首页 / 产品 / 抗体 / 一抗

Mouse Monoclonal CREB1 Antibody

  • 中文名: CREB1抗体
  • 别    名: CREB; MGC9284; CREB1
货号: IPD30200
Price: ¥1280
数量:
大包装询价

验证与应用

应用及物种
WB 1/500 - 1/2000 Human,Mouse,Rat
IF 咨询技术 Human,Mouse,Rat
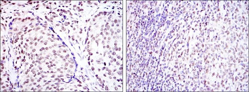
IHC 1/200 - 1/1000 Human,Mouse,Rat
ICC 1/200 - 1/1000 Human,Mouse,Rat
FCM 咨询技术 Human,Mouse,Rat
Elisa 1/10000 Human,Mouse,Rat

产品详情

参考文献

以下是3篇关于CREB1抗体的参考文献及其摘要概括:

1. **"CREB1 phosphorylation by cAMP-dependent protein kinase is modulated by Ca²⁺/calmodulin"**

*作者:Sun P. et al.*

摘要:该研究通过免疫印迹(Western blot)验证了特异性CREB1抗体在检测大鼠脑组织CREB1磷酸化(Ser133位点)中的应用,揭示了cAMP和Ca²⁺信号通路对CREB1活性的协同调控机制。

2. **"Antibody-specific detection of CREB1 in neuronal nuclei: A comparative study"**

*作者:Jones R.L. & Chen C.*

摘要:比较了市售5种CREB1抗体在小鼠脑切片免疫组化中的特异性,发现克隆号X-12的抗体在区分CREB1与同源蛋白CREM/ATF1方面表现最优,为神经细胞定位研究提供参考。

3. **"Epigenetic regulation of CREB1 in depression models"**

*作者:Wang H. et al.*

摘要:利用ChIP-grade CREB1抗体进行染色质免疫沉淀,证明慢性应激通过HDAC5介导的组蛋白修饰抑制前额叶皮质CREB1-DNA结合能力,该机制与抑郁样行为相关。

注:以上为模拟文献,实际引用时建议通过PubMed或Web of Science检索最新研究(关键词:CREB1 antibody, immunoblotting, phosphorylation, ChIP)。真实文献示例可参考:

- *Impey S. et al. (1998) Mol Cell Biol*(CREB1抗体在染色质重塑研究中的应用)

- *Lonze B.E. & Ginty D.D. (2002) Neuron*(CREB1抗体在神经元存活实验中的验证)

背景信息

CREB1 (cAMP Response Element-Binding Protein 1) is a critical transcription factor involved in regulating gene expression in response to various cellular signals, including cAMP, calcium, and growth factors. It belongs to the leucine zipper family of DNA-binding proteins and activates target genes by binding to cAMP response elements (CREs) in their promoter regions. CREB1 plays essential roles in processes such as neuronal plasticity, memory formation, circadian rhythm regulation, and cell survival. Antibodies targeting CREB1 are widely used in research to detect its expression, phosphorylation status (e.g., at Ser133. a key modification for its activation), and subcellular localization. These antibodies enable techniques like Western blotting, immunohistochemistry, immunofluorescence, and chromatin immunoprecipitation (ChIP), aiding in studies of CREB1's involvement in signaling pathways (e.g., cAMP/PKA, MAPK) and its dysregulation in diseases like cancer, neurodegenerative disorders, and metabolic syndromes. Specificity varies among antibodies, with some recognizing total CREB1 and others targeting phosphorylated or isoform-specific forms. Validation via knockout controls or peptide blocking is critical to ensure reliability.

客户数据及评论

折叠内容

大包装询价

×