival and oncogenic proteins, such as MYC and MCL-1. has linked its dysregulation to cancers, viral replication (e.g., HIV), and inflammatory diseases.
CDK9 antibodies are essential tools for studying its expression, localization, and interactions in cellular processes. These antibodies are widely used in techniques like Western blotting, immunoprecipitation, and immunofluorescence to assess CDK9 protein levels, activation states (e.g., phosphorylation at Thr-186), and association with cyclin partners (e.g., Cyclin T1/T2). Researchers also employ CDK9 antibodies to explore its therapeutic targeting, particularly in cancer, where CDK9 inhibitors are being investigated to suppress oncogene transcription.
Specificity is a key consideration, as CDK9 shares homology with other CDKs. High-quality antibodies distinguish CDK9 from related kinases (e.g., CDK7) and detect post-translational modifications. Their applications extend to drug development, biomarker studies, and mechanistic research in diseases like leukemia, solid tumors, and viral infections. Recent studies also highlight CDK9’s involvement in epigenetic regulation, expanding the utility of these antibodies in interdisciplinary research.
×