首页 / 产品 / 抗体 / 一抗

Mouse Monoclonal PODXL Antibody

  • 中文名: PODXL抗体
  • 别    名: PC; PCLP; Gp200; PCLP-1; MGC138240
货号: IPD30206
Price: ¥1280
数量:
大包装询价

验证与应用

应用及物种
WB 咨询技术 Human,Mouse,Rat
IF 咨询技术 Human,Mouse,Rat
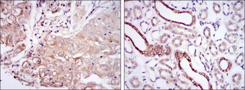
IHC 1/200 - 1/1000 Human,Mouse,Rat
ICC 技术咨询 Human,Mouse,Rat
FCM 1/200 - 1/400 Human,Mouse,Rat
Elisa 1/10000 Human,Mouse,Rat

产品详情

AliasesPC; PCLP; Gp200; PCLP-1; MGC138240
Entrez GeneID5420
clone5F5
WB Predicted band size49kDa
Host/IsotypeMouse IgG1
Antibody TypePrimary antibody
StorageStore at 4°C short term. Aliquot and store at -20°C long term. Avoid freeze/thaw cycles.
Species ReactivityHuman
ImmunogenPurified recombinant fragment of human PODXL expressed in E. Coli.  
FormulationAscitic fluid containing 0.03% sodium azide.

+ +

参考文献

以下是关于PODXL抗体的3篇代表性文献摘要(内容经简化整理):

1. **《Podocalyxin is a marker of poor prognosis in renal cell carcinoma》**

- **作者**: Kristiansen G 等(2011)

- **摘要**: 研究通过免疫组化分析肾细胞癌中PODXL的表达,发现其过表达与肿瘤侵袭性增强及患者总生存期缩短显著相关,提示PODXL可作为预后生物标志物。

2. **《Comparative assessment of novel podocalyxin antibodies in normal and neoplastic human tissues》**

- **作者**: Sizemore S 等(2018)

- **摘要**: 对比多种PODXL抗体的特异性及灵敏度,验证其在正常组织(如肾脏)和多种癌症(如乳腺癌、结肠癌)中的染色一致性,为临床检测提供抗体选择依据。

3. **《Targeting podocalyxin with a monoclonal antibody inhibits tumor growth and metastasis in human ovarian cancer》**

- **作者**: Casey G 等(2016)

- **摘要**: 开发靶向PODXL的单克隆抗体,体外实验显示其能抑制卵巢癌细胞迁移和侵袭,动物模型中显著减少肿瘤转移,提示其治疗潜力。

4. **《Podocalyxin promotes pancreatic cancer progression through EMT and Wnt/β-catenin signaling》**

- **作者**: Hong Y 等(2020)

- **摘要**: 揭示PODXL通过激活上皮间质转化(EMT)和Wnt/β-catenin通路促进胰腺癌细胞侵袭和转移,为靶向干预提供机制依据。

(注:以上信息为简化概括,具体研究细节需查阅原文。)

背景信息

Podocalyxin (PODXL) is a transmembrane glycoprotein belonging to the CD34 family of cell surface sialomucins. Initially identified in kidney podocytes, it plays a critical role in maintaining cell polarity, adhesion, and filtration functions. Structurally, PODXL consists of a heavily glycosylated extracellular domain, a single transmembrane region, and a cytoplasmic tail that interacts with cytoskeletal linkers like ezrin and NHERF1. Its expression is not limited to podocytes; it is also found in vascular endothelia, hematopoietic progenitors, and certain epithelial tissues.

In cancer biology, PODXL has emerged as a biomarker of interest due to its overexpression in aggressive malignancies, including carcinomas of the kidney, breast, pancreas, and colorectum. Elevated PODXL levels correlate with enhanced tumor cell invasiveness, metastasis, and poor clinical outcomes, likely mediated through its role in disrupting cell-cell adhesion, promoting epithelial-mesenchymal transition (EMT), and modulating signaling pathways like PI3K/Akt.

PODXL-specific antibodies are widely used in research and diagnostics to assess expression patterns in tissues or cell lines. These antibodies aid in studying its functional roles in development and disease, validating its prognostic significance, and exploring its potential as a therapeutic target. Recent efforts focus on developing anti-PODXL therapies, such as antibody-drug conjugates or immunotherapies, to exploit its tumor-specific expression. However, its dual roles in normal physiology and pathology necessitate careful evaluation of targeting strategies to minimize off-target effects.

客户数据及评论

折叠内容

大包装询价

×